Step by step for direct composite posterior
Initial situation showing the shadow of proximal caries
Pre wedging as forst step in Cl ll cavities after isolation
Cavity design after caries removal
Using CDD for more checking
Oops , look to the DEJ .. thats one of the goals of using CDD
After 2 times application of CDD the cavity now clean
Band and ring in place
The band sealed well by using wedge and teflon
IDS with gold standard clearfil SE bond
RC with flowable composite
DWT
Composite up techinque ,layer by layer even in small cavities with soft start curing to minimize the shrinkage as could as possible
Immediate result
Palatal view
Immediate befor final finishing and polishing
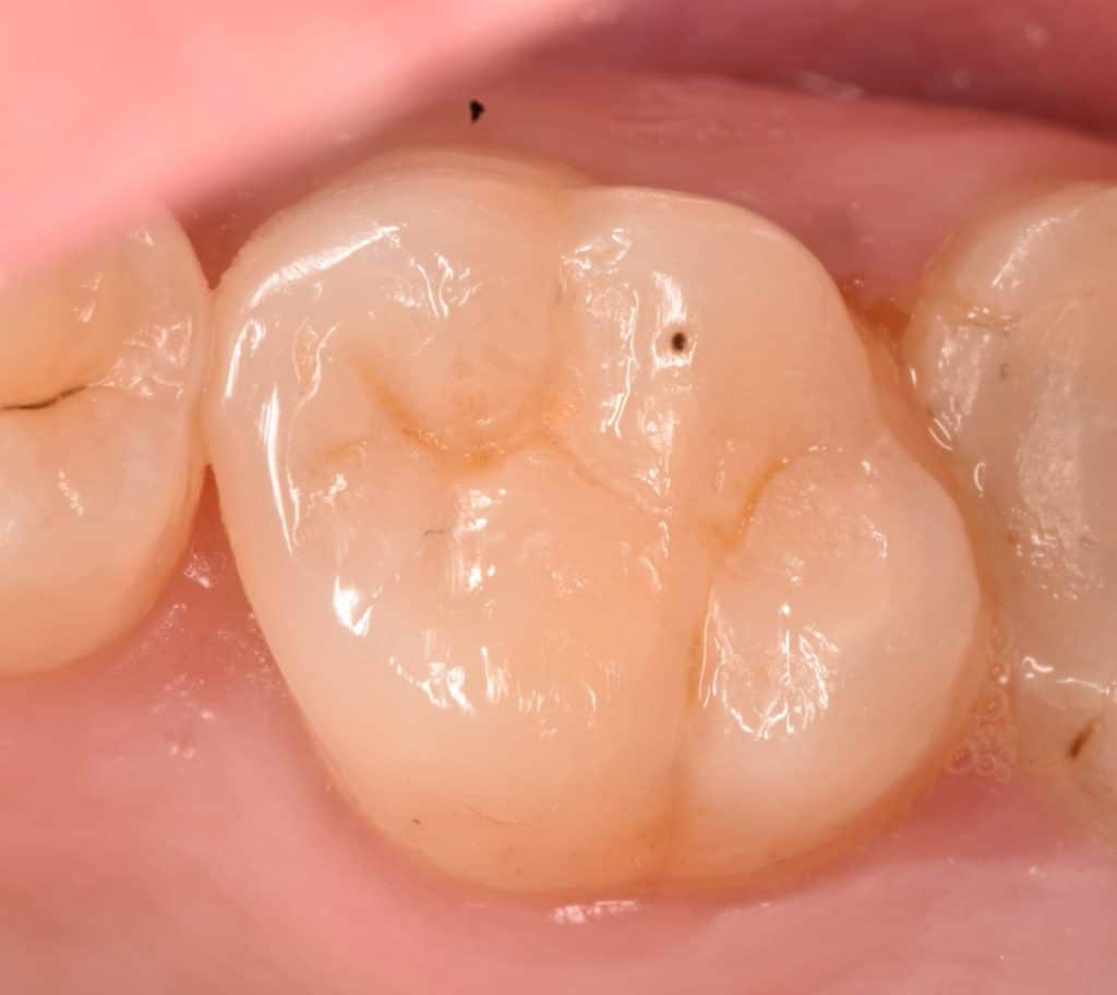
Final result
2 weeks later
Share on: