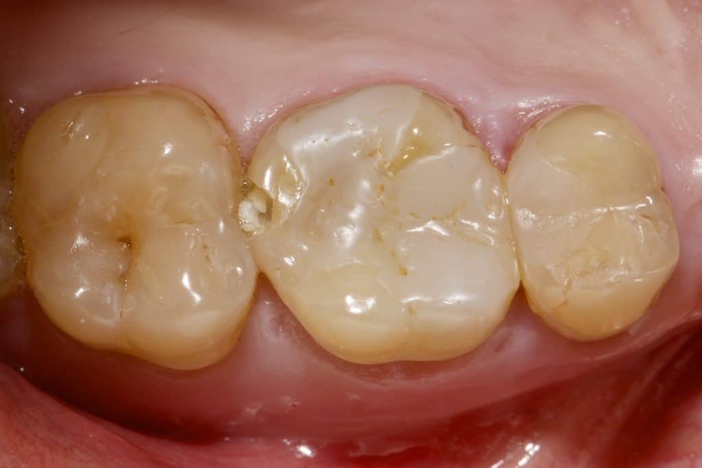
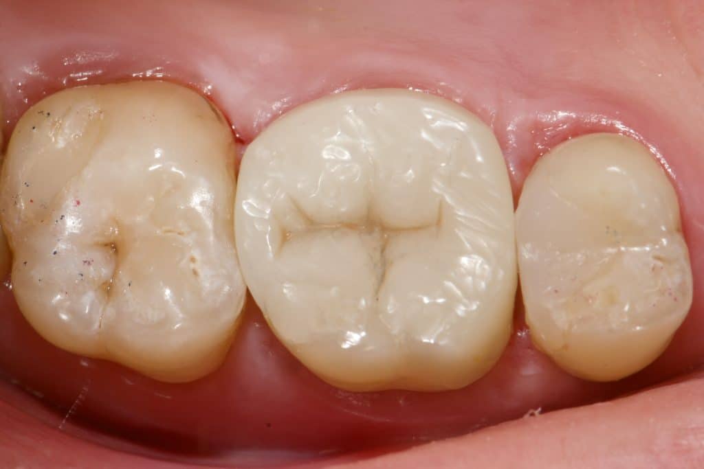
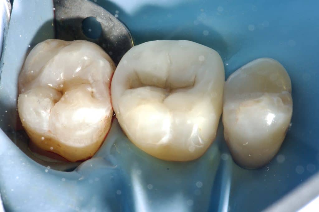
“Can a direct composite overlay function as effectively as an indirect lithium disilicate restoration? Composite restorations, once used as a long-term temporary solution for badly damaged molars, are now considered permanent. While the composite material remains the same, our understanding of its adhesive and physical properties has evolved. The procedure may be more time-consuming and require multiple stages in the same visit, depending entirely on the dentist’s skills.
Share on: