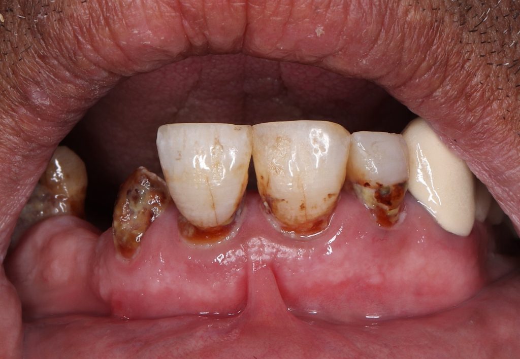
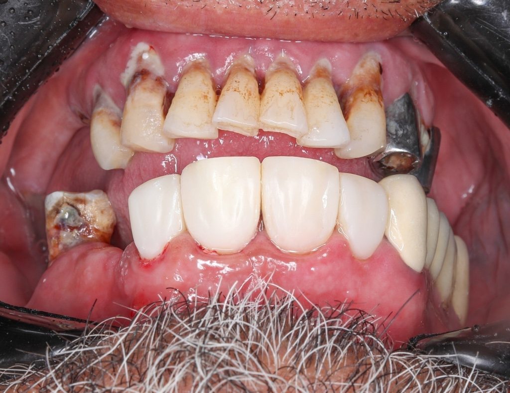
A case of 58 y old patient, he only wanted to have a better look at anterior area
I only used dentin & body shade ( Charisma Diamond A1 & Herculite from kerr A3 )
Ever x composite
This is a case of direct composite veneers for the 4 anterior teeth. Hope you like it, and feel free to ask me any question.
Share on: