INTRODUCTION
Properly established proximal contact and contours are crucial for preserving the structural integrity of the dental arch and promoting periodontal health. Inadequate contact and poorly constructed contours can lead to food impaction and the development of periodontal pockets.
Fig. 01
Upon initial examination, the patient reported experiencing temporary cold sensitivity and food stagnation in a specific area. The clinical diagnosis indicated that the tooth was vital, based on the Electric Pulp Test (EPT), the tooth is regarded vital, with initial response at level 36, followed by relief after 15 seconds.
Fig. 02
When caries are removed and the pulp is exposed, it can weaken the enamel. In such cases, it is advisable to create a silicone index after covering the exposed pulp with mineral trioxide aggregate (MTA). This should be followed by a precise cavity design and the removal of unsupported buccal cusp .
Fig. 03
Final cavity design.
Fig. 04
Silicone index
Fig. 05
To facilitate matrix placement and achieve optimal contact and contour, it is essential to restore the buccal wall to its original shape.By marking the lost structure and build the buccal cusp to enhance the structure, consider reinforcing the buccal cusp with composite material and then inserting FRC (ever x) to effectively manage the separation force of the ring without compromising the integrity of the composite.
Fig. 06
The blue bio fit matrix was chosen .Together with anatomical deep caries wedge to get the optimal fit.
Fig. 07
Restoring the proximal margin.
Fig. 8
Again FRC (ever x) for stress free and durable restoration.
Fig. 9
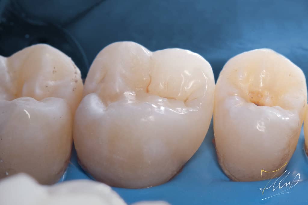
Final situation (pre polishing).
Fig. 10
Final gloss for long lasting stain free restoration.
Fig. 11
Buccal view shows the final contour and shape of buccal cusp.
Fig. 12
The final palatal view demonstrates precise and secure contact placement, ensuring minimal stagnation and facilitating easy cleaning
CONCLUSIONS
1 Reconstructing a cusp freehand without occlusal references can be challenging and may end with unsatisfying result.
2 Restoring the natural buccal wall to its original shape before placing the matrix simplified the process and achieved a natural contour and contact point.
3 Composite restorations can be highly effective when managed with precision. It’s crucial to pay meticulous attention to every detail, from cavity design and matrix system selection to the final polishing, in order to achieve long-lasting ,durable, and stain free restorations.
Share on: