How Proper Isolation and Magnification Redefine Diagnosis and Esthetic Outcomes
Abstract
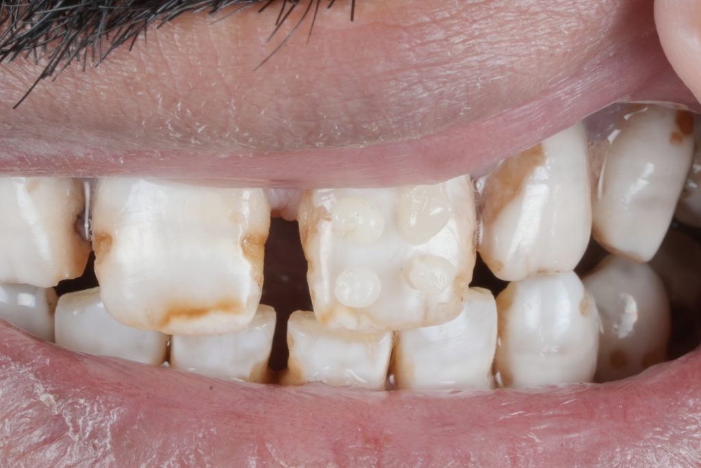
True esthetic dentistry does not begin with restorative materials or ceramic selection. It begins with understanding the condition of the enamel itself. Under proper isolation and magnification, enamel reveals a detailed narrative of demineralisation, developmental defects, discoloration, and marginal compromise that is often masked in routine clinical settings. This article highlights the importance of slowing down, isolating properly, and respecting biological principles to achieve predictable diagnosis, planning, and long-term restorative success.
Introduction
Modern dentistry often moves fast. Digital workflows, restorative materials, and cosmetic demands can overshadow the most critical diagnostic step: reading the enamel. When teeth are isolated properly and viewed under magnification, enamel becomes a diagnostic map rather than a simple surface.
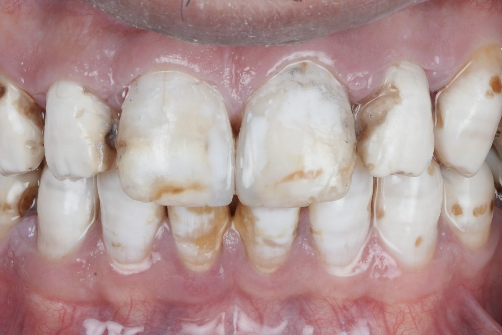
Demineralised zones, hypoplastic defects, marginal breakdown, and color discrepancies are frequently underestimated when examined without isolation. These subtle findings play a decisive role in treatment planning and directly influence restorative longevity.
The Role of Isolation in True Diagnosis
Rubber dam isolation is not merely a moisture-control tool. It is a diagnostic instrument.
Under isolation:
- Saliva-induced gloss is eliminated
- Color distortions caused by hydration are reduced
- Enamel defects become clearly visible
- Margins and transition zones are exposed
This clarity allows the clinician to distinguish between:
- Surface discoloration vs. intrinsic defects
- Active demineralisation vs. arrested lesions
- Hypoplasia vs. wear-related enamel loss
Without isolation, these distinctions are easily missed, leading to over-treatment or incorrect material selection.
Magnification: Seeing What the Naked Eye Cannot
Magnification transforms dentistry from approximation to precision.
Under magnification:
- Enamel prism orientation becomes visible
- Micro-cracks and craze lines can be identified
- Marginal integrity can be assessed accurately
- Adhesive interfaces can be evaluated critically
This level of visibility is essential when planning conservative restorative or esthetic procedures. It allows clinicians to respect intact enamel while addressing compromised zones selectively.
Enamel as a Biological Substrate
Enamel is not uniform. Its optical and structural characteristics vary depending on:
- Developmental history
- Environmental exposure
- Functional stress
- Previous restorative interventions
Hypoplastic enamel behaves differently under adhesive protocols compared to sound enamel. Demineralised enamel requires modified bonding strategies. Discolored enamel demands optical correction rather than aggressive removal.
Understanding these variations is the foundation of biomimetic dentistry.
From Diagnosis to Smarter Treatment Planning
Once enamel defects are clearly visualised, treatment planning becomes more precise:
- Sound enamel → preserved and bonded
- Demineralised enamel → stabilised and reinforced
- Hypoplastic areas → selectively restored
- Compromised margins → redesigned rather than masked
This approach avoids unnecessary preparation and aligns restorative decisions with biological reality rather than cosmetic shortcuts.
Why Esthetics Start Before Restorations
Esthetic success is often attributed to:
- Composite layering
- Ceramic translucency
- Shade matching
In reality, esthetics begin much earlier.
They begin with:
- Understanding enamel thickness
- Identifying optical transitions
- Respecting natural surface texture
- Preserving healthy margins
Restorations placed on misunderstood substrates may look acceptable initially but fail biologically and mechanically over time.
Predictability Through Biological Respect
When clinicians slow down, isolate properly, and work under magnification:
- Diagnosis becomes clearer
- Material selection becomes logical
- Adhesive outcomes improve
- Longevity increases
This discipline transforms dentistry from technique-driven to biology-driven practice.
Discussion
Many restorative failures are not caused by material limitations but by incomplete diagnosis. Enamel defects left unrecognised under poor visibility often lead to marginal staining, debonding, or esthetic mismatch.
By prioritising substrate evaluation before intervention, clinicians reduce retreatment rates and improve patient trust through transparent, honest dentistry.
Conclusion
Dentistry does not begin with composites, ceramics, or digital tools. It begins with understanding enamel.
Proper isolation and magnification allow enamel to tell its story clearly. When that story is respected, treatment planning becomes smarter, restorations become conservative, and outcomes become predictable.
This is not about slowing dentistry down unnecessarily.
It is about slowing down where it matters most.
References
- Van Meerbeek B et al. Adhesive dentistry: state of the art and future directions.
- Magne P, Belser U. Bonded restorations and enamel preservation.
- Clark D, Khademi J. Modern concepts in conservative dentistry and magnification.
- Dietschi D. Layering concepts and enamel optical behavior.
- Terry DA. Clinical evaluation of enamel substrate and esthetic predictability.
{"source_type":"hypic","tiktok_developers_3p_anchor_params":"{"filter_id":[],"client_key":"awgvo7gzpeas2ho6","template_id":"","capability_extra_v2":{"edit":[{"panel":"hd_quality_picture"}]},"capability_key":["edit"]}","data":{"pictureId":"B3F9A507-0CB9-455C-AE06-9BEA341818A9","filterId":"","os":"ios","enter_from":"enter_launch","playId":"","product":"retouch","stickerId":"","infoStickerId":"","appversion":"7.9.0","activityName":"","imageEffectId":""}}
{"source_type":"hypic","tiktok_developers_3p_anchor_params":"{"client_key":"awgvo7gzpeas2ho6","template_id":"","filter_id":[],"capability_extra_v2":{"edit":[{"panel":"hd_quality_picture"}]},"capability_key":["edit"]}","data":{"stickerId":"","playId":"","os":"ios","appversion":"7.9.0","product":"retouch","filterId":"","activityName":"","infoStickerId":"","pictureId":"E94FD91C-301A-441F-826A-9F3E450E483E","imageEffectId":"","enter_from":"enter_launch"}}
{"source_type":"hypic","tiktok_developers_3p_anchor_params":"{"capability_extra_v2":{"edit":[{"panel":"hd_quality_picture"}]},"client_key":"awgvo7gzpeas2ho6","template_id":"","filter_id":[],"capability_key":["edit"]}","data":{"os":"ios","product":"retouch","infoStickerId":"","filterId":"","activityName":"","imageEffectId":"","pictureId":"ED8A8946-D2D4-435B-8121-00732B808400","appversion":"7.9.0","enter_from":"enter_launch","stickerId":"","playId":""}}
{"source_type":"hypic","tiktok_developers_3p_anchor_params":"{"template_id":"","client_key":"awgvo7gzpeas2ho6","filter_id":[],"capability_key":["edit"],"capability_extra_v2":{"edit":[{"panel":"hd_quality_picture"}]}}","data":{"enter_from":"enter_launch","activityName":"","os":"ios","appversion":"7.9.0","playId":"","filterId":"","pictureId":"2340DC60-4641-442D-9176-4109F694ECE6","infoStickerId":"","product":"retouch","stickerId":"","imageEffectId":""}}
{"tiktok_developers_3p_anchor_params":"{"filter_id":[],"template_id":"","capability_key":["edit"],"capability_extra_v2":{"edit":[{"panel":"hd_quality_picture"}]},"client_key":"awgvo7gzpeas2ho6"}","source_type":"hypic","data":{"os":"ios","activityName":"","playId":"","imageEffectId":"","product":"retouch","infoStickerId":"","pictureId":"30A48A10-DDC0-4550-B260-AFB1DE317A87","stickerId":"","filterId":"","appversion":"7.9.0","enter_from":"enter_launch"}}
{"tiktok_developers_3p_anchor_params":"{"capability_key":["edit"],"client_key":"awgvo7gzpeas2ho6","filter_id":[],"template_id":"","capability_extra_v2":{"edit":[{"panel":"hd_quality_picture"}]}}","data":{"imageEffectId":"","product":"retouch","playId":"","os":"ios","pictureId":"0EC4DE09-B2C6-4648-AF3D-5F2654EAADCE","activityName":"","filterId":"","infoStickerId":"","appversion":"7.9.0","enter_from":"enter_launch","stickerId":""},"source_type":"hypic"}
{"tiktok_developers_3p_anchor_params":"{"client_key":"awgvo7gzpeas2ho6","filter_id":[],"capability_key":["edit"],"template_id":"","capability_extra_v2":{"edit":[{"panel":"hd_quality_picture"}]}}","data":{"filterId":"","os":"ios","product":"retouch","infoStickerId":"","pictureId":"85D86058-EC7E-4C91-B2F5-7CE683372B97","stickerId":"","imageEffectId":"","enter_from":"enter_launch","playId":"","appversion":"7.9.0","activityName":""},"source_type":"hypic"}
Share on: