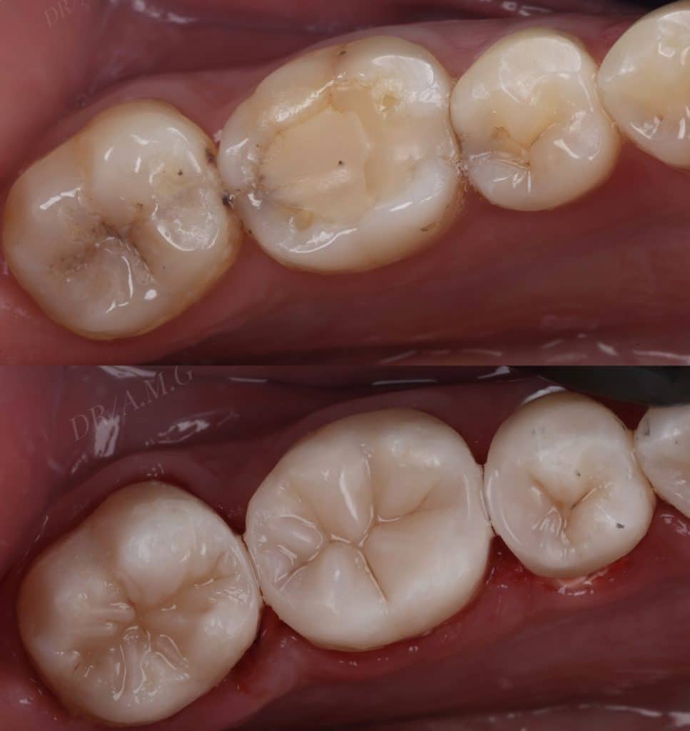
Changing defective old composite restorations
rubberdam applied then caries removal stage .
caries detetector dye used then sandblasting done using Aquacare device (29 micron aluminum oxide)
sectional matrices applied & garrison ring applied
composite used shofu beautiful LS
finishing & polishing done using one gloss from shofu and occluflex from Eve
occlusion check using shimstock done
Sandblasting
Pre operative photo
Share on: