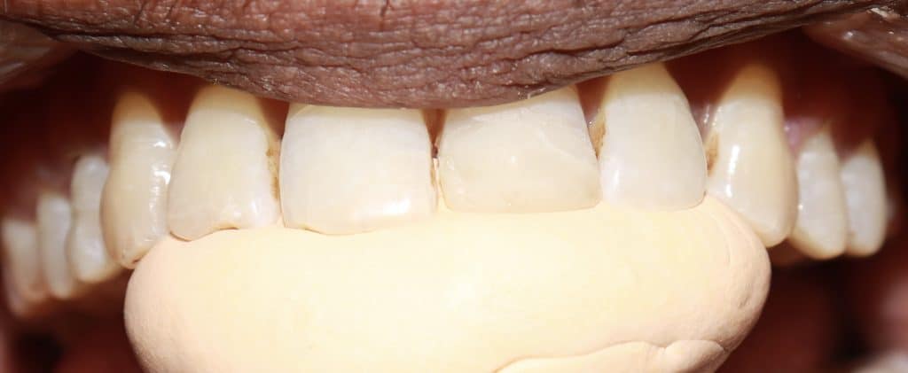
H/o Fracture of 21,3 months ago.
O/E-Ellis Class II Frature on 21
Vitality test was positive.
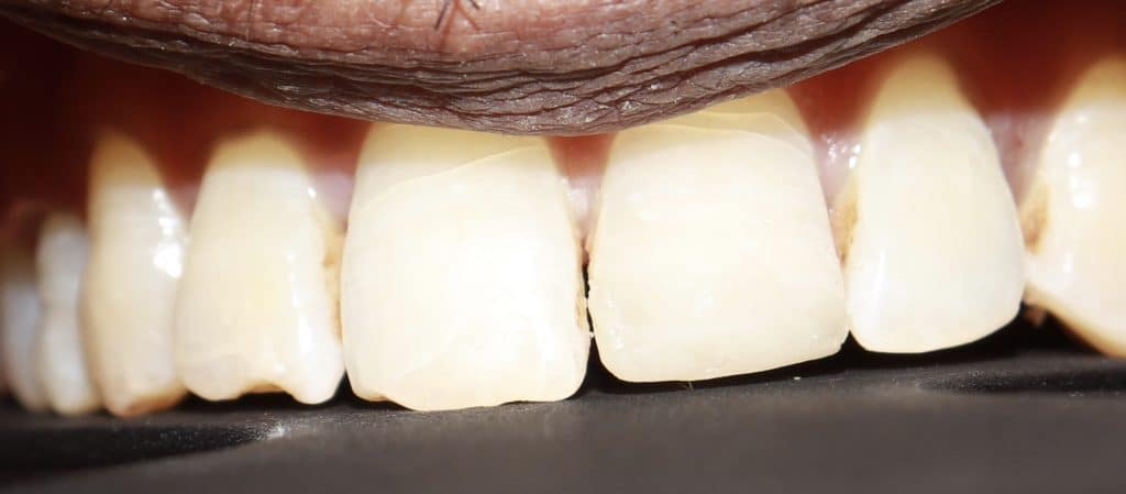
T/P-Class IV Composite restoration
The technique used is Putty index technique.
Mock up with expired composite without bonding
Putty index making
After making a palatial shell and proximal walls
Final restoration
Share on: