One-Year Follow-Up: Re-Endodontic Management with Deep Margin Elevation and Full Adhesive Rehabilitation of Mandibular First Molar
Author: Dr. Hamza Zahid
Clinic: Dr. Hamza Dental Center – Lahore, Pakistan
Discipline: Endodontics | Restorative Dentistry | Adhesive Rehabilitation
Tooth: #46 (Lower Right First Molar)
Follow-up: 1 Year
Abstract
This case report demonstrates the retreatment of a previously failed endodontic therapy in a mandibular first molar associated with periapical pathology and inadequate coronal seal. A biomimetic restorative approach was planned following disinfection, incorporating Deep Margin Elevation (DME) prior to final adhesive rehabilitation and full-coverage zirconia restoration. The case highlights the importance of coronal seal, rubber dam isolation, conservative retreatment, and adhesive restorative protocols to ensure long-term biological and functional success.
Chief Complaint
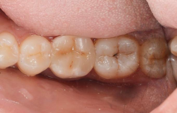
The patient presented with mild discomfort during mastication and reported sensitivity and food lodgement around a previously treated lower right molar.
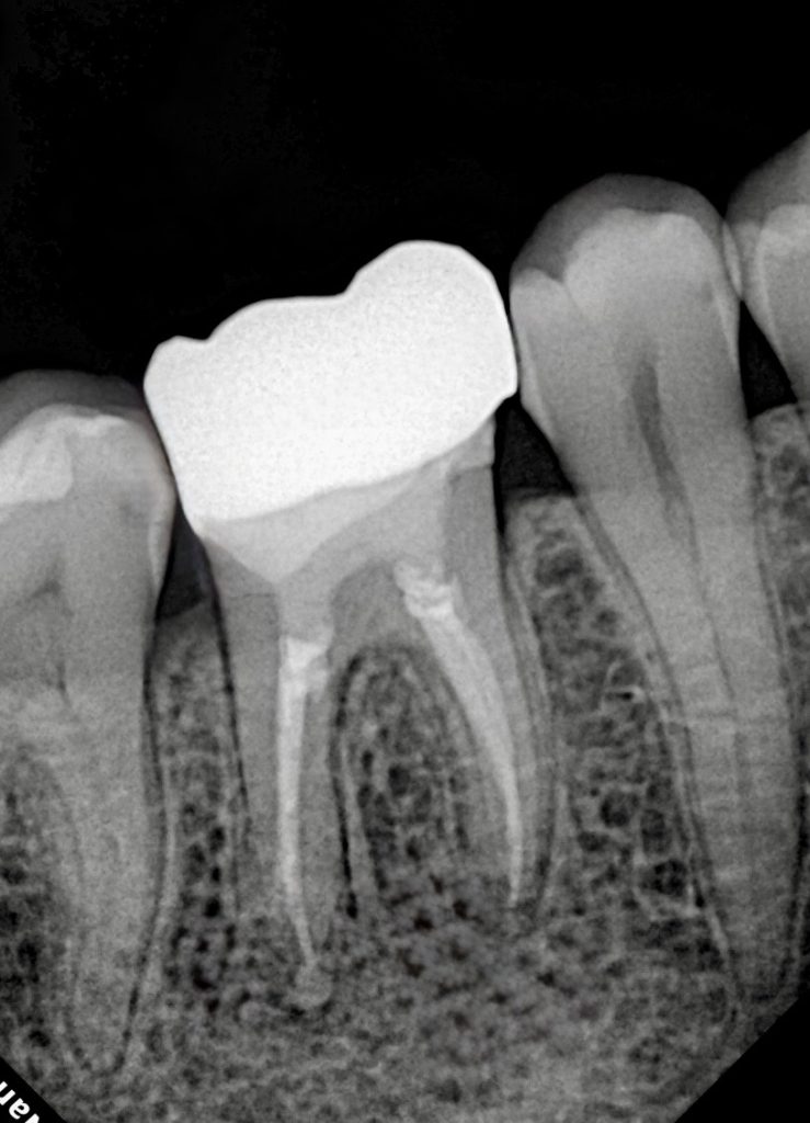
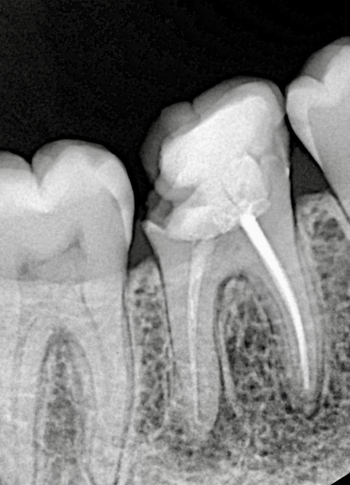
Clinical and Radiographic Findings
- Inadequate root canal obturation with voids.
- Missed canal anatomy suspected.
- Overhanging proximal restoration and subgingival distal margin.
- Associated periapical radiolucency.
- Compromised coronal seal.
- Thick secondary dentin and occlusal attrition pattern.
Diagnosis
Previously Treated Tooth with Symptomatic Apical Periodontitis (#46)
Treatment Objectives
- Remove previous endodontic filling and disinfect canal space.
- Locate and manage full canal system.
- Restore distal subgingival margin using Deep Margin Elevation (DME).
- Preserve remaining sound tooth structure using biomimetic approach.
- Provide long-term coronal protection with monolithic zirconia crown.
Treatment Protocol
Endodontic Retreatment
- Rubber dam isolation applied throughout the procedure.
- Existing composite removed; defective margins corrected.
- Previous root filling material removed using rotary retreatment files and solvents.
- Working length established using electronic apex locator.
- Full irrigation protocol activated using:
- 5.25% NaOCl (heated)
- 17% EDTA
- Ultrasonic activation
- Apical patency regained and canal shaping completed using reciprocating NiTi files.
- Canals obturated using warm vertical compaction and bioceramic sealer to optimise apical seal.
- Immediate coronal seal placed post-obturation to prevent reinfection.
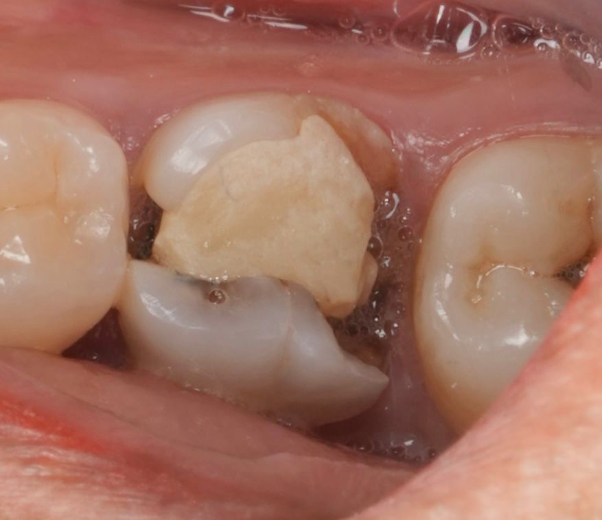
Deep Margin Elevation (DME)
- Distal subgingival margin elevated using flowable resin (GC EverX Flow / Equivalent).
- Garrison sectional matrix used to ensure tight proximal contact and emergence profile.
- Adhesive protocol respected to optimise bond.
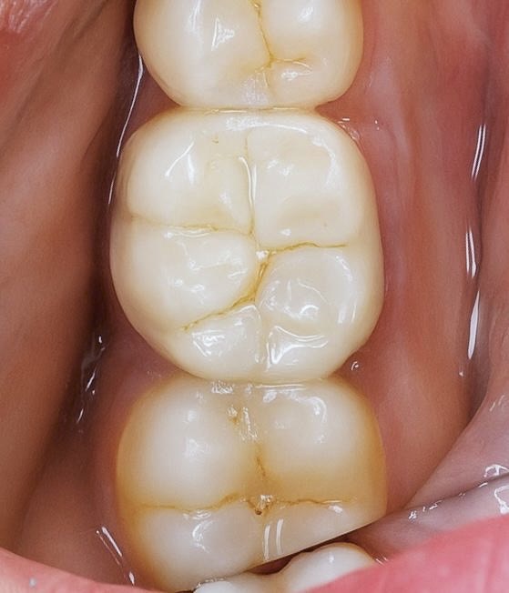
Definitive Restoration
- Core build-up completed using dual-cure composite core material.
- Tooth prepared conservatively for full coverage.
- Definitive crown fabricated in monolithic zirconia for strength and longevity.
- Bonded with resin cement under isolation.
- Occlusion refined to preserve functional harmony.
Follow-Up – 1 Year
- Radiographic healing observed – periapical lesion resolved.
- Surrounding bone density improved.
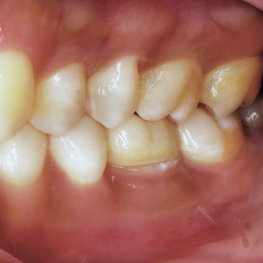
- Soft tissue response healthy and stable.
- Patient asymptomatic, full function restored.
- Restoration clinically intact with excellent marginal integrity.
Discussion
This case underscores the significance of disinfection, coronal seal, and adhesive principles in the long-term success of endodontic retreatment. Use of Deep Margin Elevation avoided unnecessary crown lengthening or surgical intervention, maintaining tissue health. Immediate post-endodontic build-up reduced contamination risk, while zirconia ensured strength under high occlusal forces typical of mandibular molars.
Conclusion
A multidisciplinary adhesive-restorative approach combined with meticulous retreatment protocols achieved successful healing. Proper diagnosis, isolation, and biomimetic execution are essential for predictable outcomes in complex re-endodontic cases.
✅ Clinical Bibliography
- Ng Y-L, Mann V, Gulabivala K. “Outcome of secondary root canal treatment: a systematic review of the literature.” International Endodontic Journal. 2008;41(12):1026–1046.
➤ Supports: Success rate of re-endo cases and importance of infection control.
- Dietschi D, Spreafico R. “Current clinical concepts for adhesive cementation of tooth-colored posterior restorations.” Practical Periodontics and Aesthetic Dentistry. 1998;10(1):47–54.
➤ Supports: Adhesive principles for posterior bonded restorations, related to DME and composite build-up.
- Roggendorf MJ, Krämer N, Appelt A, Naumann M, Frankenberger R. “Marginal quality of flowable 4-mm base vs. conventionally layered resin composite.” Journal of Dentistry. 2011;39(10):643–647.
➤ Supports: Use of flowable base composite like GC everX Flow under DME to improve sealing.
- Magni E, Ferrari M, Hickel R, Ilie N. “Evaluation of the adhesive interface with scanning electron microscopy and microtensile bond strength test after Deep Margin Elevation.” Journal of Adhesive Dentistry. 2012;14(1):1–9.
➤ Supports: Evidence and validation of Deep Margin Elevation as a reliable alternative to surgical crown lengthening
Share on: