Single-Tooth Replacement in the Mandibular Premolar Region Using a Swiss Screw-Retained Implant Prosthesis: A Restorative-Driven Workflow
Abstract (≈480 characters)
This case describes the management of a missing mandibular premolar through a prosthetically guided implant approach using a premium Swiss implant system. The protocol focused on atraumatic placement, optimal emergence profile, and screw-retained restoration to ensure retrievability, hygiene, and long-term stability. A digital and microscope-assisted workflow delivered a precise, functional, and highly aesthetic result.
Author CV
Dr Hamza Zahid, BDS
Microscopic Restorative & Cosmetic Dentist
CEO – Dr Hamza Dental Center, Lahore (Pakistan)
Focus Areas – Implant Rehabilitation | Adhesive Restorations | Biomimetic Dentistry | Smile Reconstruction
Clinical Workflow
1️⃣ Initial Assessment and Planning
A partially edentulous mandibular arch with a missing second premolar was evaluated clinically and radiographically (CBCT). Adequate bone volume (≈ 7.5 mm width, 12 mm height) permitted standard-diameter implant placement without grafting. A digital wax-up established ideal crown positioning and guided implant angulation.
2️⃣ Surgical Phase
Under local anesthesia, a flapless (minimally invasive) approach was used. Sequential osteotomy performed with copious irrigation following the manufacturer’s torque protocol. A Swiss-made internal-connection implant (4.1 × 11.5 mm) was inserted with 45 Ncm torque for primary stability (Fig 1). Healing abutment placed for transmucosal soft-tissue contouring.
3️⃣ Healing and Soft-Tissue Maturation
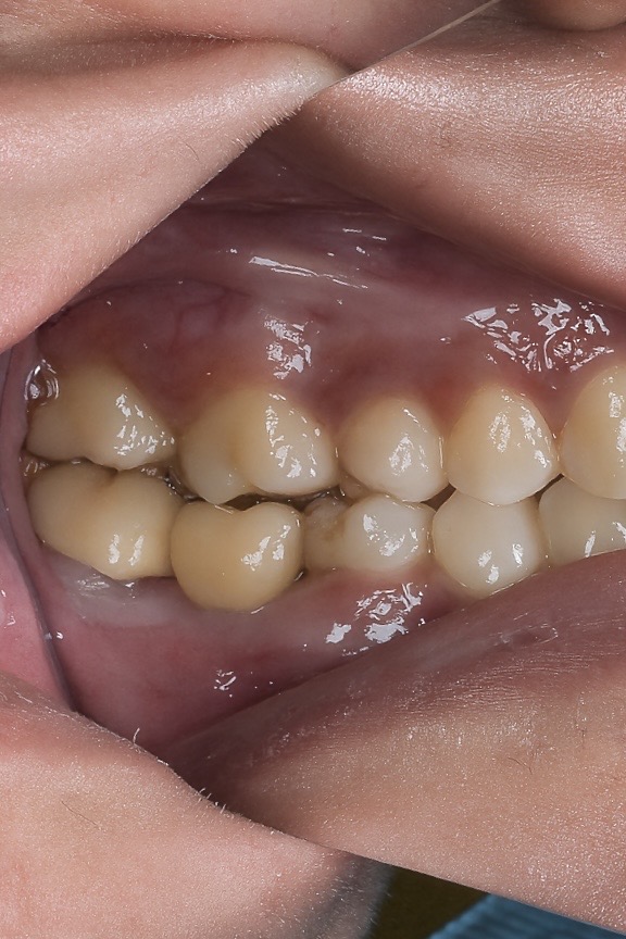
After 8 weeks, the peri-implant mucosa showed healthy keratinized tissue with proper emergence form (Fig 2).
4️⃣ Prosthetic Phase
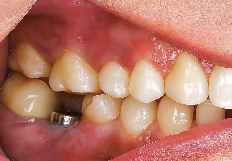
A digital scan using an intraoral scanner captured the implant position. A titanium base with CAD-CAM zirconia screw-retained crown was fabricated. The screw-channel was positioned lingually for optimal esthetics and retrievability (Fig 3 & 4).
5️⃣ Try-In and Final Cementation
Fit, occlusion, and proximal contacts verified. The prosthesis was torqued to 25 Ncm per manufacturer instructions. The screw access was sealed with PTFE and composite (Fig 5).
6️⃣ Post-Operative Evaluation
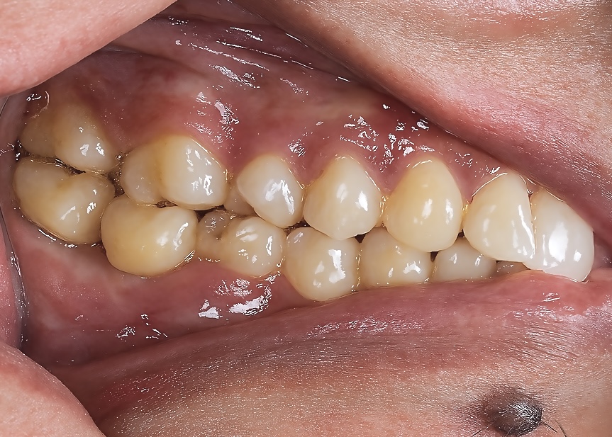
Radiographic follow-up showed precise osseointegration, proper emergence profile, and marginal bone stability (Fig 6). The final prosthesis integrated seamlessly with natural dentition and provided excellent function and esthetics (Fig 7).
Outcome
The single-unit screw-retained Swiss implant achieved a fully functional and aesthetic outcome with retrievability and minimal cement risk. The restorative-driven, microscope-guided workflow ensured tissue health, precision, and long-term predictability.
Bibliographic References
- Buser D et al. Long-term stability of osseointegrated implants in partially edentulous patients: 10-year results. Clin Oral Implants Res 1997; 8: 377–385.
- Misch CE. Contemporary Implant Dentistry. 3rd ed. Mosby, 2008.
- Sailer I, et al. Screw-versus cement-retained implant crowns: systematic review and meta-analysis. Int J Oral Maxillofac Implants 2012; 27: 102–115.
- Tarnow DP, et al. The vertical distance from the crest of bone to the contact point to predict the presence of the interproximal papilla. J Periodontol 1992; 63(12): 995–996.