Patient came with old ceramic restoration that cause severe gingival inflammation and non stop pain in all teeth
removal of old restoration, laser gingivectomy and temporary for 2 weeks endodontic treatment is done within 2 weeks then reduction and temporary for one week then impressions
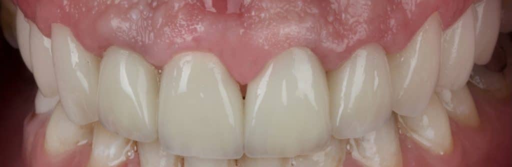
Old restoration
After removing the old restoration
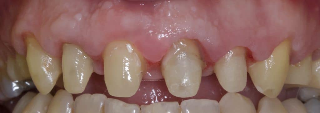
After post and core build up and preparation
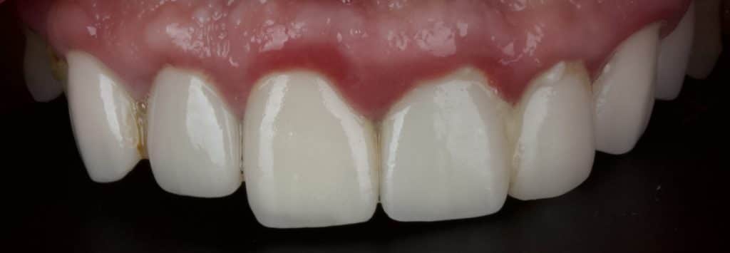
Immediately after cementation
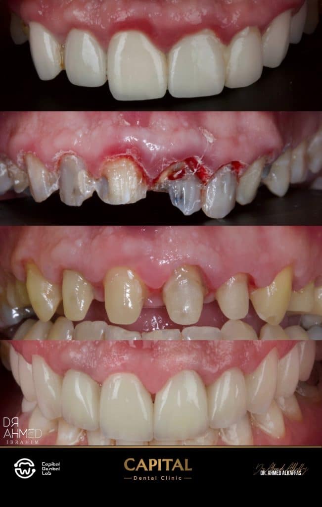
All steps
Share on: