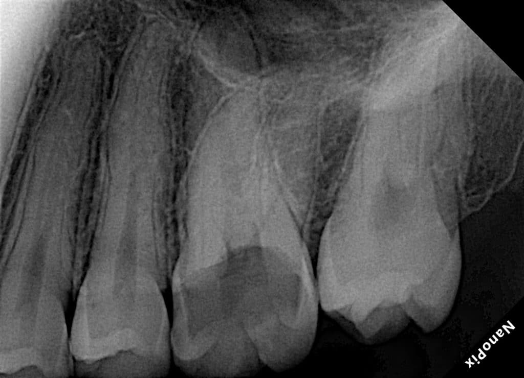
UL6 with SAP and deep palatal caries.
Caries removal and cleaning to determine the margin height then margin elevation as a pre endo build up under rubber dam isolation, endodontic treatment in the same visit to minimize flar up and direct restoration was done in the second visit.
Share on: