Endo-Restorative Management of a Mandibular First Molar
Canal Disinfection and Biomimetic Cuspal Coverage Under Rubber Dam Isolation
Abstract
Mandibular first molars are subjected to high occlusal loads and frequently present with complex canal anatomy and significant structural compromise. Long-term success in these teeth depends on a seamless integration of endodontic treatment and definitive restorative reinforcement. This case describes a protocol-driven endo-restorative workflow for a lower first molar, performed under absolute rubber dam isolation, followed by immediate cuspal coverage using a biomimetic restorative approach.
Introduction
Lower first molars are among the most commonly endodontically treated teeth and also among the most frequently fractured when inadequately restored. Endodontic success alone is insufficient if the remaining tooth structure is not protected against functional stresses.
This case highlights the importance of:
- Strict rubber dam isolation
- Complete canal negotiation and disinfection
- Immediate coronal sealing
- Cuspal coverage to restore strength and function
Diagnosis and Treatment Planning
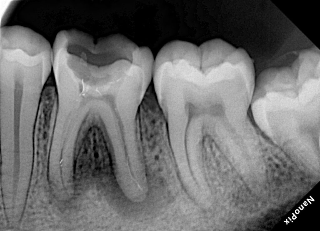
Clinical examination revealed a deeply carious mandibular first molar associated with pulpal pathology. Percussion sensitivity and radiographic findings confirmed the need for root canal treatment. The tooth exhibited weakened cusps due to caries and access requirements.
Treatment objectives:
- Complete chemomechanical debridement of the canal system
- Preservation of remaining dentin
- Immediate coronal seal
- Reinforcement of the tooth with cuspal coverage restoration
Clinical Procedure
Isolation
Absolute rubber dam isolation was established prior to access preparation. Isolation was maintained throughout both endodontic and restorative phases to ensure a contamination-free environment and optimal bonding conditions.
Access and Canal Management
Conservative access preparation was performed with attention to maintaining pericervical dentin. The canal system was identified and negotiated systematically. Working lengths were established, and patency was confirmed.
Cleaning and shaping were carried out using a controlled, biologically respectful approach, ensuring adequate irrigation and disinfection while preserving canal anatomy.
Obturation
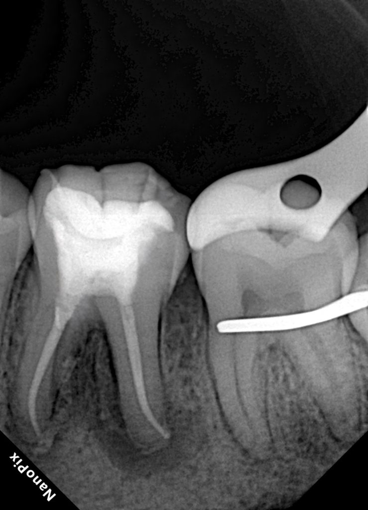
Following complete drying of the canals, obturation was performed to achieve a dense, three-dimensional seal. Special care was taken to ensure proper adaptation in the apical and coronal thirds.
A definitive coronal seal was placed immediately after obturation to prevent microleakage.
Restorative Phase
Core Build-Up
A bonded core build-up was performed under rubber dam isolation. The goal was to:
- Seal the access cavity
- Reinforce weakened walls
- Provide a stable foundation for cuspal coverage
Cuspal Coverage Restoration
Given the extent of tooth structure loss and the functional demands on mandibular first molars, cuspal coverage was indicated. Occlusal anatomy was rebuilt using a biomimetic approach to restore:
- Functional cusp inclines
- Proper occlusal contacts
- Even stress distribution during mastication
Finishing and polishing were completed to achieve smooth margins and harmonious occlusion.
Outcome
The final restoration provided:
- Complete canal disinfection and sealing
- Immediate coronal protection
- Reinforced cusps resistant to fracture
- Stable occlusion with functional anatomy
The tooth was returned to service with improved long-term prognosis.
Discussion
Mandibular first molars are exposed to significant occlusal forces, making them highly susceptible to post-endodontic fracture if restored inadequately. Evidence consistently supports cuspal coverage for endodontically treated posterior teeth to reduce fracture risk.
This case reinforces that endodontic treatment and definitive restoration should be viewed as a single continuous procedure rather than separate steps.
Conclusion
Predictable outcomes in lower molars require more than successful obturation. Respecting biology, maintaining isolation, and reinforcing structure through cuspal coverage are essential to long-term success.
Endodontics restores health. Biomimetic restoration preserves function.
References
- Vertucci FJ. Root canal anatomy of the human permanent teeth.
- Clark D, Khademi J. Modern endodontic access and restorative principles.
- Magne P, Belser U. Biomimetic restorative dentistry.
- Ng YL et al. Outcome of root canal treatment and restoration quality.
- Aquilino SA, Caplan DJ. Relationship between crown placement and survival of endodontically treated teeth.
{"source_type":"hypic","tiktok_developers_3p_anchor_params":"{"capability_extra_v2":{"edit":[{"panel":"hd_quality_picture"}]},"capability_key":["edit"],"filter_id":[],"client_key":"awgvo7gzpeas2ho6","template_id":""}","data":{"playId":"","appversion":"8.0.0","os":"ios","stickerId":"","product":"retouch","pictureId":"476EF807-5BDA-4216-ABA6-529E49867B41","infoStickerId":"","enter_from":"enter_launch","filterId":"","imageEffectId":"","activityName":""}}
{"source_type":"hypic","tiktok_developers_3p_anchor_params":"{"template_id":"","filter_id":[],"capability_key":["edit"],"client_key":"awgvo7gzpeas2ho6","capability_extra_v2":{"edit":[{"panel":"hd_quality_picture"}]}}","data":{"stickerId":"","os":"ios","filterId":"","playId":"","infoStickerId":"","pictureId":"664C4C4D-28DB-46CA-98C0-9C2C3C5984E1","imageEffectId":"","appversion":"8.0.0","activityName":"","enter_from":"enter_launch","product":"retouch"}}
{"source_type":"hypic","tiktok_developers_3p_anchor_params":"{"template_id":"","client_key":"awgvo7gzpeas2ho6","filter_id":[],"capability_extra_v2":{"edit":[{"panel":"hd_quality_picture"}]},"capability_key":["edit"]}","data":{"stickerId":"","pictureId":"CC9EDB2D-264C-45DF-B286-E83A4DC9AD9F","filterId":"","imageEffectId":"","infoStickerId":"","os":"ios","appversion":"8.0.0","product":"retouch","playId":"","activityName":"","enter_from":"enter_launch"}}
{"data":{"os":"ios","imageEffectId":"","infoStickerId":"","appversion":"8.0.0","product":"retouch","filterId":"","playId":"","stickerId":"","activityName":"","pictureId":"7E6E8328-23FF-4D04-AAAF-DC5E9C1D73A1","enter_from":"enter_launch"},"source_type":"hypic","tiktok_developers_3p_anchor_params":"{"filter_id":[],"capability_extra_v2":{"edit":[{"panel":"hd_quality_picture"}]},"client_key":"awgvo7gzpeas2ho6","template_id":"","capability_key":["edit"]}"}
Share on: