Female, age 53. Good general and oral health status.
Presence of two broken implants in position 3.5 and 3.7
Aim of the work: removal of the 2 broken implants and fixed rehabilitation of the area
Surgical Protocol :
Removal of 2 broken implants with piezoelectric instrument
After 3 months horizontal GBR (with Bioss and Bio-gide) and implant placement in 3.5 and 3.7 position (Straumann BL 4.1 x 10 and 4.1 x 8)
After 6 months implants re-opening and gingival and connective tissue graft harvested from the palate
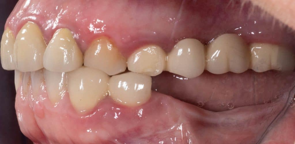
After 2 months final prosthetic rehabilitation with cemented crowns
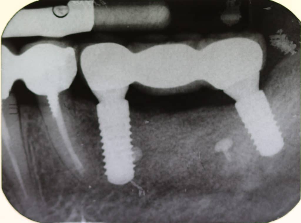
Initial radiographic situation
Initial clinical situation- Lateral view
Initial clinical situation- Occlusal view
Initial clinical situation- Detail of the area
Implant placement in a correct prosthetic position
Horizontal GBR with Bioss
Bio-gide fixed with pins
Radiographic evaluation after implant placement
Tissue condition at the time of reopening
Implants re-opening
Gingival and connective tissue graft harvested from the palate
Free gingival graft
Suture of the graft with 5/0 absorbable suture
Clinical situation after second surgery- Lateral view
Clinical situation 2 months after second surgery- Occlusal view
Final prosthetic rehabilitation- Occlusal view
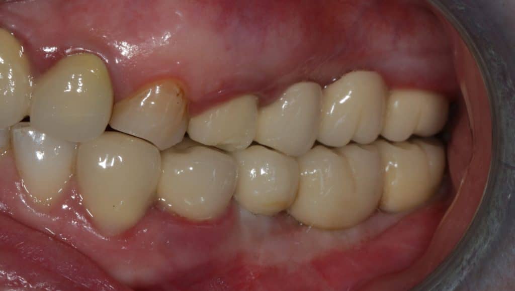
Final prosthetic rehabilitation- lateral view
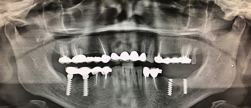
Final radiographic evaluation
Share on: