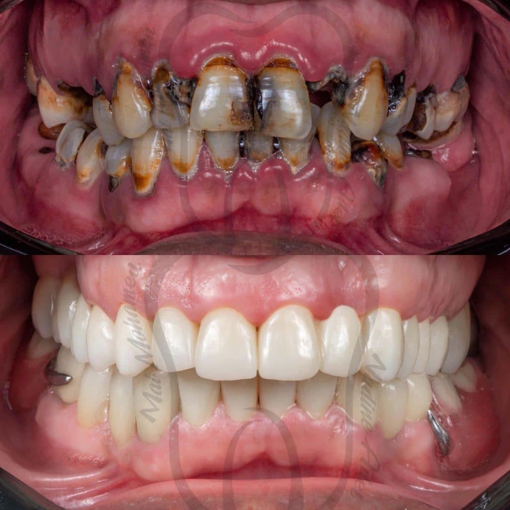
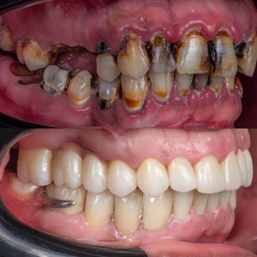
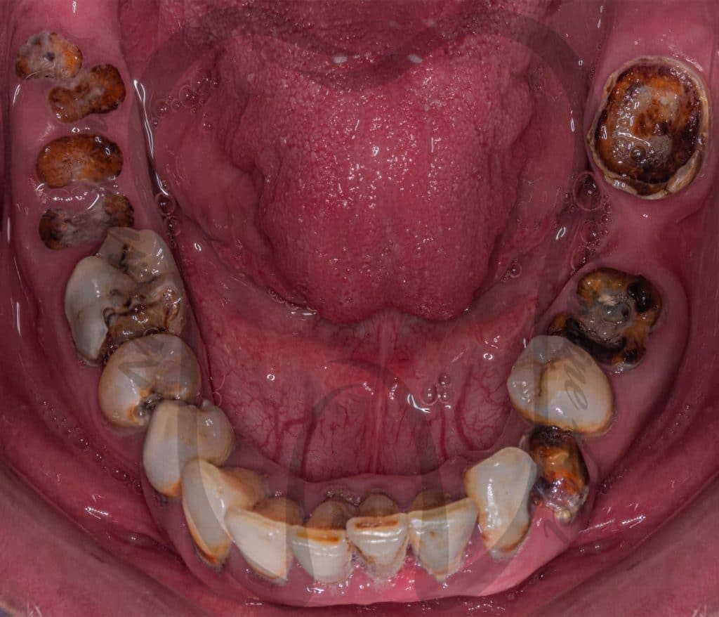
Graduation Case 🎓🎓
5th year student, PUA, Egypt
This case has been done together with my partner Dr Mai Marzouk
Our treatment plan included:
📌 10 Extractions
📌Full Mouth scaling and Root planing
📌 12 Endodontic treatment
📌 6 Post and Core
📌 Full Mouth Composite Restoration
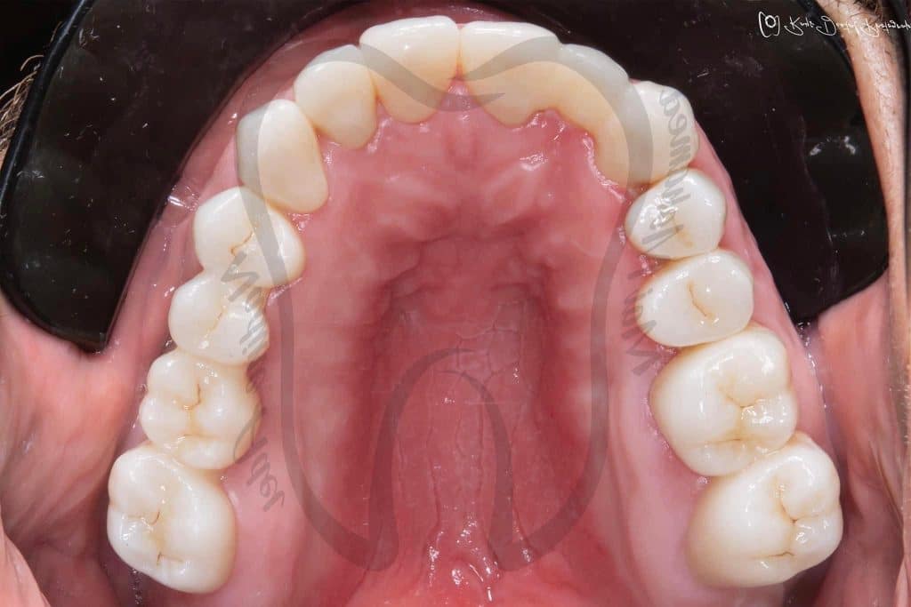
📌 20 Unit Zirconium
📌 5 Unit PFM
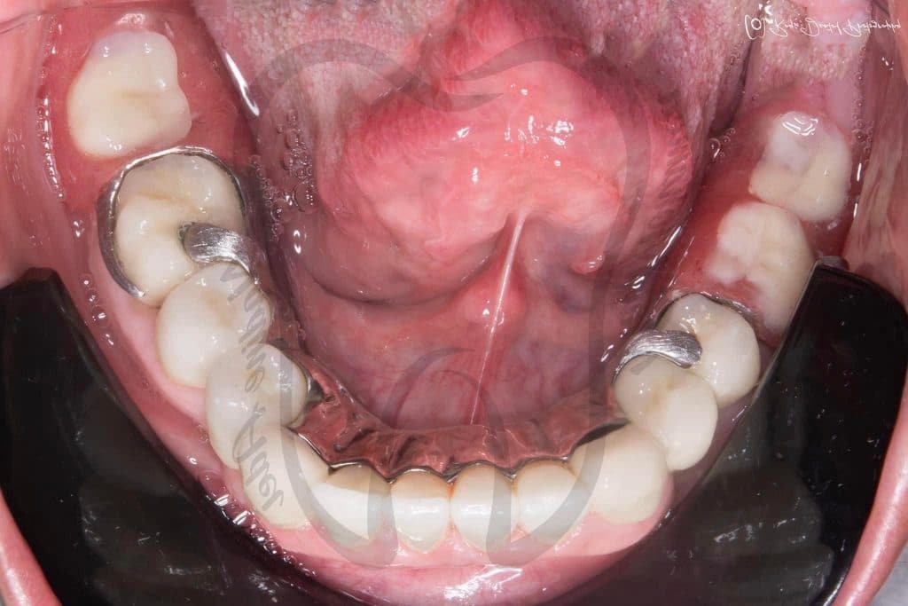
📌 Lower Arch Class I Metallic RPD
Share on: