Brand: SHOFU composite, Bisco, Lithium disilcate restoration
Material: Bisco Bonding agent, 37% acid etch, Sailain coupling agent from bisco, Shofu Beautifil, 9.5% hydrofloric acid etch from bisco
Technique: conservative dentistry
Upper right first and second premolars Were badly decayed Upon examination I decided to go for indirect lithium disilicate restorations Rubber dam isolation is mandatory in such cases Caries removal with aid of caries detector dye Deep margin elevation using…
Brand: Estelite Universal Flow Tokuyama, OptiBond, Ivoclar composite, Nictone Rubberdam
Material: 37% acid etch, OptiBond fl (primer + adhesive), Estelite Universal Flow, Tokuyama universal bond
Technique: IDS, modern adhesive dentistry
1. Initial Situation and Isolation The case started with old, stained composite fillings that had lost their integrity. I carefully removed them using a set of diamond burs in various shapes to ensure clean and conservative preparation. A rubber dam…
Brand: Emax
Material: Bisco Bonding agent, 37% acid etch from disco, Supercem resin cement, 9.5% hydrofluoric acid etch from bisco, Sailain coupling agent from bisco
Technique: Lithium disilicate Endocrown
This patient referred to me after doing RCT to make prosthetic crown to strengthening the tooth and ensuring the longevity of the tooth. we decided to make a minimal invasive prosthesis like Endocrown. we selecte lithium disilicate material and self-adhesive…
Brand: Tokuyama omnichroma, Tokuyama composite anterior
Material: Direct Composite
Technique: palatal index technique, Biomimetic approach, Biomimetic approach stressreduced direct restoration, Direct Anterior Restoration
Emergency case came with fractured upper right central and lateral, luckily the patient kept the fragments.…
Brand: G-aenail composite posterior (GC), G-aenial composite from GC, Emax, Ever X Posterior, Ribbond, E.max Overlay, Indirect overlay, Lithium disilcate overlay for enamel replacement
Material: Reel garrison matrix
Technique: Biomimetic stress reduced direct restoration, Direct composite, Marginal elevation with Composite up technique, Deep margin elevation
Quadrant renovation UR4 direct composite UR5 overlay emax UR 6 full coverage emax UR 7 overlay emax…
Material: zirconia
Technique: Biomimetic approach
“Restoring function and aesthetics with precision! This case showcases the step-by-step rehabilitation of a severely damaged second premolar using a minimally invasive adhesive approach. From initial decay removal to fiber-reinforced restoration, preparation and final restoration with crown, every detail was…
Brand: E.max Overlay
Material: Ever x flow as dentin replacement
Technique: Biomimetic approach
REPLACING A FAILED ENDOCROWN DESIGN WITH OVERLAY PREP UNDER THE MICROSCOPE…
Brand: Qlone Dental Pro 3D Scanner
Material: 3D Model
Technique: 3D Scanning, CAD/CAM, Digital planning
3D face scanners are now part of the digital dental workflow. The technology uses optical scanning to digitally capture and create a rich 3D data representation of a person’s face. The data can be used for various analyses including…
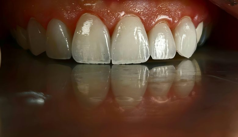
Brand: Emax
Material: Emax
Technique: Anterior Restoration
Rehabilitation for 6 Anterior teeth by Dr Eslam Azmy, Dr Talaat Salah and Dr Mohamed Adel . Treatment Plan was restorations , old crowns changing , esthetic crown lengthening and mixture of lithium…
Brand: Kuraray, Gc, Itena
Material: Clearfil SE bond , Ever X posterior, NeoSEALER Flo from AVALON
Technique: modern adhesive dentistry