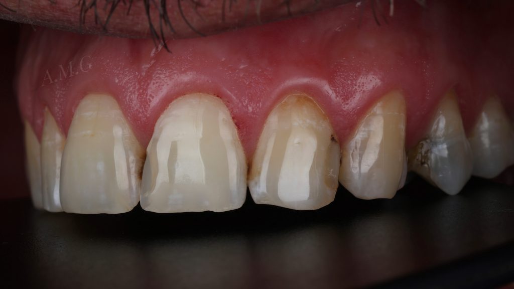
Front teeth with multiple proximal caries .
the treatment plan was 6 direct Composite veneers with proximal caries treatment.
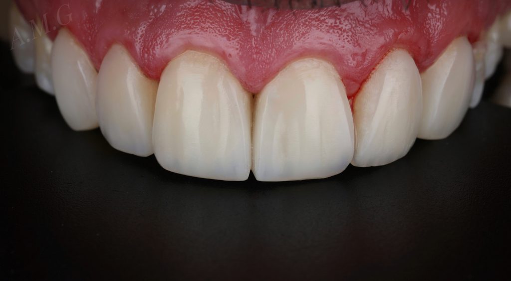
Rubberdam applied and complete caries removal done .
sandblasting with aluminum oxide 29 microns done using Aquacare device.
free hand palatal shell build up with Incisal composite from shofu
then dentin & enamel shade composite applied
finishing and polishing done using Optidisc from Kerr , eve twist polishing system, one gloss from shofu
Rubberdam removed then occlusal adjustment done .
Share on: