Al-Salamu alaykom,
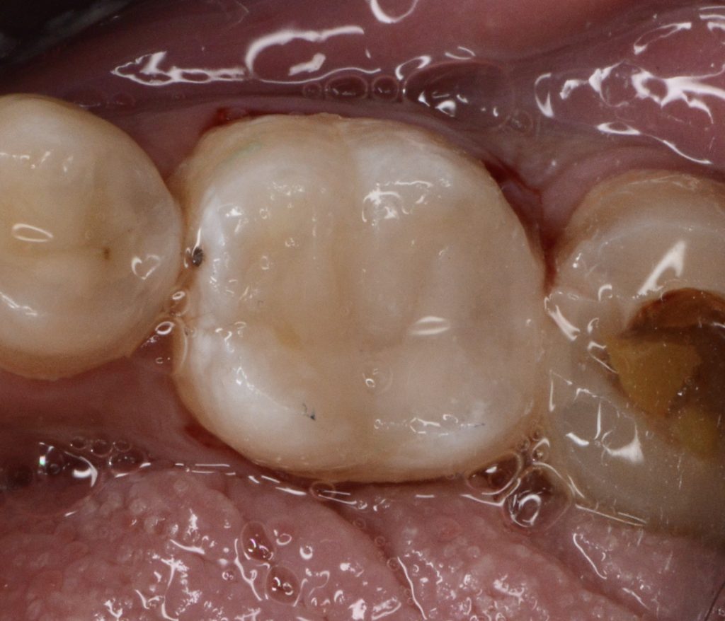
today we’re presenting a direct coronal seal approach using contemporary steps in order to be minimally invasive and keep as much as integral tooth structure as possible, God willing.
(Of course, indirect workflow will help in providing a closer structure to enamel, but the available plan was the direct one in a patient-tailored treatment).
Hope you enjoy the case.
Share on: