Hello dear colleagues
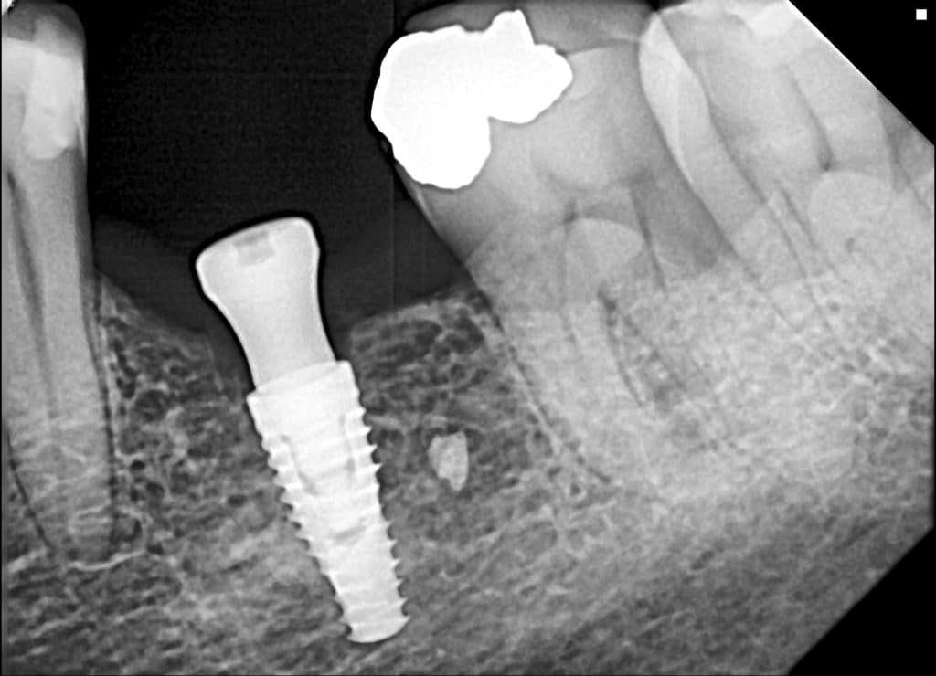
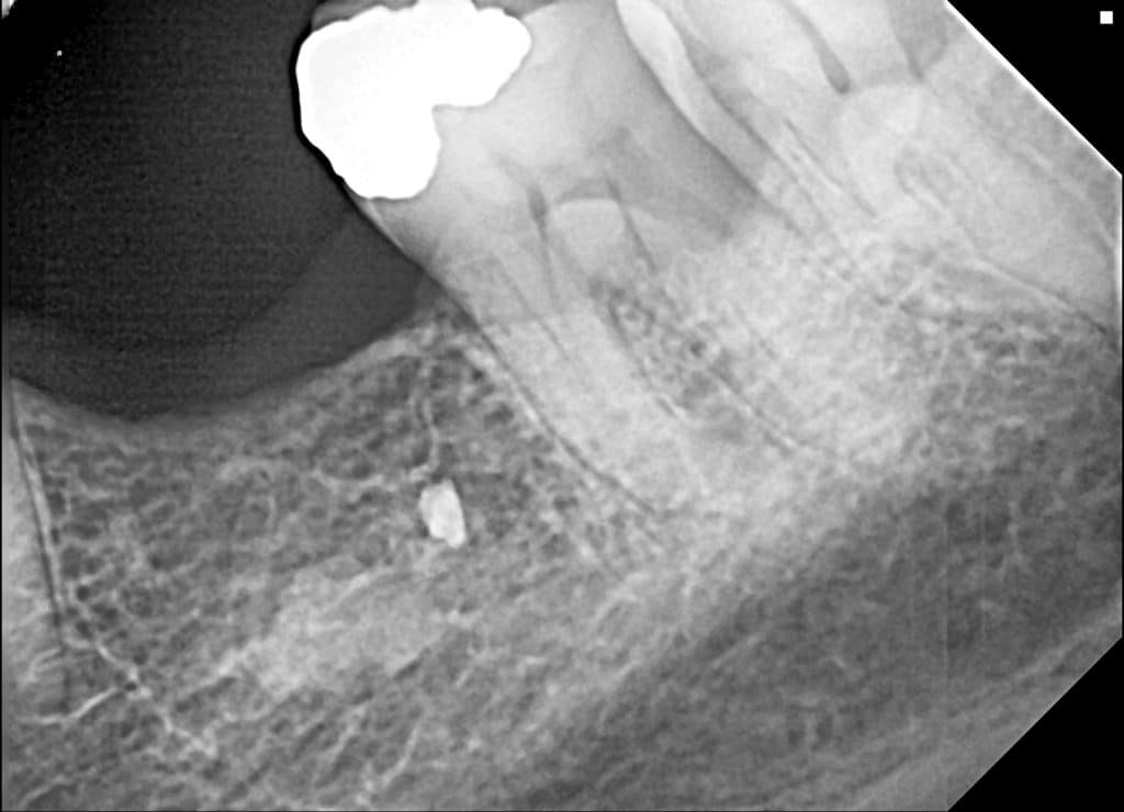
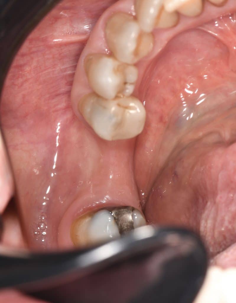
here a guided surgery case where a lower molar was replaces by an implant ,flapless ,thanks to a good digital planification and a realisation of a surgical guide
ps: With my case, I want to win a free ticket to attend the IAO International Congress #IAONapoli2024 from April 11-13 for free.
best regards
Share on: