In studio si presenta paziente di età media riferendo dolore in zona molare.
All’esame clinico, si evince mobilità del 3.8 gravemente compromesso e la ridotta apertura della bocca.
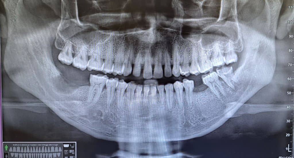
Si procede ad eseguire l’OPT dove si evidenzia Infezione apicale e si opta per l’estrazione dell’elemento dentario.
Vista la ridotta apertura della bocca e quindi l’impossibilità ad utilizzare la pinza per estrarre il molare, la scelta ricade su estrazione con sola leva.
Dopo aver effettuato anestesia tronculare in metodica diretta, si prosegue con l’estrazione dell’elemento avvenuta con successo.
Come disse Archimede : “Da mihi, inquit, ubi cōnsistam, et terram commovēbō”
“Datemi un punto di appoggio e solleverò il mondo”
follow me on instagram : dott.sergiocelentano
Share on: