Crestal Approach Sinus Lift with Osteotomes for Implant Site Development in Posterior Maxilla: A Conservative, Predictable Protocol
Abstract (≈480 characters)
This case highlights an indirect sinus floor elevation using the crestal approach with osteotomes to augment vertical bone height for implant placement in the posterior maxilla. The technique allowed controlled sinus membrane elevation without lateral access, preserving bone integrity and ensuring minimal patient discomfort. A Swiss implant was later placed with optimal primary stability and successful osseointegration.
Author CV
Dr Hamza Zahid, BDS
Microscopic Restorative & Implant Dentist
CEO – Dr Hamza Dental Center, Lahore (Pakistan)
Focus Areas – Implantology | Adhesive Dentistry | Biomimetic Restorations | Smile Rehabilitation
Clinical Workflow
1️⃣ Pre-operative Evaluation
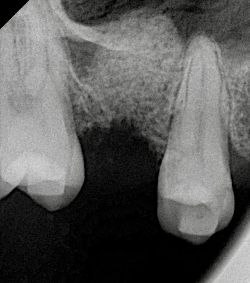
The patient presented with a missing maxillary first molar and reduced residual ridge height of approximately 6 mm (Fig 1). A CBCT scan revealed adequate bucco-palatal width and sinus floor proximity, indicating the need for a crestal (indirect) sinus lift rather than a lateral window procedure.
2️⃣ Surgical Planning and Preparation
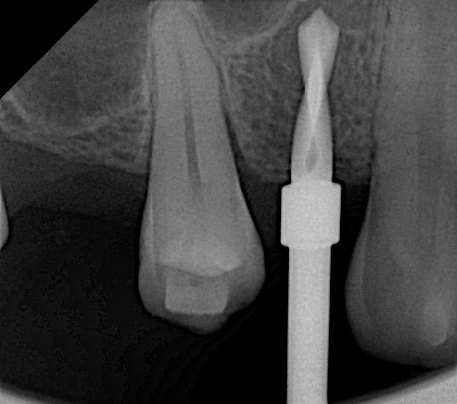
Under local anesthesia, a full-thickness mucoperiosteal flap was raised. Sequential osteotomy drills were performed up to 1 mm short of the sinus floor. Osteotomes of increasing diameters were used to carefully fracture the sinus floor through controlled malleting, lifting the Schneiderian membrane atraumatically (Fig 2).
3️⃣ Membrane Elevation and Grafting
After verifying intact sinus membrane integrity via the Valsalva maneuver, particulate bone graft (allograft + synthetic blend) was incrementally packed into the osteotomy using osteotomes (Fig 3). Approximately 2 mm of membrane elevation was achieved beyond the sinus floor without perforation.
4️⃣ Implant Placement
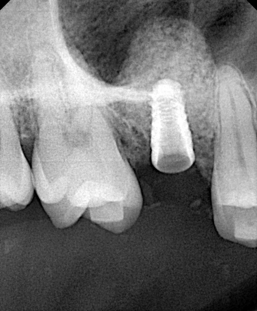
A Swiss-made tapered implant (4.1 × 10 mm) was inserted into the prepared osteotomy with 40 Ncm torque (Fig 4). The implant apex extended slightly into the augmented sinus cavity, achieving excellent primary stability and favorable bone compression.
5️⃣ Healing Phase
The site was sutured with 4-0 PTFE sutures and allowed to heal for 4 months. No postoperative complications such as sinusitis or membrane tear were noted.
6️⃣ Prosthetic Restoration
After confirmed osseointegration, a screw-retained crown was fabricated and torqued to 25 Ncm. The occlusion was adjusted for light centric contacts and canine guidance (Fig 5). Follow-up at 6 months revealed healthy peri-implant tissue and radiographically stable crestal bone (Fig 6).
Outcome
This minimally invasive crestal sinus lift using osteotomes successfully increased bone height by ~3 mm, enabling predictable implant placement without lateral window surgery. The procedure demonstrated low morbidity, excellent soft-tissue healing, and long-term stability.
Bibliographic References
- Summers RB. A new concept in maxillary implant surgery: the osteotome technique. Compendium 1994;15(2):152–160.
- Tatum H Jr. Maxillary and sinus implant reconstructions. Dent Clin North Am 1986;30(2):207–229.
- Fugazzotto PA. Sinus floor augmentation via the osteotome technique: clinical and radiographic results. Int J Periodontics Restorative Dent 2002;22(6):575–583.
- Pjetursson BE et al. A systematic review of sinus floor elevation techniques. Clin Oral Implants Res 2008;19(Suppl 1):216–240.
Share on: