The patient visited the clinic, deeply concerned about the shape and proclination of her teeth.
“For the past ten years, I couldn’t smile because of how my teeth looked. It has a huge effect on my self-confidence. I just want a better, natural smile,” she explained.
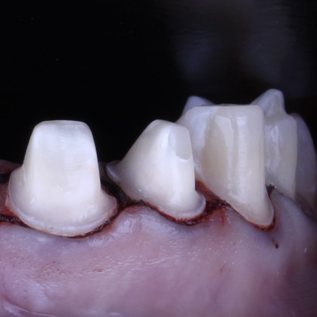
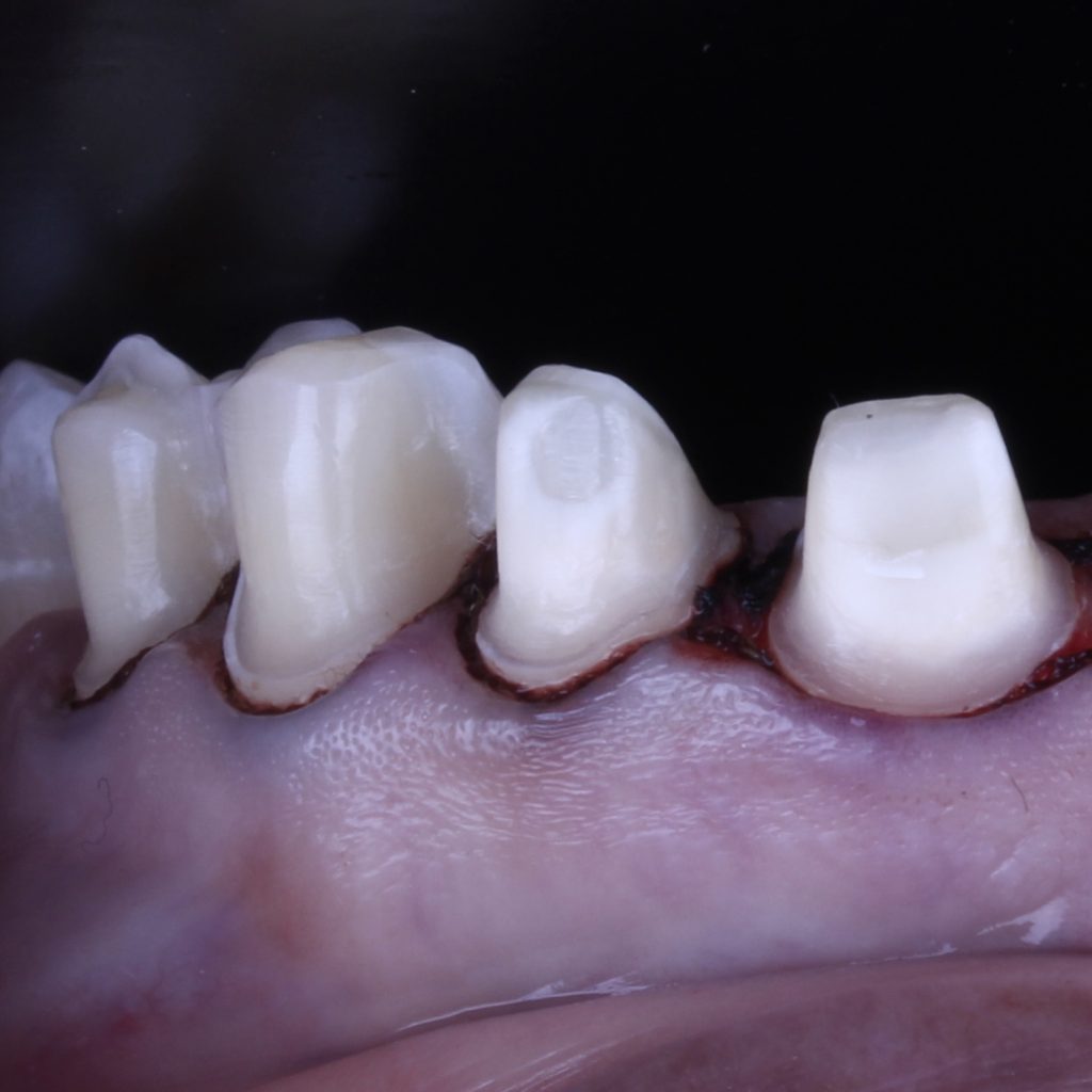
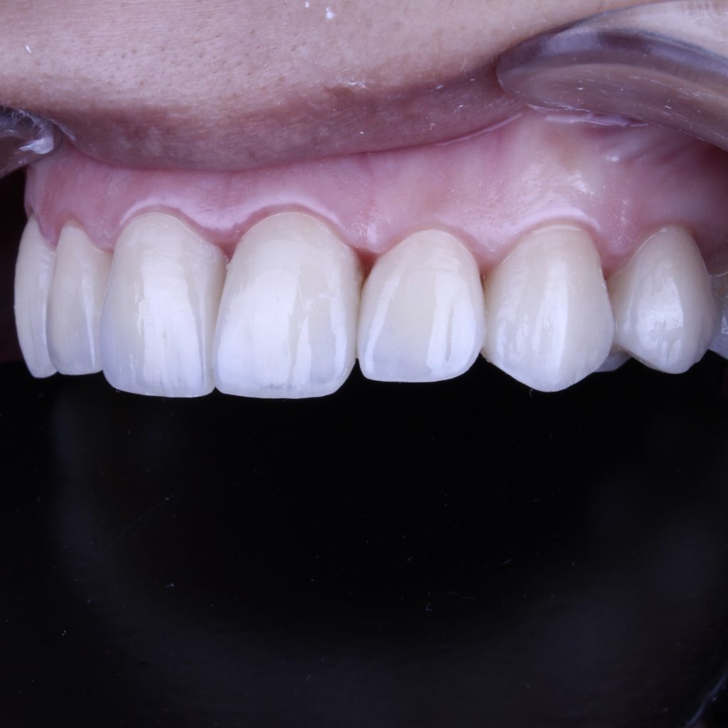
Although orthodontic treatment was the ideal first step, the patient declined it. Instead, we transformed her smile prosthetically using a combination of crowns and veneers for both the maxillary and mandibular teeth.
The result? A natural, confident smile that she can proudly show off again!
Share on: