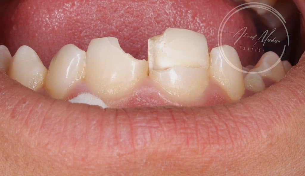
14 y male patient came to the office complaining of trauma in the anterior region
After clinical and radiographic examination , senstivity , mobility assessment
Tooth no 11 showed complicated crown root fracture , exposed pulp , closed apex
Tooth no 12 uncomplicated corwn fracture , class lV
21 22 are intact
Ttt plan :-
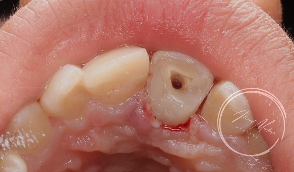
11 – gingivectomy , DME , build up , cleaning and shaping , intra canal medication and patient will be under follow up for the next month considering the initiation of internal or external resorption , after follow up RCT , fiber post will be placed
12 – direct composite restoration
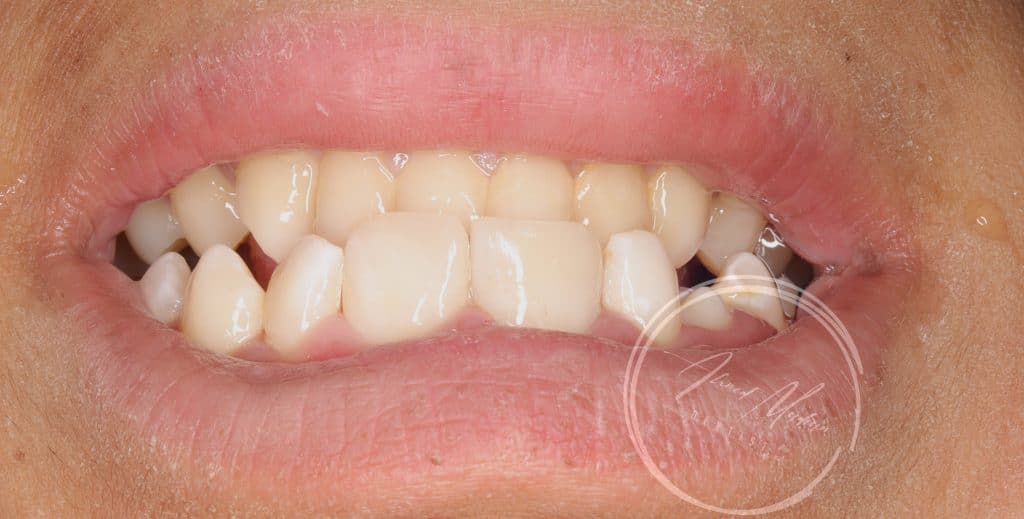
Now patient situation is stabilized and will under go regular follow ups and will be referred to orthodontist for further assessment
Share on: