Home
Our vision
Contact MYZ
CONTEST
TOP-NOTCH
Login / Register
TOP-NOTCH
CONTEST
Home
Our vision
Contact MYZ
CONTEST
TOP-NOTCH
Login / Register
FILTER
Subscribe & Follow:
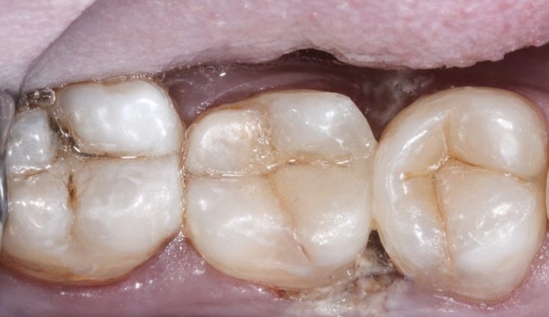
Restorative-Conservative Dentistry
Load More
« Previous
1
2
3
4
…
67
Next »