Challenge Case 🔥💪
Our case today is a little different and we want to tell you its story… Let’s go 🥰
Our friend this time is a 21-year-old young man, a great and professional soccer player 🏃🤾♂️⚽️
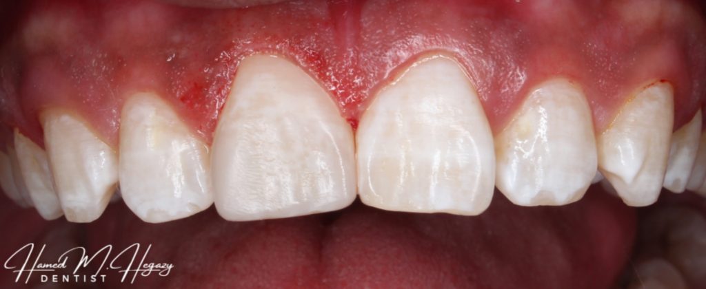
He suffered a work injury, or rather a collision during a match 🤦
He came to the clinic immediately after, full of despair and extreme frustration that what was broken could not be fixed 💔
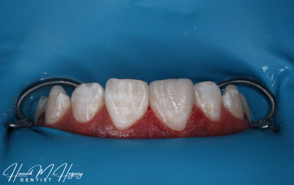
We examined him and did what was necessary for the first visit, and of course we asked about the broken part, but unfortunately it was missing too 😔
We reassured our friend and in the name of God we started to see what we could do 💪
We did all the vitality tests and took a radiographic record for re-evaluation
Two weeks later, the patient came back and we did another re-evaluation
And thank God, the tooth is still vital 🥰
And from here, starting Our Challenge To Restore it 💪🖌🪄
Thanks be to God ✨️ Our friend’s joy was indescribable, and thank God we were up to the challenge 😇
Of course, the story didn’t end there.
Our friend came to us 3 weeks later for a re-evaluation for the third time in a row 🥰
Before & After
1st Collection
2nd Collection
Pre-operative 1
Pre-operative smile
Pre-operative 2
Palatal shell
Dentin layer
Final layer
Finishing steps 1
Tertiary anatomy
Final 1
Final 2
Final immediately
Palatal view
3 weeks Follow up to the fine
Finally, Smiling again
Share on: