From a cart to a Ferrari.
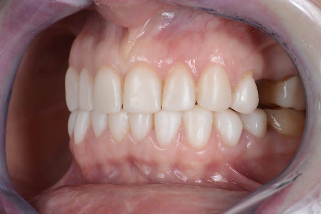
This patient who already had an esthetic treatment in the past in the manner of composite bonding/composite veneers addressed to us seeking for more durable and correct solution for her smile.
Although the cheap cost of composite veneers and the ease of their fabrication, this kind of treatment brings many disadvantages when we consider esthetic and functional rehabilitation.
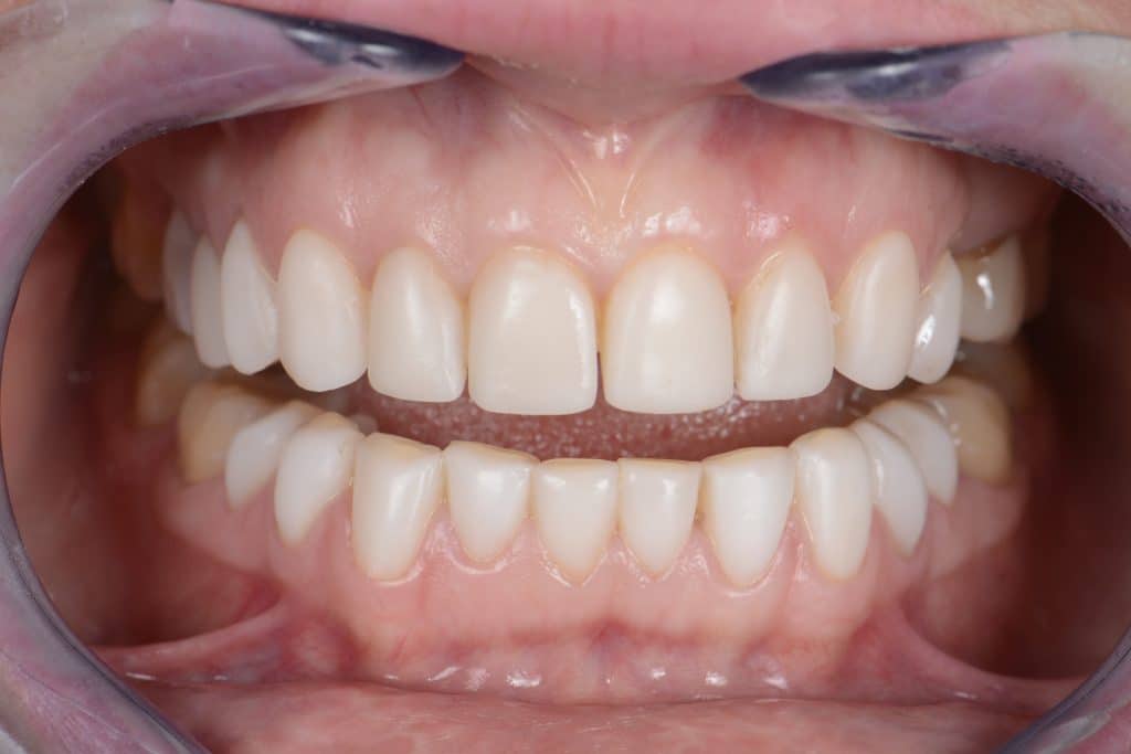
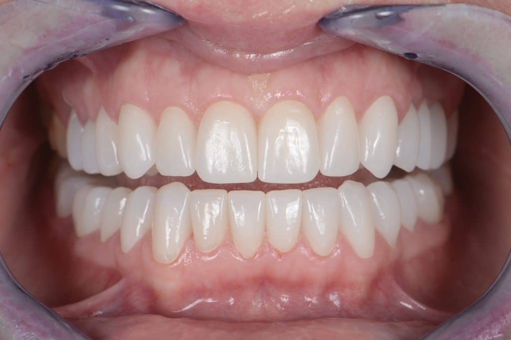
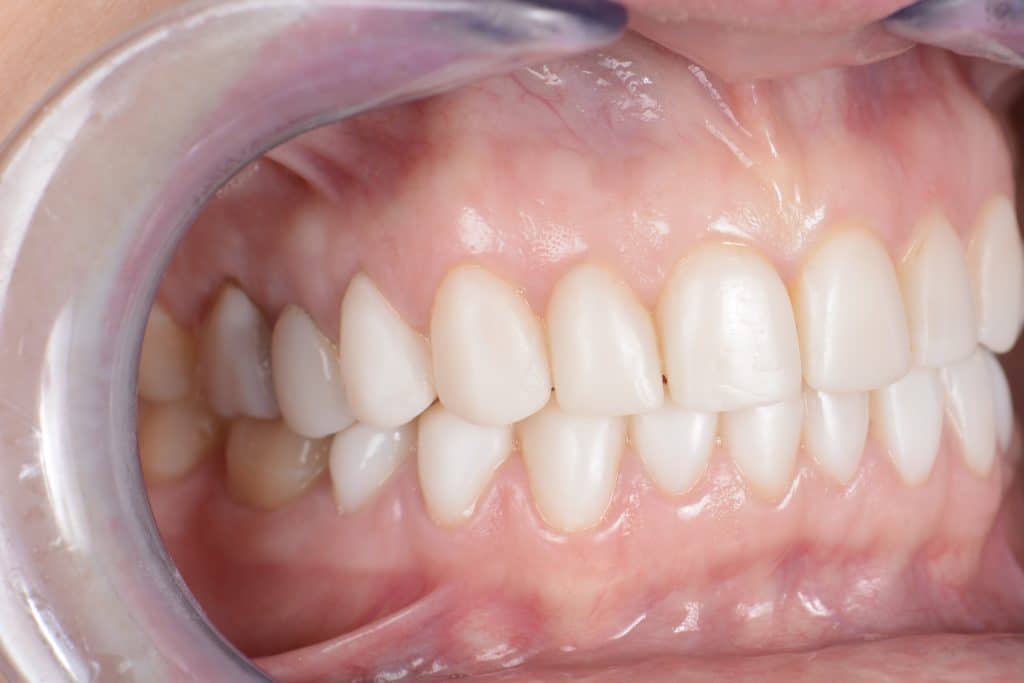
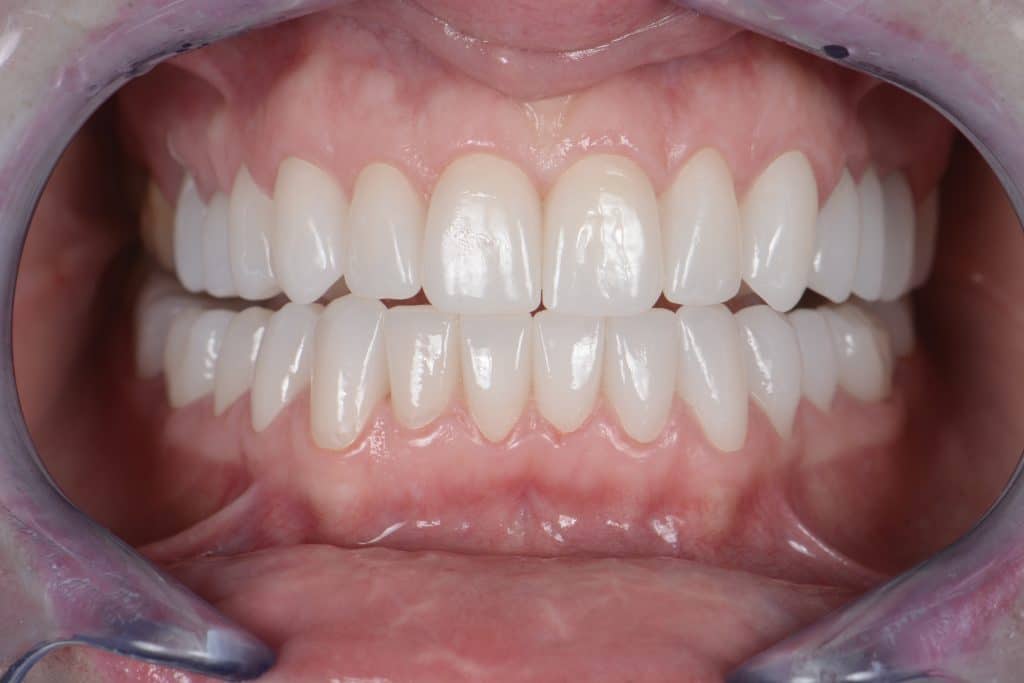
Here we were able to reestablish the lost vertical dimension , raise the bite and restore worn down tooth structure and create a healthy functional and esthetic smile.
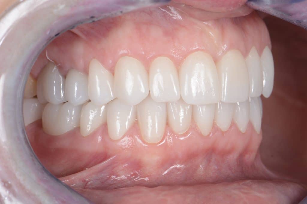
27 full coverage zirconium restorations with artistic hand stain by our master ceramist technician.
Color BL2 .
Swipe to the right to see full case before and after.
Big thanks to my team.
Share on: