Direct restoration for lower first, second, and third molars in a single visit
A female patient attend the clinic asking for restoring her lower molars all of them in a single visit because she will undergo medical treatment, her doctor told her to fix all of them in a single visit as she will not be able to do any dental treatment for the next 9 months, during diagnosis I told her that the second and third molar need indirect restorations and it takes multiple visits but she can’t, so I do for all of the 3 molars direct restoration with composite following the principles of modern adhesive dentistry, using gold standard clear fil SE bond, RC, DWT , Ever x posterior for dentin replacement
She was undergo Aspirin medication 💊 and refused to extract the third molar as it was severely decayed with almost very short clinical crown
so for the third molar, I use the bioactive composite as final restoration because of difficulty of isolation
For the first and second molars SHOFU composite for enamel replacement and bio active composite under it
I will take the second molar as example of my work
Initial situation showing severe decay of lower second and third molar , you can see the situation of the third molar
Initial cavity preparation, large deep cavity, caries all around
Occlusal cavity with very deep and large buccal extension
Isolation, stress free field
In Occlusal view you can see the caries extend in lingual wall
All caries and unsupported enamel removed , final cavity design
Final cavity design, occlusal, buccal ,mesial, distal and lingual extensions, the cavity ready for bonding, Clearfil SE bond used here for immediate dentin sealing
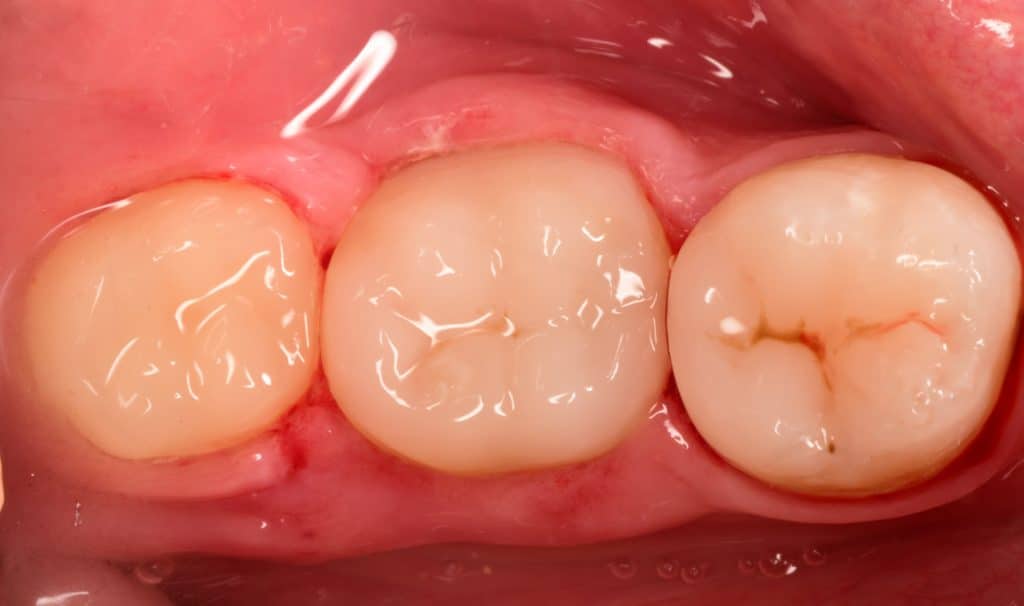
Initial results, the 3 molars now completed starting with the third molar then second molar and finally lower first molar
Occlusal view
Final result after finishing and polishing
Final result
Occlusal view
Share on: