Precision in Proximal Form
Class II Composite Restoration Under Rubber Dam Isolation in a Vital Tooth
Abstract
Restoring a Class II cavity is not simply about filling a defect; it is about re-establishing proximal anatomy, contact integrity, and occlusal harmony while preserving pulpal vitality. This case demonstrates a protocol-driven Class II composite restoration performed under absolute rubber dam isolation, using controlled caries removal and precise matrix management to rebuild natural proximal contour and contact predictably.
Introduction
Class II restorations remain one of the most technique-sensitive procedures in restorative dentistry. Failure to recreate correct proximal form and contact can lead to food impaction, periodontal inflammation, secondary caries, and patient dissatisfaction.
Predictable outcomes depend not on speed or material choice alone, but on isolation, visibility, and strict adherence to adhesive protocols. This case highlights a conservative approach to restoring a vital posterior tooth with emphasis on biologic respect and anatomical accuracy.
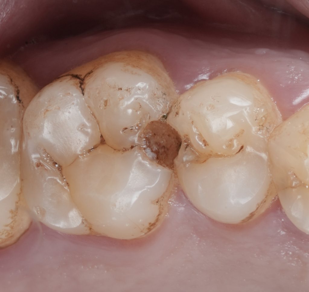
Diagnosis and Case Assessment
Clinical examination revealed a proximal carious lesion affecting a vital posterior tooth. Pulp vitality tests were positive, and no signs of irreversible pulpal pathology were present. Radiographic assessment confirmed caries limited to dentin without pulpal involvement.
The treatment objective was to:
- Preserve pulp vitality
- Achieve complete caries removal
- Reconstruct proper proximal contact and contour
- Restore function and occlusal stability
Clinical Protocol
Isolation
Absolute rubber dam isolation was established prior to operative procedures. This ensured:
- A dry, contamination-free field
- Accurate shade perception
- Improved adhesive performance
- Enhanced visibility of cavity margins
Isolation was maintained throughout the procedure without compromise.
Cavity Preparation and Caries Removal
Caries removal was performed conservatively, focusing on complete elimination of infected dentin while preserving sound tooth structure. The cavity design respected enamel margins and avoided unnecessary extension.
Special attention was given to the gingival margin to ensure clean, accessible bonding surfaces.
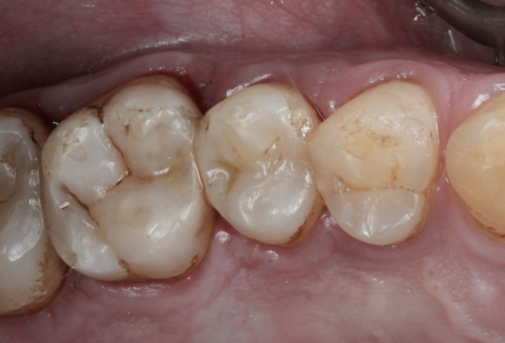
Matrix System and Proximal Control
A sectional matrix system with controlled separation was used to recreate natural proximal anatomy. Proper matrix adaptation allowed:
- Accurate emergence profile
- Tight, functional proximal contact
- Correct contour without overhangs
Wedges were placed to seal the gingival margin and provide slight tooth separation for predictable contact formation.
Adhesive Protocol
A selective enamel etch strategy was employed, followed by application of a universal adhesive system according to manufacturer guidelines. Strict timing and air-thinning protocols were respected to optimise bond strength.
Composite Placement
Composite was placed incrementally using an anatomic layering approach:
- Initial proximal wall build-up to establish contact
- Incremental dentin replacement
- Final enamel contouring to reproduce natural morphology
Each increment was carefully adapted and polymerised to minimise shrinkage stress and marginal gaps.
Finishing and Occlusal Adjustment
Following removal of the matrix, proximal contact was verified clinically. Finishing and polishing were performed to refine marginal integrity, smooth proximal surfaces, and re-establish occlusal harmony.
Occlusion was checked in static and dynamic movements to ensure functional stability.
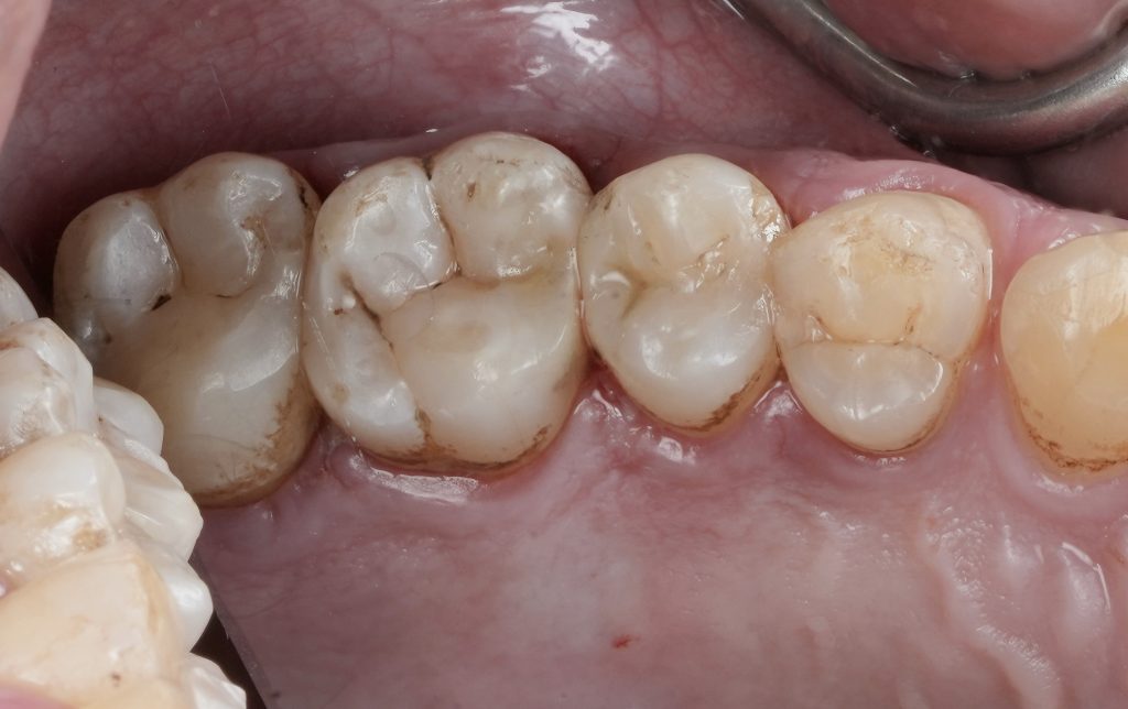
Outcome
The final restoration demonstrated:
- Tight, anatomically correct proximal contact
- Smooth marginal adaptation
- Preserved pulp vitality
- Natural contour consistent with adjacent teeth
The patient reported immediate comfort with no post-operative sensitivity.
Discussion
Class II restorations fail most commonly due to inadequate isolation, improper matrix selection, or rushed adhesive protocols. This case reinforces that predictable proximal restorations are the result of:
- Absolute isolation
- Controlled separation
- Anatomical layering
- Respect for biologic principles
When performed systematically, direct composite restorations can reliably replicate natural tooth form and function.
Conclusion
Predictable Class II restorations are not achieved by chance. They are the outcome of discipline, visibility, and respect for tooth biology.
By prioritising isolation, controlled proximal contouring, and conservative adhesive techniques, vital posterior teeth can be restored with longevity, comfort, and functional success.
References
- Van Meerbeek B et al. Adhesive strategies for posterior composite restorations.
- Dietschi D. Optimising proximal contacts in direct composite restorations.
- Clark D, Khademi J. Modern approaches to conservative operative dentistry.
- Opdam NJ et al. Longevity of posterior composite restorations.
- Magne P. Biomimetic principles applied to direct restorative dentistry.
{"source_type":"hypic","tiktok_developers_3p_anchor_params":"{"filter_id":[],"capability_extra_v2":{"edit":[{"panel":"hd_quality_picture"}]},"client_key":"awgvo7gzpeas2ho6","capability_key":["edit"],"template_id":""}","data":{"appversion":"7.9.0","stickerId":"","filterId":"","os":"ios","activityName":"","infoStickerId":"","enter_from":"enter_launch","product":"retouch","pictureId":"4B1CA3EF-33F4-4E37-9FAC-B62CA733D825","imageEffectId":"","playId":""}}
{"tiktok_developers_3p_anchor_params":"{"filter_id":[],"capability_extra_v2":{"edit":[{"panel":"hd_quality_picture"}]},"template_id":"","capability_key":["edit"],"client_key":"awgvo7gzpeas2ho6"}","data":{"enter_from":"enter_launch","pictureId":"0441F65D-82B4-428B-9CB5-7129A927945A","stickerId":"","product":"retouch","infoStickerId":"","imageEffectId":"","os":"ios","appversion":"7.9.0","filterId":"","activityName":"","playId":""},"source_type":"hypic"}
{"source_type":"hypic","tiktok_developers_3p_anchor_params":"{"capability_extra_v2":{"edit":[{"panel":"hd_quality_picture"}]},"client_key":"awgvo7gzpeas2ho6","filter_id":[],"template_id":"","capability_key":["edit"]}","data":{"filterId":"","infoStickerId":"","pictureId":"C286773B-01A5-443A-8E00-BFFDC694FF93","appversion":"7.9.0","enter_from":"enter_launch","playId":"","activityName":"","os":"ios","product":"retouch","stickerId":"","imageEffectId":""}}
{"source_type":"hypic","tiktok_developers_3p_anchor_params":"{"capability_extra_v2":{"edit":[{"panel":"hd_quality_picture"}]},"client_key":"awgvo7gzpeas2ho6","capability_key":["edit"],"template_id":"","filter_id":[]}","data":{"enter_from":"enter_launch","playId":"","appversion":"7.9.0","product":"retouch","filterId":"","infoStickerId":"","imageEffectId":"","activityName":"","os":"ios","stickerId":"","pictureId":"04917F92-9A03-4765-8104-6165CBF4B918"}}
{"data":{"playId":"","activityName":"","os":"ios","filterId":"","product":"retouch","imageEffectId":"","infoStickerId":"","pictureId":"8B746C91-AAC5-48D6-B569-0A4B0EFB7AC2","stickerId":"","appversion":"7.9.0","enter_from":"enter_launch"},"source_type":"hypic","tiktok_developers_3p_anchor_params":"{"capability_extra_v2":{"edit":[{"panel":"hd_quality_picture"}]},"filter_id":[],"template_id":"","capability_key":["edit"],"client_key":"awgvo7gzpeas2ho6"}"}
{"tiktok_developers_3p_anchor_params":"{"filter_id":[],"capability_extra_v2":{"edit":[{"panel":"hd_quality_picture"}]},"capability_key":["edit"],"client_key":"awgvo7gzpeas2ho6","template_id":""}","data":{"product":"retouch","pictureId":"B8375880-20BD-4B35-8AFF-291434E43072","playId":"","os":"ios","appversion":"7.9.0","infoStickerId":"","activityName":"","stickerId":"","filterId":"","enter_from":"enter_launch","imageEffectId":""},"source_type":"hypic"}
{"source_type":"hypic","tiktok_developers_3p_anchor_params":"{"client_key":"awgvo7gzpeas2ho6","template_id":"","filter_id":[],"capability_key":["edit"],"capability_extra_v2":{"edit":[{"panel":"hd_quality_picture"}]}}","data":{"playId":"","product":"retouch","os":"ios","pictureId":"F822D602-54E7-40E8-9580-8D366AFB016E","activityName":"","enter_from":"enter_launch","stickerId":"","filterId":"","infoStickerId":"","imageEffectId":"","appversion":"7.9.0"}}
{"source_type":"hypic","tiktok_developers_3p_anchor_params":"{"client_key":"awgvo7gzpeas2ho6","template_id":"","filter_id":[],"capability_extra_v2":{"edit":[{"panel":"hd_quality_picture"}]},"capability_key":["edit"]}","data":{"playId":"","product":"retouch","os":"ios","pictureId":"E8885F53-7DE8-407F-81F5-2624892C4386","activityName":"","enter_from":"enter_launch","stickerId":"","filterId":"","infoStickerId":"","imageEffectId":"","appversion":"7.9.0"}}
Share on: