Tooth coloured materials had been used before many years for restoring missing tooth structure. Nowadays, the resin type of these material (composite) also can be used in an additive way to change the shape and/or colour of teeth with or without preparing the substrate as in diastema closure, which consider as a low cost alternative option to indirect restoration.
material and method:
-slight preparation of two central with flexi Disc finishing bur.
-conditioning of surface with 37% phosphoric acid
-application of 5th generation bond type (3M)
-build up of two central by composite material (3M) using previous prepared silicon index.
-finishing and polishing
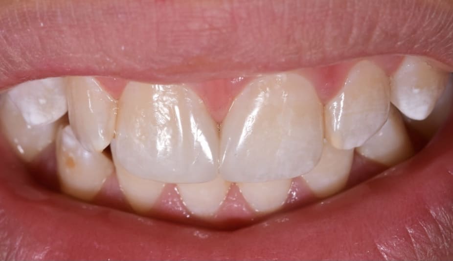
Before work
Immediate
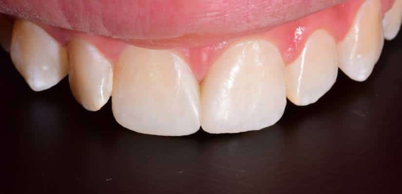
After finishing and polishing
Share on: