When the patient can not afford the cost of indirect restoration so we have to go with direct one and try to strengthen it by biomimetic materials like at least Ever X posterior
Technique: Composite up technique , Direct onlay
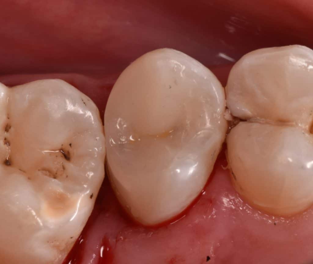
Upper 2nd premolar with deep caries lesion restored by direct composite restoration that reinforced by Ever X posterior for dentin replacement that will add more strength to the filling
When the patient can’t tolerate the cost of indirect lithium disilicate we should think of direct or semidirect restoration that afford an alternative solution with less cost than the indirect restoration
Here I choose to do direct restoration with composite and reinforced it with fibers that prevent cracks and fractures through the filling and so decrease the failure of the restoration, and with the evolution of adhesive system the fear of debonding become nothing if the steps of bonding done correctly, so when I have great bonding system and fibers to reinforced the restoration ,that should be the best alternative urgent treatment
Here some steps for long life bonding system
Immediate Dentin Sealing (I.D.S) is a concept by Pascal Magne that describe the infiltration of newly cut Dentin with Dentin adhesive to create the hybrid layer that mimic the dentino-enamel complex protecting it from bacterial leakage
Resin coating (RC) placing a thin layer (0.5)mm of microfilled flowable composite to protect the underlying hybrid layer and also let the adhesive resin to complete the polymerization reaction ((Jayasooriya et al .,2003))
IDS+RC will enhance the dentin bonding strength, the two protocol will increase the strength of dentin bond about 400% ((Magne et al .,2005 , Jayasooriya et al .,2003)
DWT (Decoupling with time) is anew concept by David Alleman that mean after curing the dentin bond we should wait for some minutes (decouple) to allow dentin bond get mature ((Alleman, 2021))
This importance of this time out time is very critical, it gives the resin monomer to convert into oligomers then finally small polymer , the rate of this conversion will completing 80-90% of monomer conversion ((Davidson et al ., 1984));((Feilzer et al .,1987))
So , IDS was done with gold standard clearfil SE bond , RC with flowable composite and the final restoration was direct composite
References
1- ALLEMAN . Decoupling with time.
2- Immediate Dentin Sealing: A Fundamental Procedure for Indirect Bonded Restorations (PASCAL MAGNE) . 2005
3- Efficacy of a resin coating on bond strengths of resin cement to dentin (Jayasooriya et al). 2003
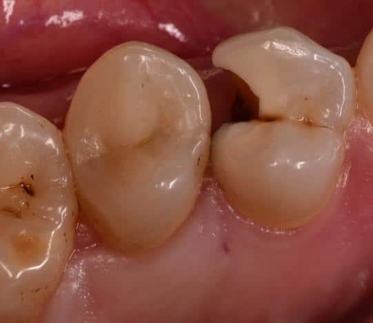
Initial deep marging Cl ll cavity
Saddle metal band for deep margin
Marginal elevation
Band in place , contact point
Converted to Cl l cavity
Palatal view
Ever x posterior for dentin replacement , strengthen the filling and can stop cracks
Immediate result
Palatal view
Immediate after rubber dam removal
Waiting for gingival healing
One week later
Look to the gingival healing
Acceptable marginal fitness
14 months follow-up
14 months follow-up
Share on: