Digital guided esthetic crown lengthening:
-A 22 years old female come to our clinic seeking a for a solution for her gummy smile .
Medical history:
-Systemically free.
Drug history:
-She doesn’t take any drugs.
Clinical examination:
-After excluding other etiologies of gummy smile , it was confirmed that we we have 2 main causes :
1-Hypermobile “hyperactive” lip which is everted more in upper anterior quadrant especially apical to central incisors & lateral incisors.
2-Altered passive eruption. “short clinical crowns”
-According to Coslet & his colleagues who classified altered passive eruption, it was confirmed that the case
Was Type I “Mucogingival junction is apical to crest of alveolar bone” , Subtype B “the distance between cemento-enamel junction & crest of alveolar bone is less than 2mm”.
-This can be confirmed by performing bone sounding technique.
-Attrition was noted over incisal edges of upper anterior teeth is due to parafunctional habit “bruxism” & it is under control now by a habit breaking appliance “night guard”.
Treatment plan:
-The patient was informed that gummy smile can be treated in 2 steps.
A-1st step is Esthetic crown lengthening surgery to correct altered passive eruption.
B-Botox injection to inhibit activity of upper lip but the patient was told that this step should be done very 6 months.
-She agreed to proceed to the 1st step & postponed her decision regarding the 2nd step after observing the result of 1st one.
-Based on bone sounding technique.it was found that there is insufficient biologic space ” less than 2mm” for supracrestal periodontal ligament fibers….& so the decision was made to perform external bevel gingivectomy followed by ostectomy to correct the space.
-Patient was referred to Digital dental scan to perform 2 tasks:
A-Intra-oral scanning for the whole upper arch using an intra-oral scanner.
B-CBCT to accurately determine the biologic space available & calculate the needed sufficient space.
“it can be done on CBCT software either in:
A-frontal 3d view. Or B- sagittal view
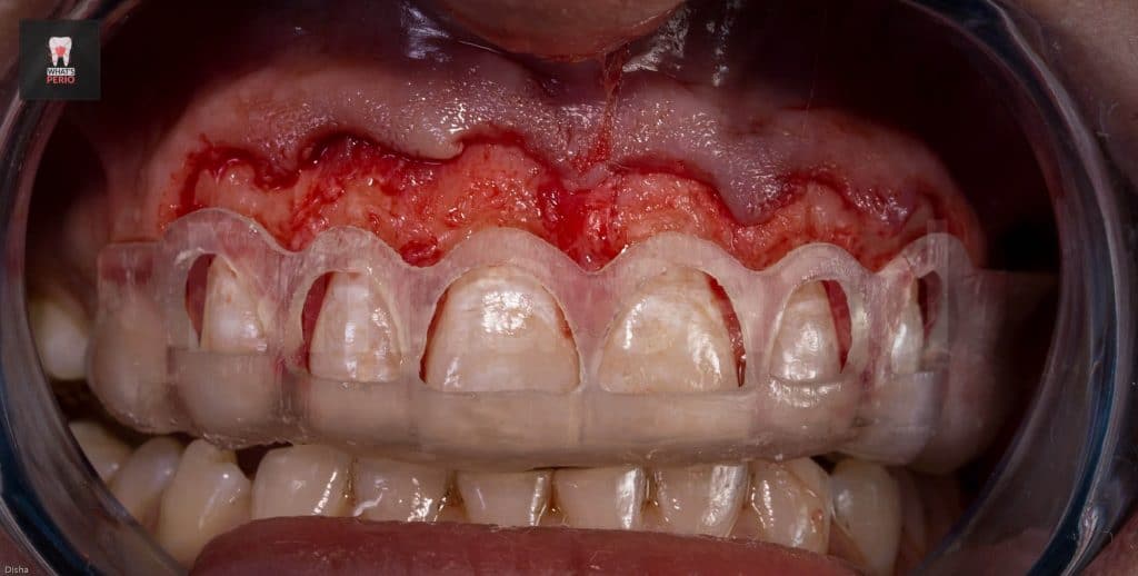
-Soft tissue scan image & CBCT image were merged together to design a Digital crown lengthening guide.
-The digital guide has 2 level:
1-Coronal level: which is determined upon probing depths on the whole upper anterior quadrant.
2-Apical level: which is determined upon CBCT to accurately determine the needed sufficient biologic space for supracrestal fibers. “2mm”
-The guide was printed & was tried over a 3d model & also intraorally to check the coronal level is exactly like the pobing depths which were taken.
-External bevel gingivectomy was made while the guide in place.
-Internal bevel incision was made “envelope flap” to expose underlying labial plate of bone.
-Care was taken during flap elevation to make a split-thickness incision under each papilla to preserve underlying periosteum interdentally as there is no need to expose interdental bone.
-The guide was placed again over labial plate of bone & it was noted that its apical level is higher than alveolar crest level.” Which confirms that the design on CBCT was accurate”
-Ostectomy was made using a rose head diamond stone then the guide was put in place again & it was observed that the apical level & the alveolar crest is at the same level now.
-A periodontal probe was placed between CEJ & alveolar crest to measure the distance which was 2mm. “ensuring that the digital guide is accurate”
-Prominence of canine eminence of the right side was observed to more bulky than the left one . “this was confirmed clinically & radiographicaly in occlusal view of CBCT”
-Osteoplasty wass performed to reshape the prominent canine eminence to be in harmony with the left one & in general the labial plate of bone was shaped & any sharp angles resulting from ostectomy procedure were removed for better adaptation of the flap ensuring nice healing results.
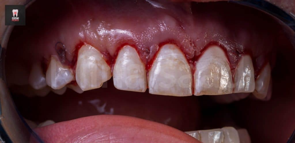
-The flap was sutured using single sling sutures. “4/0 Vicryl sutures” “resorbable”
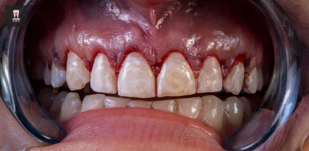
-The patient is recalled after 4 weeks & it was observed that the gummy smile was decreased & the patient was very satisfied with the result & decided to postpone the 2nd step.
Conclusion:
-Digital guide presents an alternative way to perform esthetic crown lengthening beside the traditional method “determine bleeding points & incision lines + bone sounding to determine biologic space” , surgical guide fabricated over a stone model guided by probing depths.
– Digital guide method offers the most accurate way to determine biologic space & so the needed sufficient space through CBCT & this is the main benefit from its use.
Share on: