Hi everyone , i would like to share this case with you
A 23 y old female complaining from unpleasant facial and dental esthetics ,
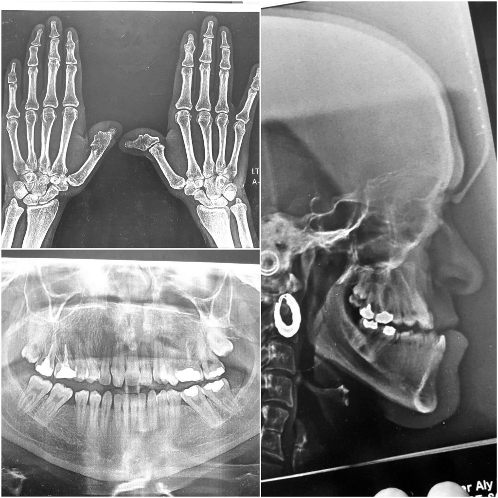
* Extraoral : she has the features of “pfeiffer dyndrome”( one of craniocynestosis syndromes ), concave , class III facial pattern , sever midface deficiency , hypertelorism , broad and malformed thumbs .
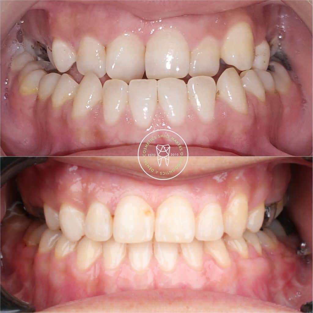
*Intraoral : incisors cl III complicated with sever crowding in upper arch , extracted UR3 , LR and LL 6s , anterior and posterior crossbite , upper midlineshift to the right , multiple restorations and fair OH
*Ttt plan: combined orthodontic and orthognathic surgery
- A . Orthodontic preparation : including extraction of UL 4 , leveling and alignment , decompensation , arch coordination , creating surgical wafers for bimaxillary surgery and referred to the surgeon
B. Surgery : bimax surgery , modified Lefort 1 osteotomy with maxillary advancement , Bsso with mandibular setback .
* complication : the case dismissed after surgery without instructions to keep using the wafer along with elastics , also multiple debondings happened during the surgery , so patient came to me 3 weeks after surgery with posterior openbite , progressing shift of lower midline towards the right side , and cl III canines in left side
*managment : intermaxillary elastics , and unilateral buccal shelf TAD inserted in left side to distalize this segment to obtain cl I canine , and coincident midline .
I hope you like it
Thanks
Share on: