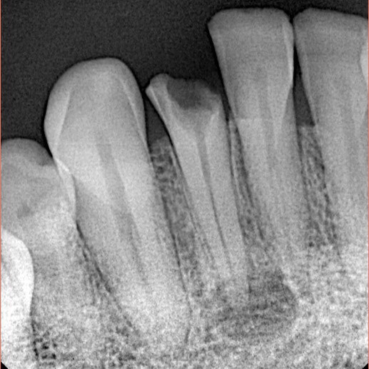
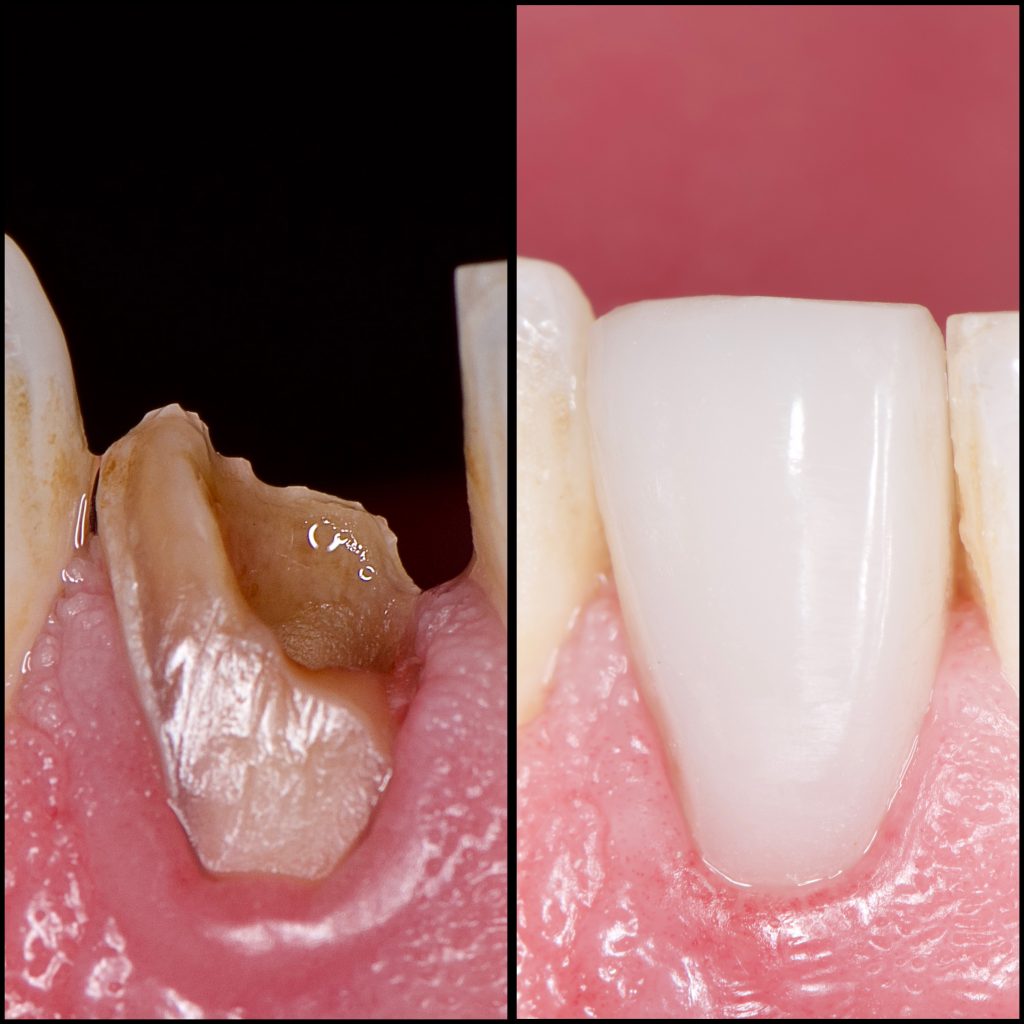
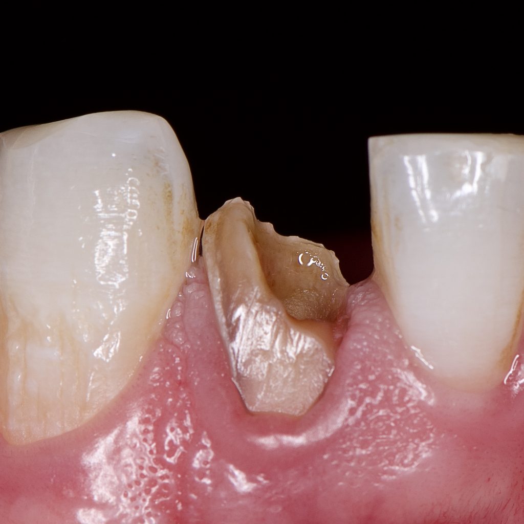
25 years old male had sport injury long period ago.
He Visited us because of pain in his fractured lower anterior tooth
Fractured Lower lateral incisor was necrotic and had periapical lesion as seen in X-ray
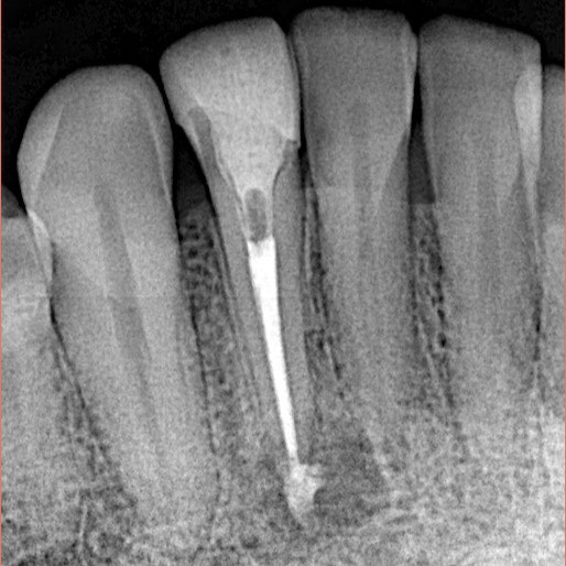
-Isolation with rubber dam
-Endodontic treatment with Bioceramic sealer and single cone
– SE clearfil bond
– Ribbond
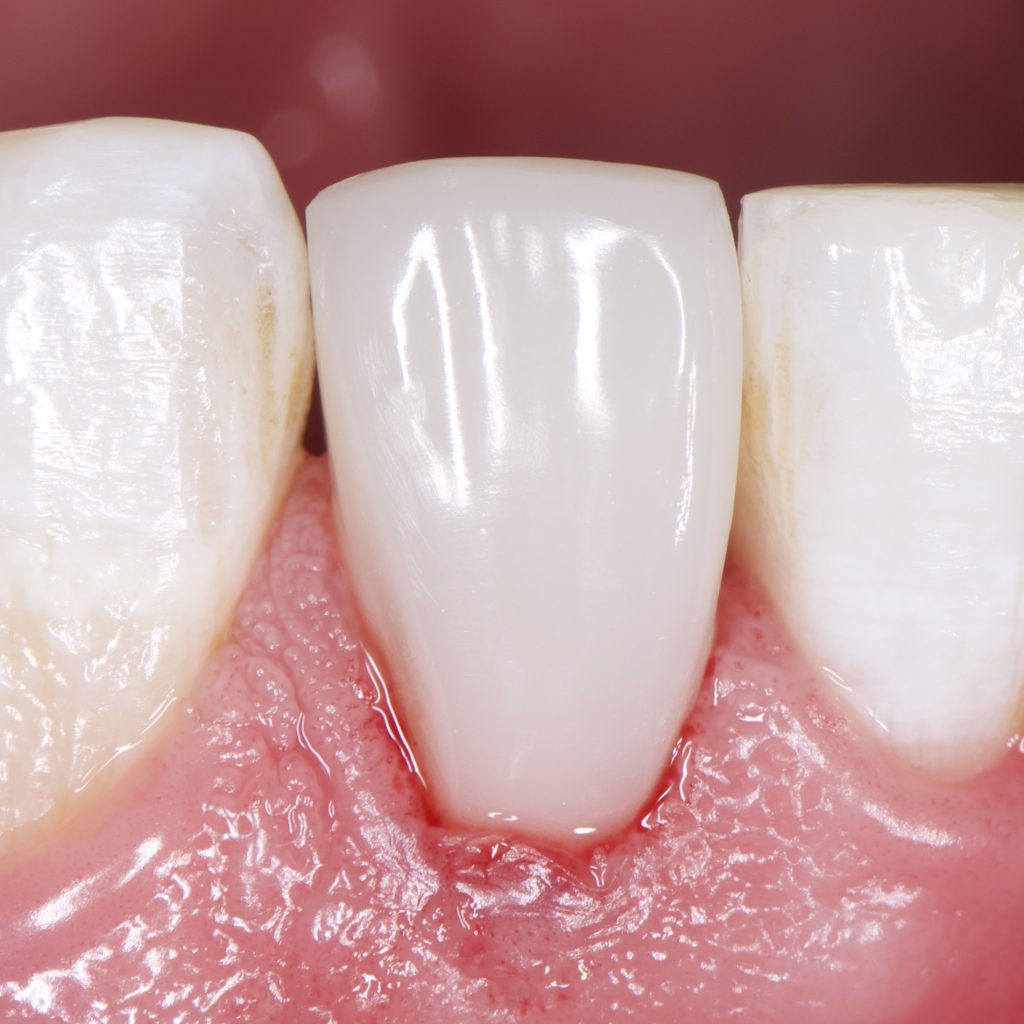
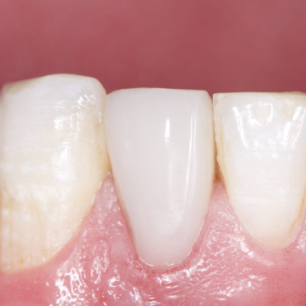
– Direct composite restoration, layering technique
1 month Follow up
Share on: