Lithium disilicate overlay
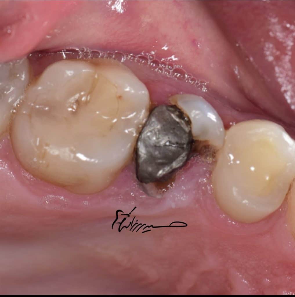
Destructive premolar with large defective filling .
Treatment plan was
Re Endodontic treatment and DME and then go with adhesive dentistry..
DME with highly filled apx composite
Ids and RC
Pulp chamber filled with ever x posterior composite
And cavity optimization
Cementation visit
Air abrasion
Se bond from kurrary
Cementation with heated apx composite.
After amalgam removal
Initial situation
Deep margin elevation with matrix in matrix technique
Ready for cementation
Immediately after cementation
Lateral view
Share on: