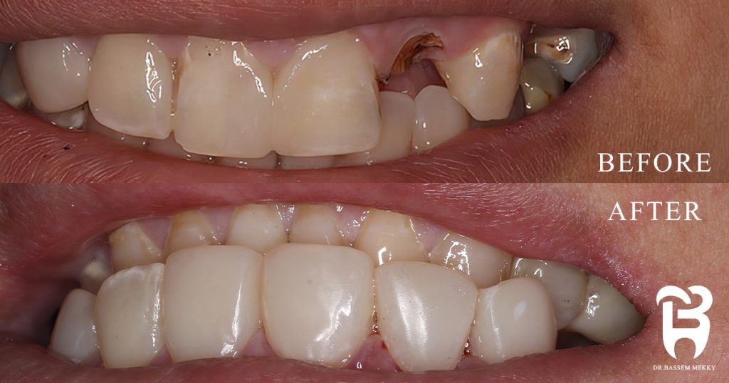
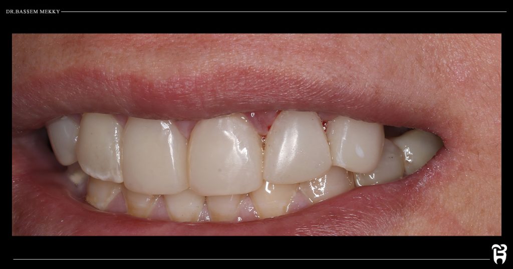
32 years old patient complain from esthetic problem and she said (I can’t smile comfortably)
after discussion with patient we choose the composite veneers to treat these problems
all the veneers are done except the right lateral incisor was a remaining root need a discussion for the treatment plan
the traditional way is to make a crown lengthening then post, core and crown
in my opinion this treatment was un aggressive treatment in esthetic zone
the bone will affect and the tooth will be weaker for any future retreatment for any defect will happen
and functional crown lengthening will cause gum ressicion in this area with bad appearance
so my treatment plan is going to be composite build up with long and short fibers (Infibra and ever x posterior) as support for tooth and restoration and increase the durability of restoration and make the retreatment much more easier, the bone will be available for implant, the dentin will be enough for post, and the tooth structure will be as it
Share on: