Microscope-Assisted Endodontic Management of a Deep Carious Maxillary Second Premolar with Complex 1:3 Canal Configuration
Abstract (≈480 characters)
This case highlights the endodontic management of a deep carious maxillary second premolar presenting with a rare 1:3 canal configuration. The use of high magnification, enhanced illumination, and advanced irrigation techniques allowed complete identification, cleaning, and obturation of all canals. A bioceramic sealer and composite cuspal coverage restoration were used to achieve a functional and long-lasting outcome.
Author CV
Dr Hamza Zahid, BDS
Microscopic Restorative & Cosmetic Dentist
CEO – Dr Hamza Dental Center, Lahore (Pakistan)
Focus Areas – Micro Endodontics | Adhesive Restorations | Biomimetic Dentistry | Functional Rehabilitation
Clinical Workflow
1️⃣ Initial Assessment and Diagnosis
The patient presented with deep caries and pain localized to the maxillary second premolar (Fig 1). Cold testing elicited lingering pain, confirming symptomatic irreversible pulpitis. CBCT imaging revealed a 1:3 canal configuration—one orifice splitting into three canals apically, emphasizing the need for magnification and careful instrumentation.
2️⃣ Isolation and Access Cavity Preparation
Rubber-dam isolation achieved, followed by conservative access under a dental microscope (Fig 2). Upon deroofing, a single oval orifice was noted, which bifurcated distally and palatally at deeper levels. Troughing with ultrasonic tips revealed all three canal paths clearly.
3️⃣ Canal Exploration and Working Length Determination
All canals were negotiated with #10 K-files and confirmed patent. Electronic apex locator (Root ZX II) and radiographs established the working length (Fig 3). Canal configuration confirmed as one coronal entry dividing into mesiobuccal, distobuccal, and palatal apical exits.
4️⃣ Cleaning and Shaping Protocol
Instrumentation performed using Denco Pro Flexi NiTi rotary system with gentle crown-down motion. Irrigation protocol included 5.25 % NaOCl with ultrasonic activation, followed by 17 % EDTA for smear layer removal. Final rinse with sterile saline and alcohol to ensure canal dryness (Fig 4).
5️⃣ Obturation
Obturation achieved with bioceramic sealer (EndoSequence BC) using a modified warm vertical compaction technique (Fig 5). The sealer’s flow and bioactivity ensured apical seal continuity across all three branches of the canal system.
6️⃣ Post-Endodontic Restoration
An immediate coronal seal was established using GC EverX Flow for dentin reinforcement, followed by Tokuyama Estelite Sigma Quick for occlusal build-up and cuspal coverage under magnification. The composite was layered anatomically and polymerized with glycerin gel to avoid the oxygen-inhibition layer (Fig 6).
7️⃣ Post-Operative Evaluation
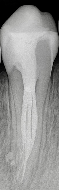
The post-op radiograph showed dense, continuous obturation in all three canals with well-defined apical seals (Fig 7). The final restoration demonstrated perfect occlusal harmony and marginal adaptation.
Outcome
Through microscope-guided visualization and biomimetic restoration, this complex premolar case was managed conservatively and predictably. The 1:3 canal configuration was completely negotiated and obturated, preserving natural tooth structure while achieving excellent long-term prognosis.
Image Captions
- Fig 1: Pre-operative view showing deep caries on second premolar.
- Fig 2: Conservative access cavity under microscope.
- Fig 3: Working length confirmation with three canal paths visible.
- Fig 4: Cleaning and shaping with rotary instruments under magnification.
- Fig 5: Obturation with bioceramic sealer (EndoSequence BC).
- Fig 6: Post-Endo composite cuspal coverage using GC EverX Flow and Tokuyama Estelite.
- Fig 7: Final post-operative radiograph confirming 1:3 canal configuration and apical seal.
Bibliographic References
- Cleghorn BM, Christie WH, Dong CCS. Root and Root Canal Morphology of the Human Maxillary Second Premolar. J Endod 2007; 33(3): 282–286.
- Siqueira JF, Rôças IN. Clinical Implications of Microbial Biofilms in Endodontics. Int Endod J 2009; 42(7): 747–762.
- Clark D, Khademi J. Modern Endodontic Access and Dentin Conservation. Dent Clin North Am 2010; 54(2): 249–273.
- Tay FR, Pashley DH. Monoblocks in Root Canals: A Tangible Goal. J Endod 2007; 33(4):
Share on: