Smile Enhancement Using E-max Veneers: Precision Adhesion for Predictable Esthetics
Abstract (≈480 characters)
This clinical case demonstrates a full smile transformation through lithium-disilicate (E-max) veneers, emphasizing a conservative. Careful digital planning, enamel preservation, and strict adhesive protocols resulted in optimal color integration, surface texture, and functional balance. The workflow highlights precision, predictability, and long-term stability through biomimetic principles.
Author CV
Dr Hamza Zahid, BDS
Microscopic Restorative & Cosmetic Dentist
CEO – Dr Hamza Dental Center, Lahore (Pakistan)
Expertise – Microscope Dentistry | Adhesive Veneers | Smile Rehabilitation | Biomimetic Esthetics
Clinical Overview
1️⃣ Diagnosis and Case Planning
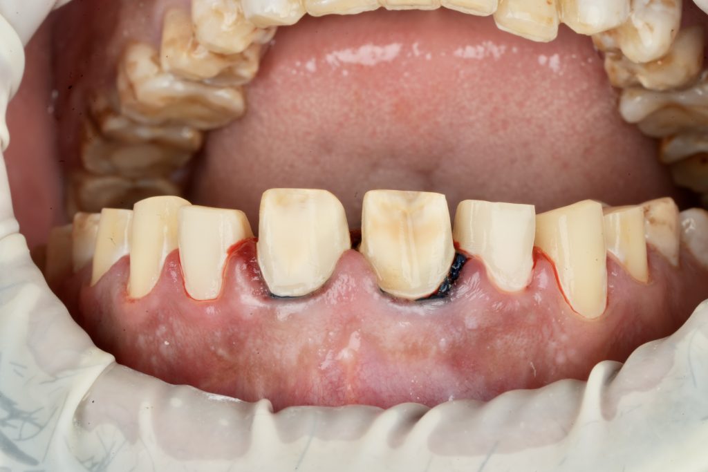
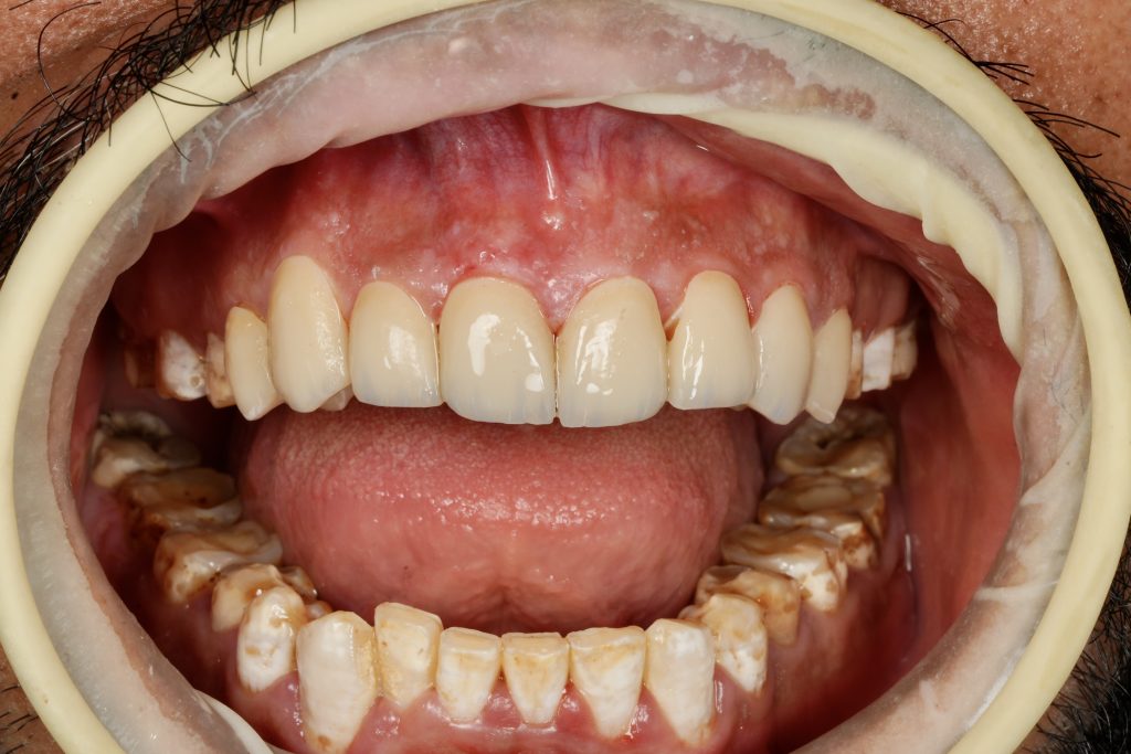
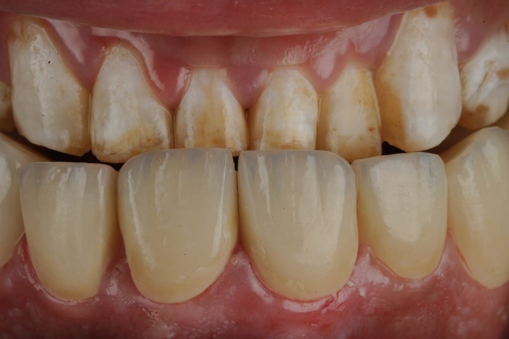
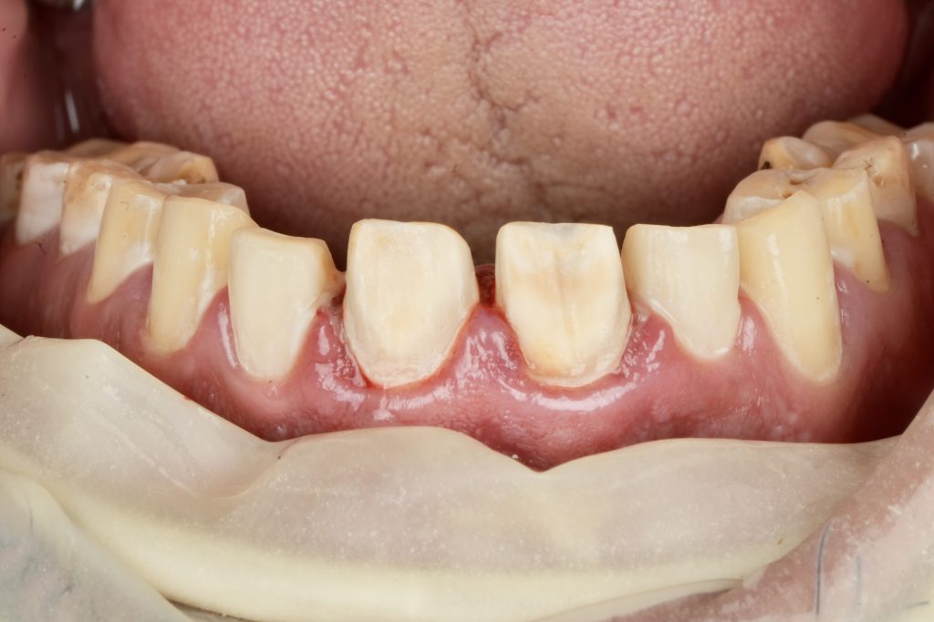
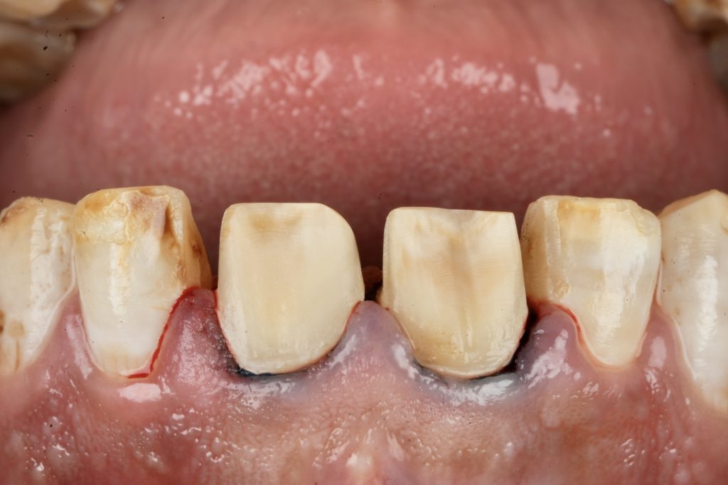
The patient sought esthetic improvement for uneven incisal edges, discolored anterior teeth, and disproportionate gingival display (Fig 1). A digital smile simulation and mock-up try-in were performed to assess tooth proportion, midline alignment, and incisal curvature. The plan prioritized enamel conservation and optical harmony.
2️⃣ Guided Tooth Reduction
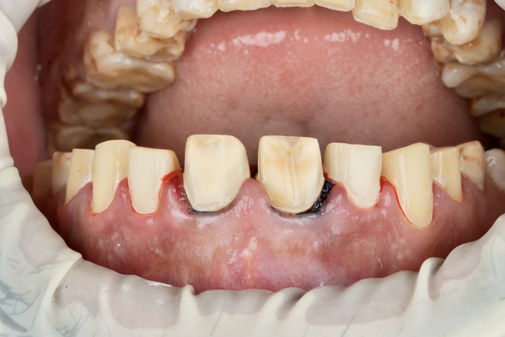
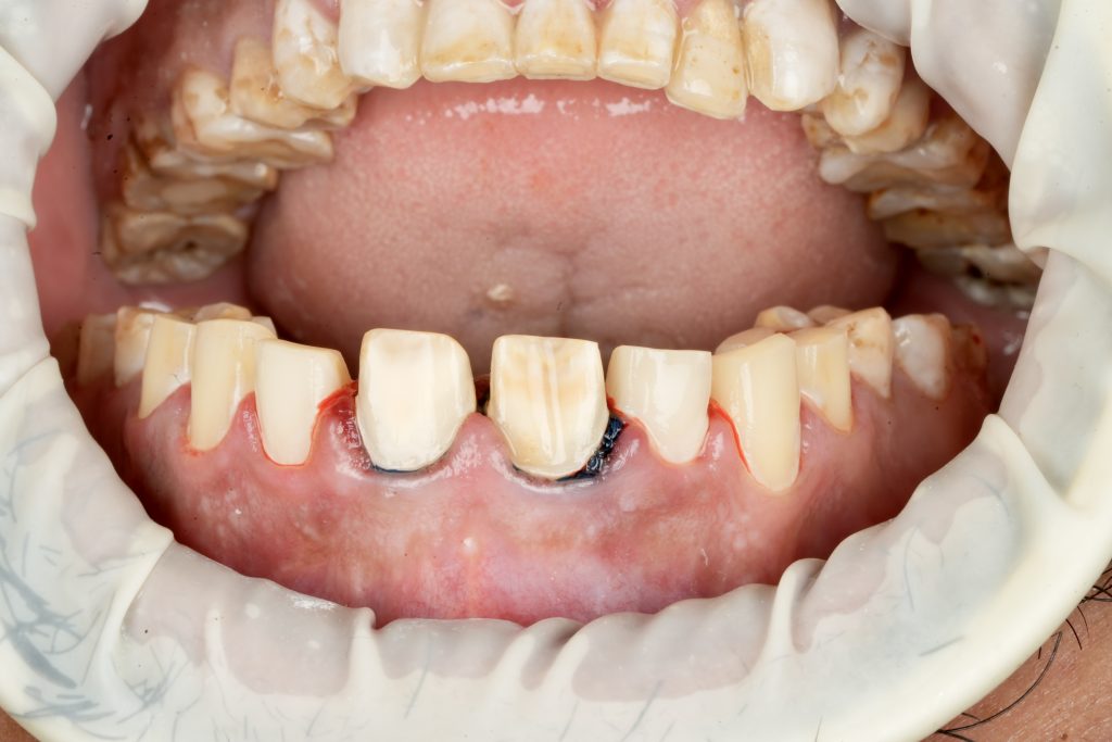
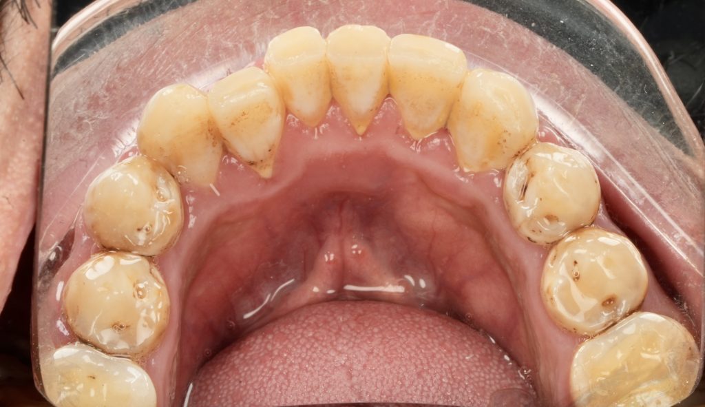
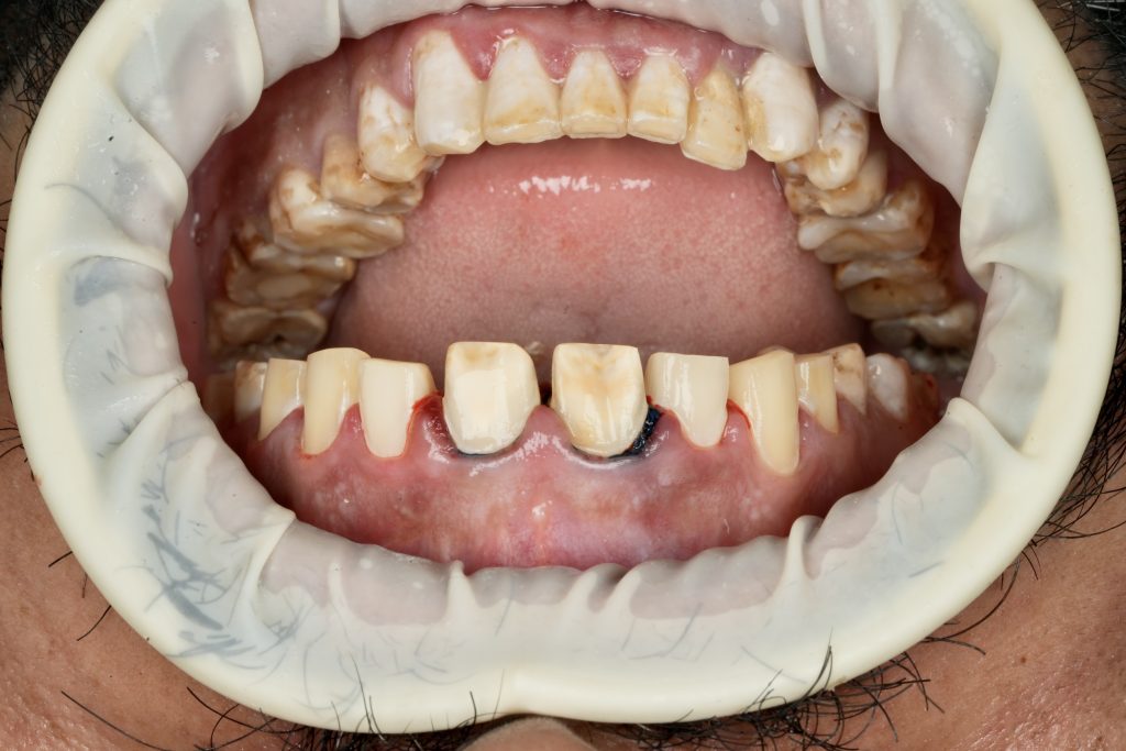
Using silicone indexes derived from the mock-up, controlled minimal-thickness veneer preparations (0.3–0.5 mm) were carried out under microscope magnification to ensure uniform reduction and margin clarity (Fig 2). Finish lines were placed juxta-gingivally with soft-tissue protection using Teflon and double-cord isolation.
3️⃣ Color Communication and Impression Stage
Chromatic mapping of each tooth was recorded under cross-polarized lighting. Final impressions were taken with A-silicone material (DMG Honigum/3M Express) ensuring detail accuracy. Provisional veneers based on the mock-up maintained tissue stability and esthetic continuity during lab fabrication.
4️⃣ Laboratory Fabrication
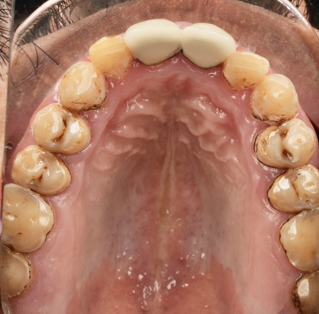
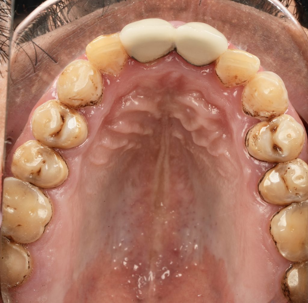
IPS E-max Press veneers were pressed and characterized using micro-layered incisal ceramics for vitality and translucency. Surface texture and internal effects were customized to simulate natural perikymata and halo zones (Fig 3).
5️⃣ Adhesive Protocol and Bonding
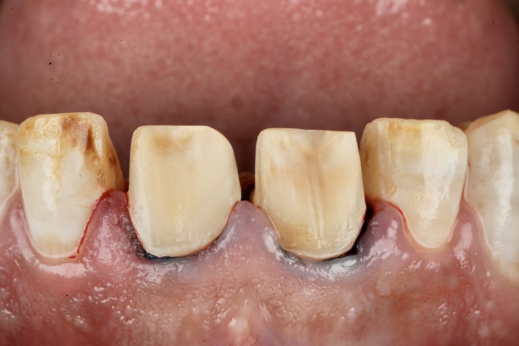
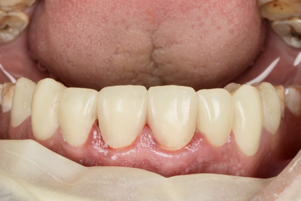
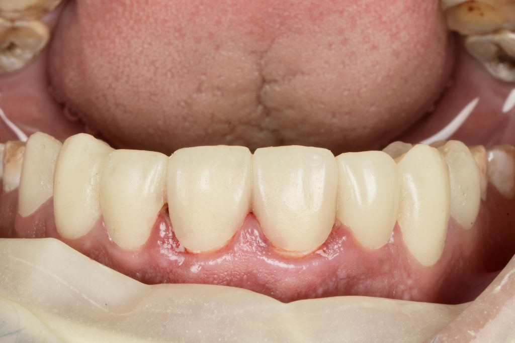
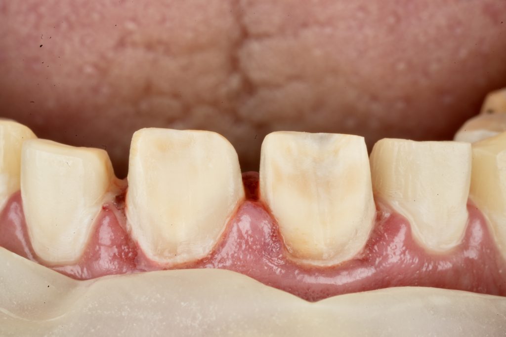
Each veneer was etched with 9 % HF acid for 20 seconds, silanated, and dried. Teeth were treated with 37 % phosphoric acid and universal adhesive (Clearfil Universal Bond Quick). Light-cure resin cement (Variolink Esthetic LC) was applied under full-arch rubber-dam isolation. Excess cement was removed and polymerization performed for 40 s per surface (Fig 4).
6️⃣ Finishing, Texture & Integration
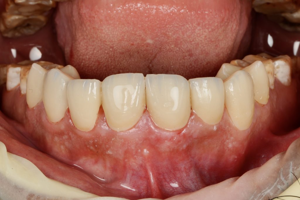
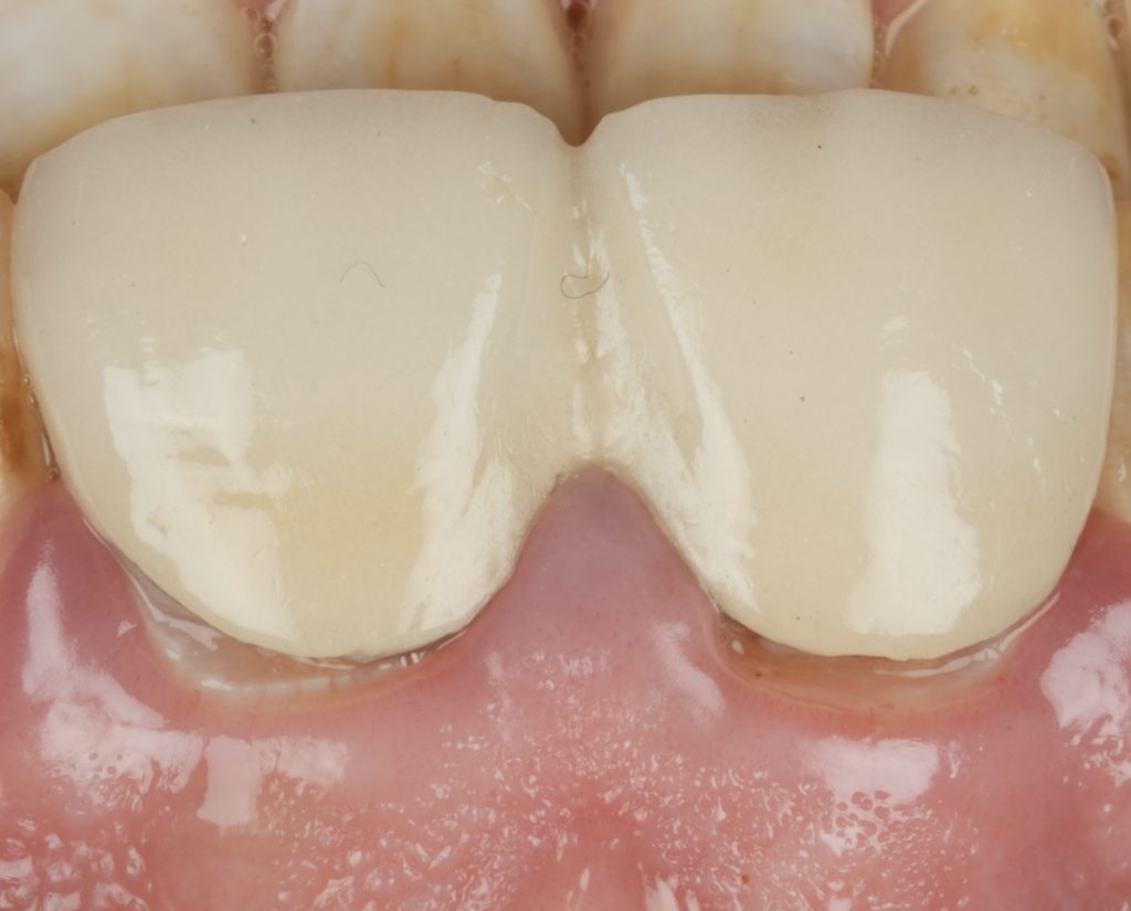
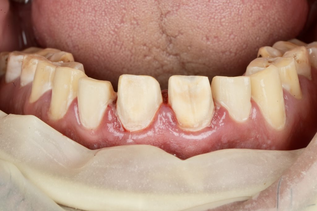
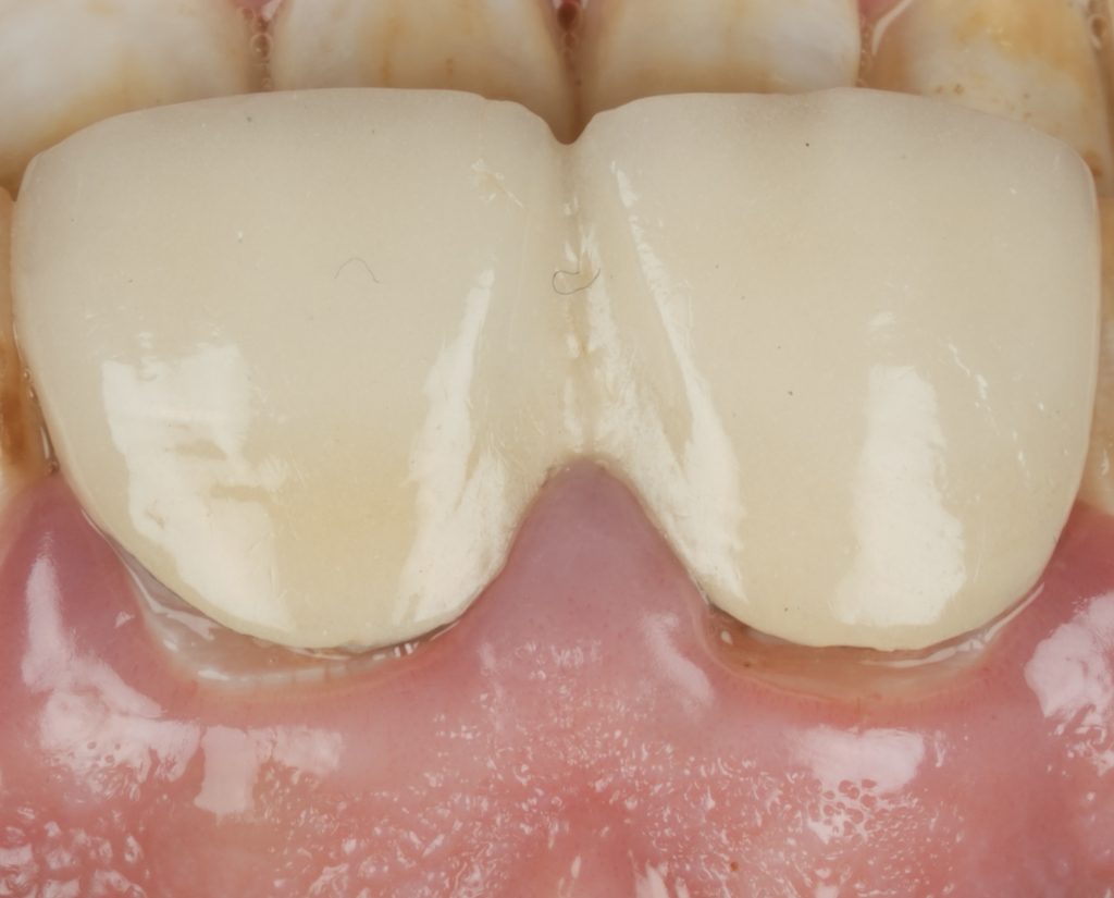
Margins were refined using fine diamond strips, and surface gloss was enhanced with a multi-step polishing system (Shofu OneGloss + OptraPol Next Gen). Post-operative evaluation showed ideal incisal translucency, line-angle symmetry, and gingival health (Fig 5 & 6).
Final Evaluation
The microscope-guided adhesive workflow delivered lifelike esthetics with optimal functional guidance. The combination of controlled preparation, precision bonding, and lithium-disilicate ceramics resulted in a durable, retrievable, and biomimetic outcome.
Bibliographic References
- Magne P, Belser UC. Bonded Porcelain Restorations in the Anterior Dentition: A Biomimetic Approach. Quintessence Publishing; 2002.
- Coachman C, Calamita MA. Digital Smile Design Concepts and Workflow. Int J Esthet Dent 2016; 11(3): 338–354.
- Peumans M et al. Porcelain Veneers: 20-Year Clinical Outcome. J Dent Res 2004; 83(5): 321–325.
- Van Meerbeek B et al. Adhesion to Enamel and Dentin: Current Trends. Oper Dent 2020; 45(1): 2–14.
Share on: