A colleague send me a case of severely curved upper 2nd Molar with ledge in MB and DB canals….

The patient was a fellow dentist also….
New discovery during rubber dam placment…
The patient has a limited mouth opening ..

Single 1 hour visit for bypassing the 2 ledges, Shaping, Irrigation and obturation
Main bypassing technique steps:
– coronal flaring
– 45° curved 10and 15 k files
– A lot of patience
Description under each Photo
Enjoy….
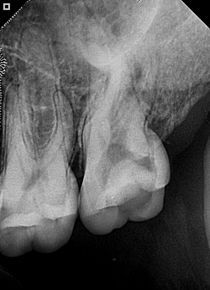
Radiographic picture send by my colleague
Showing inability of the Gp cones to reach apex in MB and DB canals because of ledges
Pre-op
MB ledge Bypassed
DB ledge Bypassed
Palatal canal WL
Master Cone
Obturation
Summary...💪
Share on: