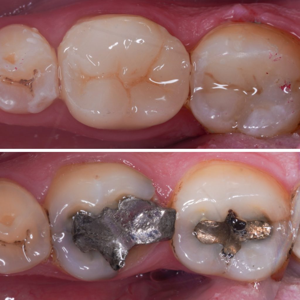
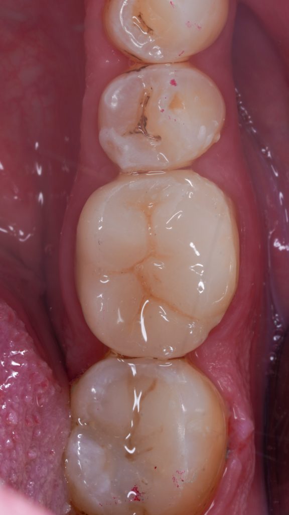
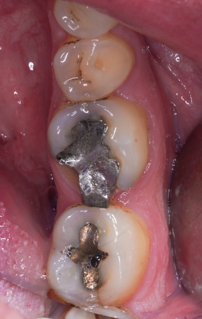
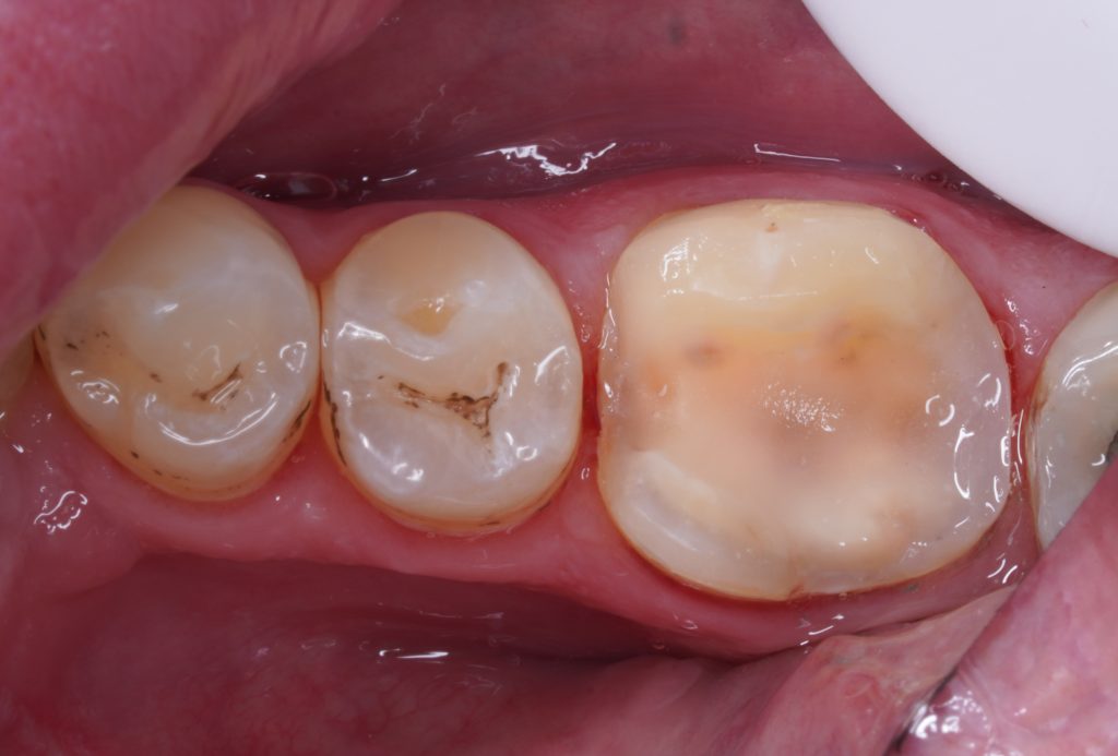
Patient came with fractured cusp of lower first molar complaining about sharp edge and sensitivity on cold.. after removing the old restoration and cement, cleaning the cavity and CDD application to ensure that no caries left behind.. biobase preparation and oral scan was taken to design the PBR the cementation was done in the second visit..
Share on: