Brand: 3Shape, LYRA Etk
Material: zirconia
Technique: tissue regeneration
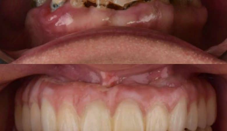
Single tooth replacement: implant placement + iphysio (healing abutment, profile designer, scanbody ) + CTG; no provisional crown placement in posterior area; full digital workflow. …
Brand: neodent
Material: zirconia
Technique: Socket Shield
Below is a case of full arch same day temporization using the socket shield , root submergence and pontic shield techniques to preserve the site architecture . Neodent GM implants were placed in a guided fashion and same day temporization…
Material: Bio-Oss, Bio-Gide
Technique: Sinus Lift, Horizontal GBR
In female patient 51 years old, ASA 1 with tetracycline teeth pigmentation, 1.5 implant placement with simultaneous lateral sinus lift and horizontal bone regeneration sausage technique. At the same time 2.4 implant placement. Dott. Luca Corneli www.studiocorneli.com…
Material: zirconia
Technique: tooth preparation
Material: all-ceramic
Technique: esthetic prosthesis
Here we had a scan that didn’t capture the margin correctly – so we had to ditch our own dies (digitally). First we captured all the visible margins in exocad. After evaluation we found some margins were still unclear and…
Material: composite resin
Technique: removable implant-supported prosthesis
Brand: Anthogyr, Acteon, Satelec
Material: L-PRF BLOCK
Technique: Horizontal GBR, Sinus Lift, tissue regeneration
Olá colegas, aqui está um caso didático de reconstrução óssea total da maxila, levantamento do seio maxilar bilateral e bloqueio espesso com aplicação do conceito de PRF e Biotensigrity. SEM tela, SEM parafusos, SEM membranas de colágeno. Substitua apenas osso…
Material: Zirconium bridge
Technique: Fixed upper full implant supported bridge on 6 implantsbridge
Material: all-ceramic
Technique: Computer-guided implantology
full mouth rehabilitation by implant…
Material: L-PRF BLOCK, COPIOS, EXACONE
Technique: Socket preservation, immediate loading implants
La pz N.G. di anni 52 (ASA 1) viene visitata nel mese di settembre 2017 per la mobilità ed inestetismo dell’elemento protesico 22, (foto iniziali sequenza 1) si evidenzia una frattura parziale della radice, si decide per l’estrazione (…