Direct anterior composite for 14 years old child
Details under each photo
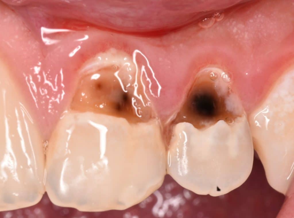
Initial situation showing large cervical caries in all his anterior teeth , I will take these 2 teeth as example the other teeth will posted in another post
Isolation
Cavity prep.
After that 👇
IDS with gold standard SE bond
RC by flowable composite
DWT
APX composite used for dentin replacement and tokuyama composite for enamel replacement
After completing the central now Lateral incisor isolation
Cavity prep.
IDS ,RC ,DWT and APX composite for dentin replacement and tokuyama composite for enamel replacement
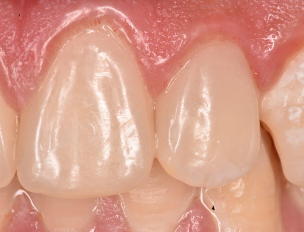
Immediate result
Immediate result
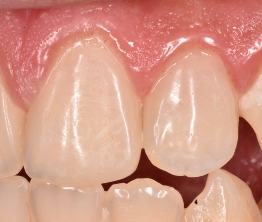
One month follow up
One month follow up, you can see the uniform color of the composite with the teeth 👍
Share on: