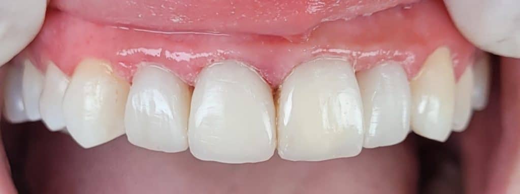
8 yıl önce metal destekli protez yapmak için acımasızca kesilen, curuklerine dolgu bile yapılmadan bırakılan dişler artık güzel bir tedaviyi hak ediyordu. Curuklerin tedavisini yapip ardından tam porselen ya da zirkonyum destekli porselen dişler yapmaktı planım. Hasta benim direkt restorasyonlarimi çok beğendiğini, bütçesinin de kısıtlı olduğunu söyleyince ben de böyle bir tedavi yapmaya karar verdim. İkimiz de sonuçtan çok memnunuz. Umarım uzun ömürlü olur.
Share on: