Endo–Restorative Quadrant Rehabilitation with Monolithic Zirconia Crowns: Five-Year Clinical and Radiographic Follow-Up
Dr Hamza Zahid
Biomimetic & Adhesive Dentistry
Dr Hamza Dental Center – Lahore, Pakistan
ABSTRACT
This case report presents the endodontic–restorative rehabilitation of the upper left quadrant (UL3–UL7) using a conservative adhesive approach followed by functional prosthetic coverage with monolithic zirconia crowns. The case involved a combination of primary and re-endodontic treatment, Deep Margin Elevation (DME) to manage subgingival margins and improve restorative access, followed by fibre post reinforcement and SDR core build-up under rubber dam isolation. Final prosthetic rehabilitation was completed with monolithic zirconia restorations cemented using dual-cure resin cement. A 5-year follow-up demonstrates long-term clinical and radiographic success, reinforcing the importance of adhesive coronal seal, restorative sequencing, and quadrant rehabilitation planning in compromised dentition.
INTRODUCTION
Endodontically treated teeth in the posterior region are at increased risk of structural failure due to cumulative loss of tooth structure, parafunctional loading and compromised marginal integrity from old restorations. Successful long-term rehabilitation requires biological disinfection, adhesive reinforcement, and functional protection with a full-coverage restoration.
Quadrant rehabilitation allows for sequenced biomechanical control, restoration of occlusal function and contact stability across multiple units. The use of Deep Margin Elevation (DME) in this quadrant avoided periodontal surgery and facilitated adhesive restorative control of subgingival margins within a minimally invasive discipline. This case demonstrates a clinically sound and strategically staged endo–restorative workflow with 5 years of follow-up success.
CASE PRESENTATION
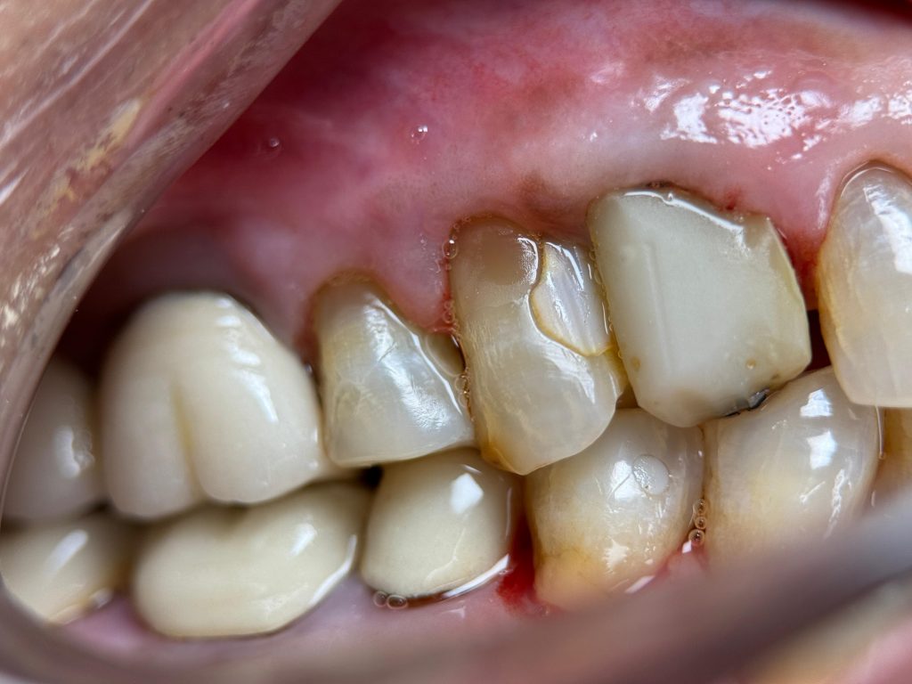
A middle-aged patient presented with the complaint of food impaction and sensitivity in the upper left posterior quadrant. Clinical examination revealed:
- Defective old composite and amalgam restorations
- Leaking margins and plaque retention zones
- Discolouration and structural weakness
- Localised tenderness on biting
- Short clinical crowns
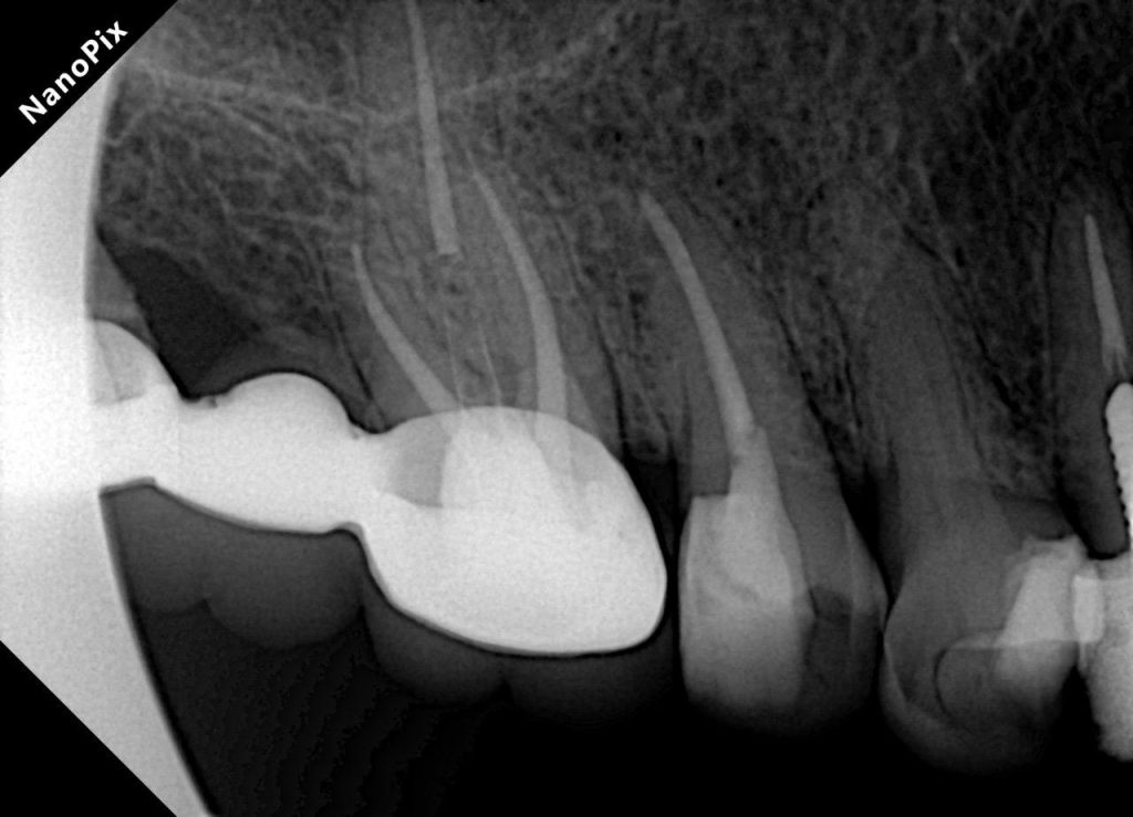
Radiographic Findings
- Previous endodontic treatment visible in UL3 and UL6
- Inadequate obturation and coronal leakage
- Widened PDL space on UL6
- Normal apical architecture on other teeth
- No sinus tract present
DIAGNOSIS
Mixed endodontic condition
- UL3 and UL6 – Previously treated with recurrent symptoms (Re-Root Canal)
- UL4, UL5, UL7 – Indicated for primary endodontic treatment due to deep recurrent caries
Pulpo-periapical status: Previously treated with symptomatic apical periodontitis (UL6)
Restorative status: compromised coronal seal and subgingival margins
TREATMENT OBJECTIVES
- Perform disinfection and obturation with coronal seal per unit
- Elevate distal margins using DME to facilitate adhesive isolation
- Provide post retention where required based on ferrule analysis
- Rebuild lost structure using bulk-fill SDR core material
- Restore full function and occlusion using monolithic zirconia crowns
- Achieve long-term quadrant stability and hygiene maintainability
TREATMENT SEQUENCE
- Quadrant isolation and old restoration removal
- Endodontic retreatment (UL3 & UL6) and primary endodontic therapy (UL4–UL5–UL7)
- Deep Margin Elevation where required
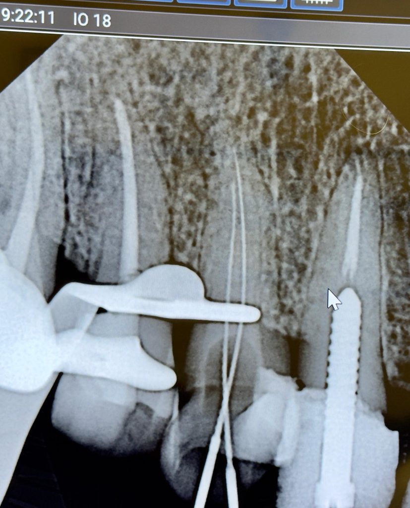
- Post placement
- UL3: Cast Metal Post due to limited ferrule and previous metal post indication
- UL6: Fibre post to preserve biomechanical flexibility in a posterior functional tooth
- Core build-up using Dentsply SDR
- Tooth preparation for zirconia crowns
- Final cementation with dual-cure resin cement
- Five-year postoperative follow-up review
ENDODONTIC TREATMENT PROTOCOL
- Isolation: Achieved using full quadrant rubber dam isolation
- Canal preparation: Rotary NiTi system
- Irrigation: NaOCl + EDTA final rinse
- Obturation: Single-cone technique using resin-based Kerr sealer
- Coronal seal: SDR composite immediately post-obturation
DEEP MARGIN ELEVATION (DME)
Subgingival distal margins were identified in UL6 and UL7. To avoid crown lengthening surgery and preserve periodontal architecture, Deep Margin Elevation (DME) was performed:
- Rubber dam inversion achieved for moisture control
- Sectional matrix band adapted
- Adhesive protocol followed
- SDR bulk flowable composite layered to elevate the margin supragingivally
- This allowed controlled impression, better crown fit, and long-term periodontal compatibility
POST PLACEMENT
A ferrule assessment revealed compromised cervical strength in UL3 and UL6.
Both posts were adhesively luted to optimise retention and biomechanical reinforcement prior to core build-up.
CORE BUILD-UP & PREPARATION
All treated teeth were reinforced with SDR (Dentsply) as the base core material for its low polymerisation stress and strong dentine bonding compatibility. Tooth preparation was then carried out for monolithic zirconia crowns, maintaining conservative reduction to preserve tooth strength.
PROSTHETIC REHABILITATION
Monolithic zirconia crowns were selected due to:
- Superior fracture toughness
- Resistance to high occlusal loads
- Minimal wear to opposing dentition
- Long-term colour stability
Cementation was performed using dual-cure resin cement under isolation. Occlusion was refined to restore canine guidance and posterior stability.
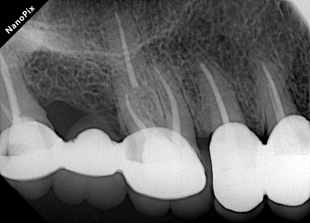
FIVE-YEAR FOLLOW-UP
At 5 years:
- Tooth structure remained intact
- Prosthetic margins were stable
- Periapical radiographic healing was evident
- Patient remained asymptomatic
- Excellent gingival response observed
- No secondary caries or debonding
- Occlusion stable and functional
✅ Long-term quadrant stability achieved
DISCUSSION
This case demonstrates the biological and mechanical advantages of quadrant-based adhesive rehabilitation. Key success factors included:
- Rubber dam isolation to prevent reinfection
- Immediate coronal seal after endodontic work
- DME to avoid surgical margin correction
- Strategic post selection based on stress distribution and ferrule availability
- Zirconia full coverage crowns for long-term protection
- Functional planning to restore occlusal harmony
The integration of adhesive dentistry, endodontic principles and prosthetic function ensured predictable and durable outcomes.
CONCLUSION
Comprehensive quadrant rehabilitation combining modern endodontics, adhesive restorative protocols and functional prosthetic design can achieve reliable long-term outcomes. A 5-year follow-up validates success when treatment planning respects biological principles and restorative sequencing.
CLINICAL SIGNIFICANCE
This case confirms that restorative sequencing and adhesive strategies are more important than materials alone when it comes to long-term survival of endodontically treated teeth.
REFERENCES
- Ng YL, Mann V, Gulabivala K. Outcome of secondary root canal treatment: a systematic review. Int Endod J. 2008.
- Magne P, Belser U. Bonded porcelain restorations in the anterior dentition: a biomimetic approach. Quintessence.
- Dietschi D, Spreafico R. Current clinical concepts for adhesive cementation. Pract Periodont Aesthet Dent.
- Magni E et al. Deep margin elevation – a reliable alternative to surgery. J Adhes Dent. 2012.
AUTHOR
Dr Hamza Zahid
Biomimetic & Adhesive Dentistry
Dr Hamza Dental Center – Lahore, Pakistan
✅ This case was completed using adhesive restorative principles, ferrule conservation and strategic DME for long-term clinical success.
| Tooth |
Post Type |
Rationale |
| UL3 |
Cast metal post |
Long clinical span, high retention requirement, anterior guidance involvement |
| UL6 |
Fibre post |
Better stress distribution, adhesive bonding, preserves root integrity |
Share on: