Replacement old by gold
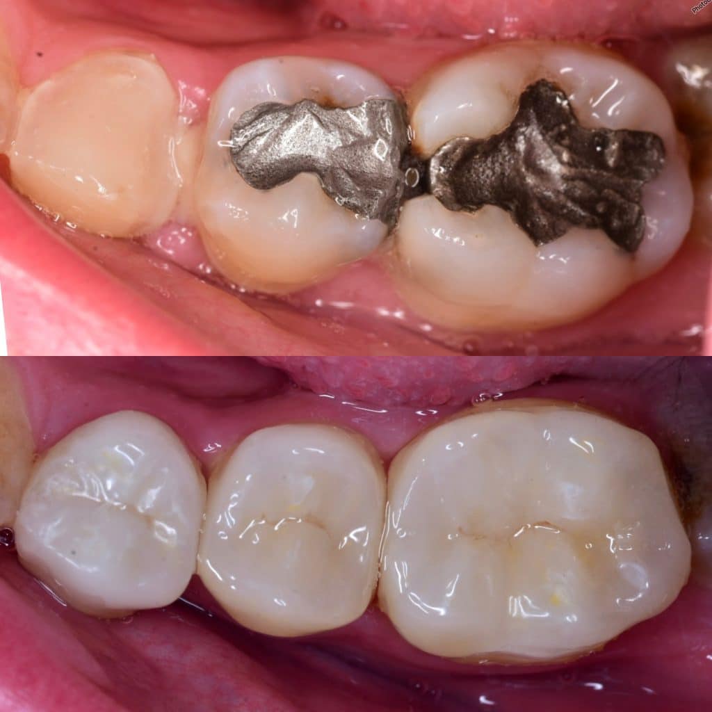
Replacement of old defective amalgam fillings with new Adhesive Partial coverage restorations , with different prep. modalities .
Veneer-lay for first premolar after endodontic retreatment , while overlays being done for 5 & 6
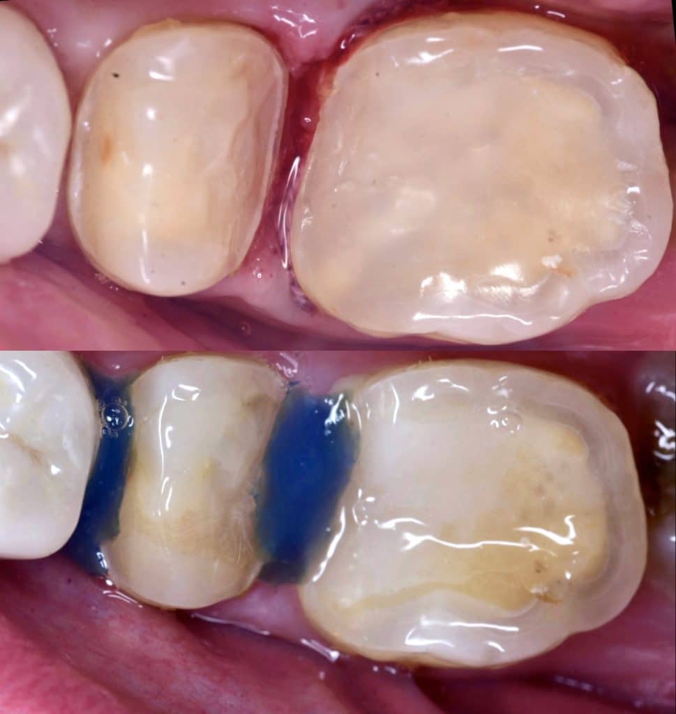
Where the more enamel exposed and more the dentin sealed ➡️ success rate will rises up and restorations will remain there
Adhesion is the key for seccess and Enamel margin is your comfort zone , Best adhesion exists where alot of enamel exists, where the good material being used in the right way .. gain the best from tooth structure by following the right technique then you’ll get the years standing restoration
Adhesive Dentistry is the new dentistry, is the dentistry towards conserving, saving and reinforcing
Share on: