Endo-Restorative Management of a Maxillary Molar with MB2
From Canal Disinfection to Biomimetic Cuspal Coverage Under Rubber Dam Isolation
Abstract
Maxillary molars present a unique endodontic challenge due to complex canal anatomy, particularly the frequent presence of a second mesiobuccal canal (MB2). Failure to locate and treat MB2 is a recognised cause of endodontic failure. This case describes a full endo-restorative workflow for a maxillary molar, including MB2 negotiation, three-dimensional obturation, and definitive cuspal coverage restoration under absolute rubber dam isolation. The objective was to restore both biological health and structural integrity using a predictable, protocol-driven approach.
Introduction
Endodontic success does not end at obturation. In posterior teeth, long-term prognosis is equally dependent on immediate and appropriate coronal reinforcement. Maxillary molars, due to thin remaining cusps and complex occlusal loading, require a combined endo-restorative strategy rather than isolated procedures.
This case highlights the importance of:
- Identifying and treating MB2
- Maintaining strict isolation
- Sealing the endodontic space effectively
- Providing cuspal coverage to prevent structural failure
Diagnosis and Treatment Planning
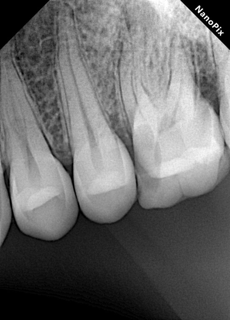
Clinical examination revealed a symptomatic maxillary molar with deep caries and compromised coronal structure. Vitality testing indicated irreversible pulpal pathology. Radiographic evaluation suggested complex canal anatomy with a high likelihood of an untreated MB2.
Treatment objectives:
- Complete chemomechanical disinfection including MB2
- Preserve remaining tooth structure
- Provide immediate coronal seal
- Restore occlusal function with cuspal coverage
Clinical Procedure
Isolation
Absolute rubber dam isolation was established prior to access preparation. Isolation was maintained throughout endodontic and restorative phases to eliminate salivary contamination and enhance procedural accuracy.
Access and Canal Location
Conservative access preparation was performed with emphasis on visualization of the pulpal floor anatomy. The main mesiobuccal canal (MB1) was identified first, followed by careful exploration of the mesiobuccal groove.
Using magnification and tactile exploration, MB2 was located and negotiated. Canal patency was confirmed, and working lengths were established for all canals.
Cleaning and Shaping
Canals were prepared using a crown-down approach with copious irrigation. Emphasis was placed on:
- Effective irrigation dynamics
- Respecting canal curvature
- Avoiding unnecessary dentin removal
Special attention was given to MB2 due to its narrow diameter and anatomical variability.
Obturation
Following complete drying of the canal system, obturation was performed to achieve a dense, three-dimensional seal. All canals, including MB2, were obturated to full working length with confirmed radiographic adaptation.
A definitive coronal seal was established immediately after obturation.
Restorative Phase
Core Build-Up
A bonded core build-up was performed under rubber dam isolation to reinforce remaining tooth structure. The build-up aimed to:
- Seal the endodontic access
- Distribute occlusal stresses
- Create a stable foundation for cuspal coverage
Cuspal Coverage Restoration
Given the extent of structural loss and endodontic access, cuspal coverage was indicated to prevent fracture. Occlusal anatomy was rebuilt using a biomimetic approach, restoring:
- Functional cusp anatomy
- Proper occlusal contacts
- Axial load distribution
The restoration was finished and polished to achieve smooth margins and harmonious occlusion.
Outcome
The final result demonstrated:
- Successful negotiation and obturation of MB2
- Adequate coronal seal
- Reinforced cuspal structure
- Stable occlusion with functional anatomy
The tooth was returned to function with improved structural prognosis and reduced risk of fracture.
Discussion
Missed MB2 canals remain a primary cause of failure in maxillary molars. This case reinforces the need for:
- Anatomically driven access
- Systematic exploration of the mesiobuccal groove
- Integration of endodontic and restorative planning
Equally important is immediate cuspal coverage following endodontic treatment, especially in maxillary molars subjected to complex occlusal forces.
Endodontics without restorative foresight compromises long-term success.
Conclusion
Predictable outcomes in maxillary molars demand more than canal filling. Success lies in respecting anatomy, securing isolation, treating MB2, and reinforcing the tooth structurally.
Endodontics and restoration are not separate disciplines in posterior teeth—they are one continuous workflow.
References
- Vertucci FJ. Root canal anatomy of the human permanent teeth.
- Cleghorn BM, Christie WH, Dong CC. Root and canal morphology of maxillary molars.
- Clark D, Khademi J. Modern molar endodontic access and restoration concepts.
- Magne P, Belser U. Biomimetic restorative dentistry principles.
- Ng YL et al. Factors influencing the outcome of root canal treatment.
Share on: