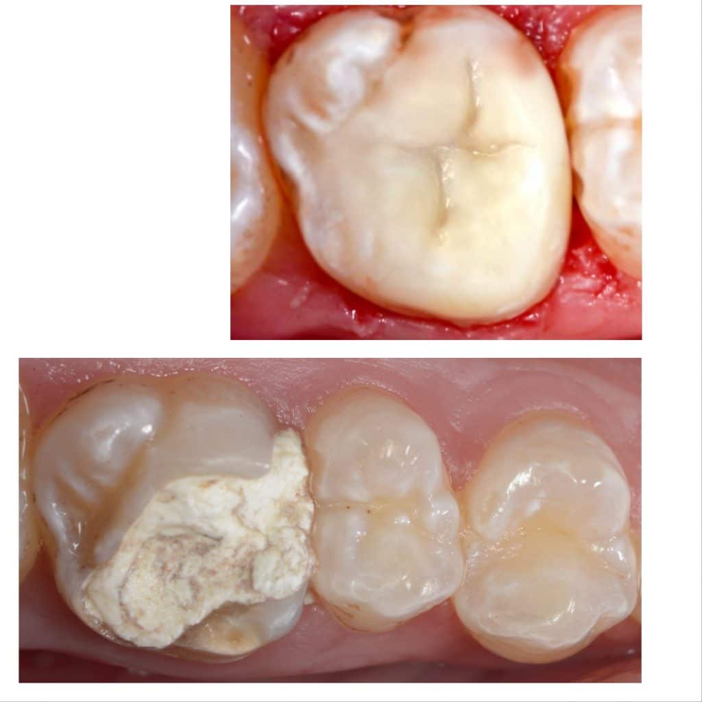
Replacement of an old defective composite filling .
The tooth is endo-treated , the tooth lost is large
– Old filling removal
– Air Abrasion
– IDS wtih SE Bond
– Proximal wall replacement with 4 increments
– 10 min for DWT
– Ever-X & Ever-X Flow for dentin replacement with several layers
– GC as enamel replacement
– Final finishing & polishing
Both of us were happy with the final result
#adhesivedentistry #overlay #rubberdam #rubberdamology #cadcam #Biomimetics #cadcamdentistry #immediatedentineseal #IDS #resincoat #ever_X #GC #3M #tokuyama #DME #optibondFL #Deep_margin_elevation #biobase #biomimeticstudyclub #dentalphotography
#restorativedentistry #aesthetic #aestheticdentistry #BRD #compositefilling #Baghdad #dentist
Share on: