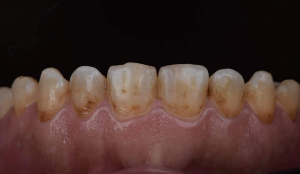
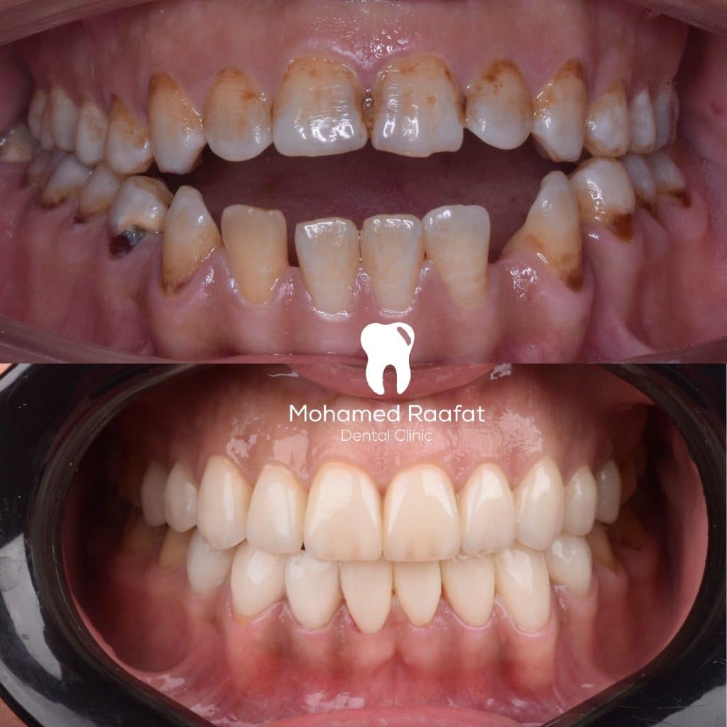
A 36 yrs old female patient presented with class lll incisor relation with anterior open bite (dental component) on skeletal 3 , proclined lower anterior and decreased incisal show ; that was complicated by generalized enamel hypoplasia and multiple caries spots on some of the teeth
After discussing all the treatment modalities of the case and the time frame with the patient, treatment plan was decided to be :
1- restore the carious teeth with composite
2- orthodontic treatment to obtain class l incisor relation, normal overbite and increase the incisal show
3- indirect lithium disilicate partial coverage for all the teeth in smile
hope you like it and all your question are welcomed
Share on: