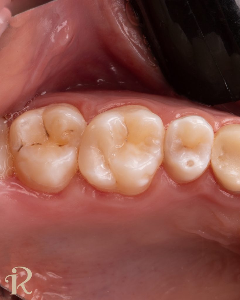
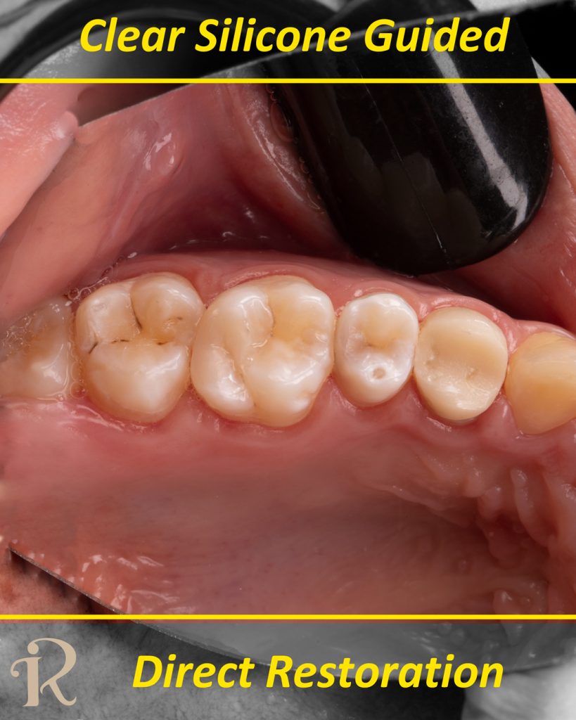
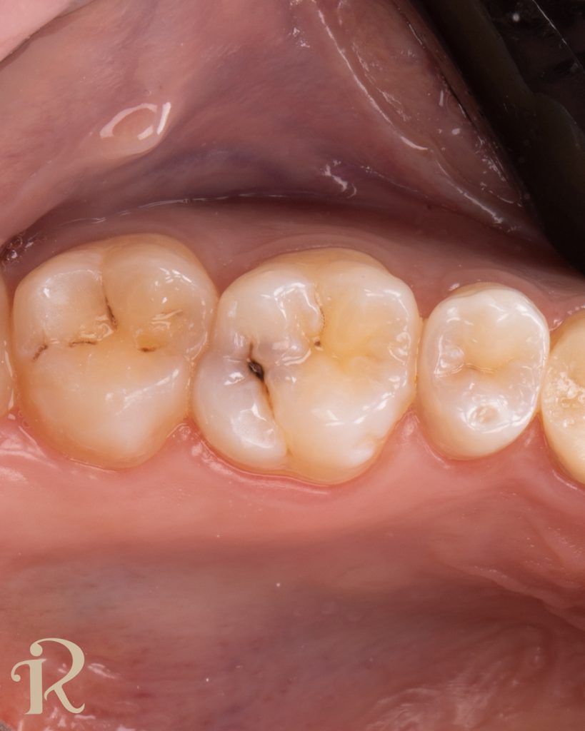
- Why reinvent the wheel when nature’s design is already perfect? Restored this tooth using the clear silicone stamp technique to replicate the occlusal anatomy-smooth, precise, and no post-op adjustments needed.
The end result? A beautiful, functional restoration that mimics the natural contours and occlusion of the tooth. The Clear Silicone Stamp Technique is an excellent choice for achieving both durability and lifelike aesthetics in composite restorations.
Share on: