Class II Biomimetic Composite Restoration with Cuspal Coverage in an Infra-occluded Third Molar: Managing Challenging Isolation Using Microscope-Assisted Adhesive Protocols
Abstract (≈480 characters)
This case demonstrates a Class II composite restoration with cuspal coverage on an infra-occluded mandibular third molar under difficult isolation. A microscope-guided adhesive workflow using GC EverX Flow and Tokuyama Estelite Sigma Quick achieved functional reinforcement, marginal integrity, and natural morphology. The approach emphasizes biomimetic adhesion, fiber-reinforced dentin replacement, and precision finishing even in compromised access areas.
Author CV
Dr Hamza Zahid, BDS
Microscopic Restorative & Cosmetic Dentist
CEO – Dr Hamza Dental Center, Lahore (Pakistan)
Focus Areas – Complex Posterior Restorations | Microscope Dentistry | Adhesive Rehabilitation | Biomimetic Esthetics
Clinical Workflow
1️⃣ Initial Presentation and Assessment
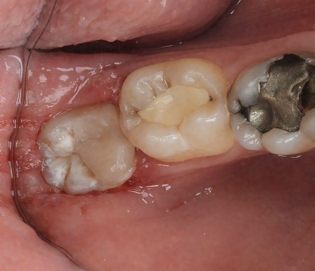
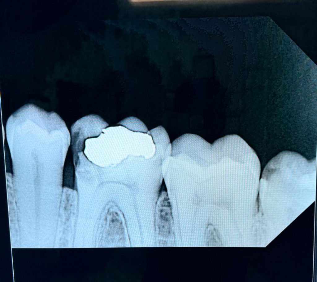
The patient presented with a distal carious lesion on a partially infra-occluded mandibular third molar exhibiting food impaction and sensitivity (Fig 1). CBCT and radiographs confirmed a deep Class II lesion extending sub-gingivally, but with adequate periodontal attachment for isolation and restoration.
2️⃣ Isolation Strategy
Due to limited access and infra-occlusion, rubber-dam isolation was achieved using a modified split-dam technique with floss ligatures and PTFE retraction (Fig 2). Microscope magnification allowed moisture control and precise visibility during adhesive procedures.
3️⃣ Cavity Preparation and Margin Management
Caries excavation performed conservatively, preserving enamel ridges. Distal sub-gingival margin elevated using the Matrix-within-Matrix DME technique with a sectional matrix system and Teflon-assisted adaptation. This enabled proper contact form and a cleansable margin (Fig 3).
4️⃣ Adhesive Protocol and Dentin Replacement
Selective enamel etching (37 % phosphoric acid – 15 s) followed by 3M Scotchbond Universal Adhesive ensured durable enamel-dentin bonding.
A 1 mm base layer of GC EverX Flow (fiber-reinforced flowable) was placed to mimic dentin and control polymerization stress. The short fibers provided fracture resistance and internal support for the onlay build-up (Fig 4).
5️⃣ Cuspal Coverage and Enamel Build-Up
Occlusal cuspal coverage performed using Tokuyama Estelite Sigma Quick in 2 mm oblique increments. Each cusp was individually sculpted under magnification to replicate natural fissure patterns and light reflection. Glycerin gel was used before final polymerization to eliminate the oxygen-inhibition layer (Fig 5).
6️⃣ Finishing and Polishing
After complete curing, occlusal adjustment performed in centric and lateral excursions. Finishing achieved using Sof-Lex XT discs, Enhance points, and PoGo micro-polishers, producing a natural enamel-like surface (Fig 6).
7️⃣ Post-Operative Outcome
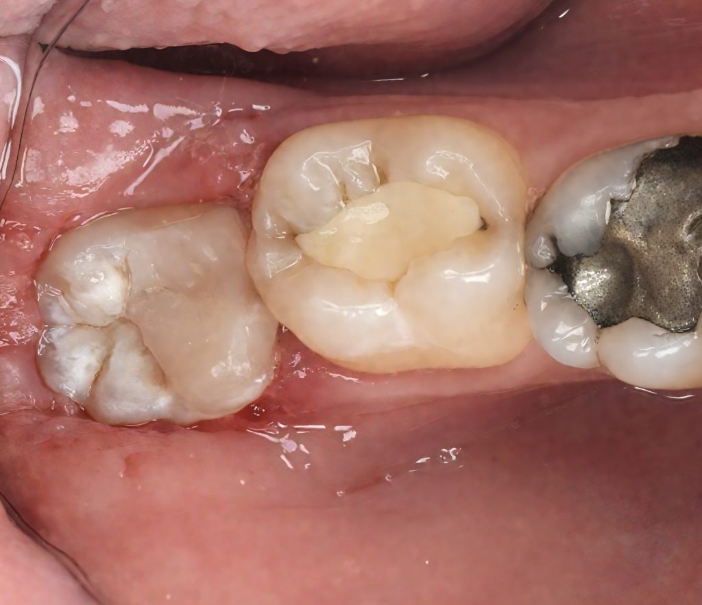
The final restoration displayed anatomical morphology, tight proximal contact, and optical integration with the adjacent second molar. The patient reported immediate relief from food impaction and improved masticatory comfort (Fig 7). Follow-up at 3 months confirmed stable margins and intact occlusion.
Outcome
Despite challenging infra-occlusion and isolation, a functional and esthetic restoration was achieved through biomimetic adhesive layering. The synergy of GC EverX Flow and Tokuyama Estelite Sigma Quick provided dentin reinforcement and enamel translucency, ensuring long-term performance.
Image Captions
- Fig 1: Pre-operative view showing distal caries on infra-occluded third molar.
- Fig 2: Split-dam isolation under microscope.
- Fig 3: Deep marginal elevation with Matrix-within-Matrix technique.
- Fig 4: GC EverX Flow base for dentin replacement.
- Fig 5: Incremental cuspal coverage using Tokuyama composite.
- Fig 6: Finishing and polishing sequence.
- Fig 7: Final restoration showing ideal contact and gloss.
Bibliographic References
- van Dijken JWV et al. Short Fiber-Reinforced Composite in Posterior Restorations: Long-Term Clinical Performance. Dent Mater 2015; 31(5): 545–554.
- Dietschi D. Layering Concepts for Posterior Composite Restorations. Pract Periodontics Aesthet Dent 1997; 9(2): 127–138.
- Magne P, Belser UC. Adhesive Restorations and Biomimetic Reinforcement. Quintessence, 2002.
- Clark D, Khademi J. Modern Posterior Adhesive Dentistry and Dentin Conservation. Dent Clin North Am 2010; 54(2): 249–273.
Share on: