A 42-year-old patient comes to my attention for a small fracture of enamel and dentin on the incisal edge of 1.1.
Given the small size of the restoration to be performed and the crossed position of the element, which would make it difficult to position a silicone guide, it was decided to reconstruct the tooth by hand.
The polishing phases were managed thanks to Shofu rubbers (green and brown), POP On discs and Micerium diamond pastes (A, B and Shiny).
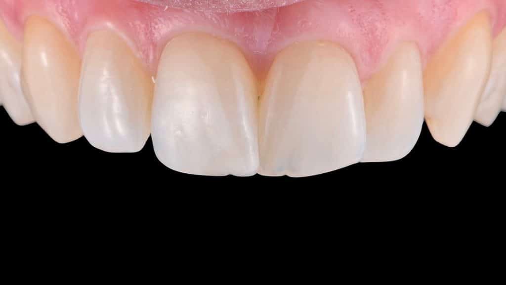
The last photo represents the one-week check-up
Share on: