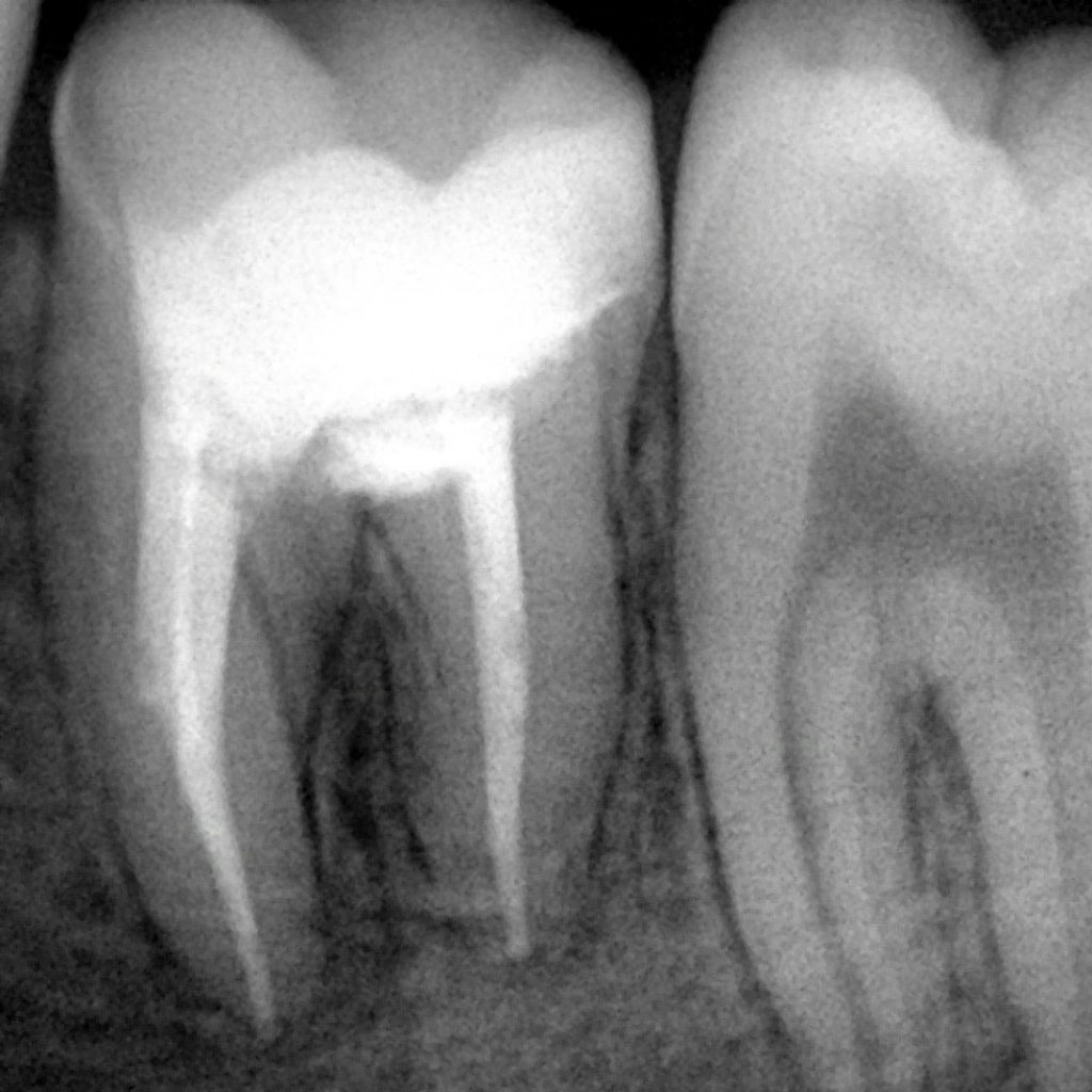
15 years old patient came to our clinic with pain in tooth no.46
After clinical diagnosis and x-ray we noticed structure of tooth is weak and hopeless and we noticed in x-ray the tooth is destructed and not restorable
But patient is young and doesn’t want lose tooth
After removing all caries we noticed shadow of redness near to bifurcation area ( this area had thin layer from cementom)
Tp r.c.t and remove thin layer of cementom replaced by bio c putty to increase strength of tooth and finally we did a direct restoration because patient is under 18 in future need overlay or crown
Share on: